• Tel: 858.663.9055
  • SeparatorEmail: info@nsjbio.com
  • Tel: 858.663.9055
  • Email: info@nsjbio.com
Home >> Antibodies >> PHLDB3 Antibody / Pleckstrin homology-like domain family B member 3

PHLDB3 Antibody / Pleckstrin homology-like domain family B member 3 (FY12062)

  Catalog No Formulation Size Price (USD)  
Image FY12062 Adding 0.2 ml of distilled water will yield a concentration of 500 ug/ml 100 ug 449
Bulk quote request
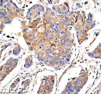
IHC analysis of PHLDB3 using anti-PHLDB3 antibody. PHLDB3 was detected in a paraffin-embedded section of human esophageal cancer tissue. Heat mediated antigen retrieval was performed in EDTA buffer (pH 8.0, epitope retrieval solution). The tissue section was blocked with 10% goat serum. The tissue section was then incubated with 2 ug/ml rabbit anti-PHLDB3 antibody overnight at 4oC. Peroxidase Conjugated Goat Anti-rabbit IgG was used as secondary antibody and incubated for 30 minutes at 37oC. The tissue section was developed using an HRP secondary and DAB substrate.
Western blot analysis of PHLDB3 using anti-PHLDB3 antibody. Electrophoresis was performed on a 10% SDS-PAGE gel at 80V (Stacking gel) / 120V (Resolving gel) for 2 hours. Lane 1: human Caco-2 whole cell lysates, Lane 2: human MCF-7 whole cell lysates, Lane 3: rat lung tissue lysates, Lane 4: rat kidney tissue lysates, Lane 5: mouse lung tissue lysates, Lane 6: mouse kidney tissue lysates. After electrophoresis, proteins were transferred to a nitrocellulose membrane at 150 mA for 50-90 minutes. Blocked the membrane with 5% non-fat milk/TBS for 1.5 hour at RT. The membrane was incubated with rabbit anti-PHLDB3 antibody at 0.5 ug/ml overnight at 4oC, then washed with TBS-0.1%Tween 3 times with 5 minutes each and probed with a goat anti-rabbit IgG-HRP secondary antibody at a dilution of 1:5000 for 1.5 hour at RT. The signal was developed using an ECL Plus Western Blotting Substrate. A specific band was detected for PHLDB3 at approximately 72 kDa. The expected band size for PHLDB3 is at 72 kDa.
Flow Cytometry analysis of MCF-7 cells using anti-PHLDB3 antibody. Overlay histogram showing MCF-7 cells stained with (Blue line). To facilitate intracellular staining, cells were fixed with 4% paraformaldehyde and permeabilized with permeabilization buffer. The cells were blocked with 10% normal goat serum. And then incubated with rabbit anti-PHLDB3 antibody (1 ug/million cells) for 30 min at 20oC. DyLight 488 conjugated goat anti-rabbit IgG (5-10 ug/million cells) was used as secondary antibody for 30 minutes at 20oC. Isotype control antibody (Green line) was rabbit IgG (1 ug/million cells) used under the same conditions. Unlabelled sample without incubation with primary antibody and secondary antibody (Red line) was used as a blank control.
Availability 1-2 days
Species Reactivity Human, Mouse, Rat
Format Lyophilized
Host Rabbit
Clonality Polyclonal (rabbit origin)
Isotype Rabbit IgG
Purity Immunogen affinity purified
Buffer Each vial contains 4 mg Trehalose, 0.9 mg NaCl, 0.2 mg Na2HPO4.
UniProt Q6NSJ2
Applications Western Blot : 0.25-0.5ug/ml
Immunohistochemistry : 2-5ug/ml
Flow Cytometry : 1-3ug/million cells
ELISA : 0.1-0.5ug/ml
Limitations This PHLDB3 antibody is available for research use only.
Review this product on BioCompare and get a $20 Amazon gift card

Description

PHLDB3 antibody detects Pleckstrin homology-like domain family B member 3, encoded by the PHLDB3 gene. Pleckstrin homology-like domain family B member 3 is a cytoplasmic protein involved in signaling regulation, p53 modulation, and cancer biology. PHLDB3 antibody provides researchers with a specific reagent for studying cell survival, apoptosis, and tumorigenesis.

Pleckstrin homology-like domain family B member 3 contains a pleckstrin homology-like domain that mediates interactions with membranes and signaling proteins. Research using PHLDB3 antibody has shown that it regulates p53 stability and transcriptional activity. By promoting degradation of p53, PHLDB3 influences cell cycle control and survival, positioning it as an important factor in tumor progression.

Studies with PHLDB3 antibody have revealed that its expression is upregulated in certain cancers, including colon and breast cancers. Elevated expression correlates with reduced p53 function and enhanced proliferation, linking PHLDB3 to oncogenic pathways. Conversely, depletion of PHLDB3 enhances apoptosis and impairs tumor growth, suggesting its therapeutic potential.

In addition to cancer, PHLDB3 may participate in normal cellular signaling. Research using PHLDB3 antibody has suggested roles in insulin signaling and metabolic regulation, although these functions remain under investigation. Its pleckstrin homology-like domain suggests a role in membrane recruitment and signaling scaffolding.

PHLDB3 antibody is widely applied in western blotting, immunohistochemistry, and immunofluorescence. Western blotting quantifies expression in tumors and cell lines, immunohistochemistry demonstrates localization in tissue sections, and immunofluorescence highlights cytoplasmic distribution. These approaches make PHLDB3 antibody valuable in signaling and cancer research.

By providing validated PHLDB3 antibody reagents, NSJ Bioreagents supports studies into apoptosis, p53 regulation, and tumor biology. Detection of Pleckstrin homology-like domain family B member 3 provides researchers with insight into how signaling proteins modulate survival pathways and cancer progression.

Application Notes

Optimal dilution of the PHLDB3 antibody should be determined by the researcher.

Immunogen

E.coli-derived human PHLDB3 recombinant protein (Position: L15-K541) was used as the immunogen for the PHLDB3 antibody.

Storage

After reconstitution, the PHLDB3 antibody can be stored for up to one month at 4oC. For long-term, aliquot and store at -20oC. Avoid repeated freezing and thawing.

Cross
Bulk Quote Request Form
Name*:
Organization*:
Email*:
Phone Number*:
Catalog No.*:
Comments and Specifics(amount, formulation, etc.)*:
Validation code: Captchapackage Image


Can't read the image? click here to refresh.
    *required field

Your bulk quote request has been submitted successfully!

Please contact us if you have any questions.