• Tel: 858.663.9055
  • SeparatorEmail: info@nsjbio.com
  • Tel: 858.663.9055
  • Email: info@nsjbio.com
Home >> Antibodies >> PHGDH Antibody / D-3-phosphoglycerate dehydrogenase

PHGDH Antibody / D-3-phosphoglycerate dehydrogenase (FY12088)

  Catalog No Formulation Size Price (USD)  
Image FY12088 Adding 0.2 ml of distilled water will yield a concentration of 500 ug/ml 100 ug 449
Bulk quote request
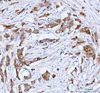
IHC analysis of PHGDH using anti-PHGDH antibody. PHGDH was detected in a paraffin-embedded section of human breast cancer tissue. Heat mediated antigen retrieval was performed in EDTA buffer (pH 8.0, epitope retrieval solution). The tissue section was blocked with 10% goat serum. The tissue section was then incubated with 2 ug/ml rabbit anti-PHGDH antibody overnight at 4oC. Peroxidase Conjugated Goat Anti-rabbit IgG was used as secondary antibody and incubated for 30 minutes at 37oC. The tissue section was developed using an HRP secondary and DAB substrate.
Western blot analysis of PHGDH using anti-PHGDH antibody. Lane 1: human U251 whole cell lysates, Lane 2: human Jurkat whole cell lysates, Lane 3: human HEL whole cell lysates, Lane 4: human K562 whole cell lysates, Lane 5: rat liver tissue lysates, Lane 6: rat kidney tissue lysates, Lane 7: mouse liver tissue lysates, Lane 8: mouse kidney tissue lysates. After electrophoresis, proteins were transferred to a nitrocellulose membrane at 150 mA for 50-90 minutes. Blocked the membrane with 5% non-fat milk/TBS for 1.5 hour at RT. The membrane was incubated with rabbit anti-PHGDH antibody at 0.5 ug/ml overnight at 4oC, then washed with TBS-0.1%Tween 3 times with 5 minutes each and probed with a goat anti-rabbit IgG-HRP secondary antibody at a dilution of 1:5000 for 1.5 hour at RT. The signal was developed using enhanced chemiluminescent. A specific band was detected for PHGDH at approximately 57 kDa. The expected band size for PHGDH is at 57 kDa.
IF analysis of PHGDH using anti-PHGDH antibody (green). PHGDH was detected in an immunocytochemical section of U2OS cells. Enzyme antigen retrieval was performed using IHC enzyme antigen retrieval reagent for 15 mins. The cells were blocked with 10% goat serum. And then incubated with 5 ug/ml rabbit anti-PHGDH antibody overnight at 4oC. DyLight 488 Conjugated Goat Anti-Rabbit IgG was used as secondary antibody at 1:500 dilution and incubated for 30 minutes at 37oC. The section was counterstained with DAPI (blue). Visualize using a fluorescence microscope and filter sets appropriate for the label used.
Flow Cytometry analysis of PC-3 cells using anti-PHGDH antibody. Overlay histogram showing PC-3 cells stained with (Blue line). To facilitate intracellular staining, cells were fixed with 4% paraformaldehyde and permeabilized with permeabilization buffer. The cells were blocked with 10% normal goat serum. And then incubated with rabbit anti-PHGDH antibody (1 ug/million cells) for 30 min at 20oC. DyLight 488 conjugated goat anti-rabbit IgG (5-10 ug/million cells) was used as secondary antibody for 30 minutes at 20oC. Isotype control antibody (Green line) was rabbit IgG (1 ug/million cells) used under the same conditions. Unlabelled sample without incubation with primary antibody and secondary antibody (Red line) was used as a blank control.
Immunoprecipitating PHGDH in Jurkat whole cell lysate. Western blot analysis of PHGDH using anti-PHGDH antibody. Lane 1: Jurkat whole cell lysates (30ug); Lane 2: Rabbit control IgG instead of anti-PHGDH antibody in Jurkat whole cell lysate; Lane 3: anti-PHGDH antibody (2ug) + Jurkat whole cell lysate (500ug). After electrophoresis, proteins were transferred to a membrane. Then the membrane was incubated with rabbit anti-PHGDH antibody at a dilution of 0.5 ug/ml and probed with a goat anti-rabbit IgG-HRP secondary antibody. The signal is developed using ECL Plus Western Blotting Substrate. A specific band was detected for PHGDH at approximately 57 kDa. The expected band size for PHGDH is at 57 kDa.
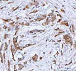
IHC analysis of PHGDH using anti-PHGDH antibody. PHGDH was detected in a paraffin-embedded section of mouse brain tissue. Heat mediated antigen retrieval was performed in EDTA buffer (pH 8.0, epitope retrieval solution). The tissue section was blocked with 10% goat serum. The tissue section was then incubated with 2 ug/ml rabbit anti-PHGDH antibody overnight at 4oC. Peroxidase Conjugated Goat Anti-rabbit IgG was used as secondary antibody and incubated for 30 minutes at 37oC. The tissue section was developed using an HRP secondary and DAB substrate.
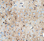
IHC analysis of PHGDH using anti-PHGDH antibody. PHGDH was detected in a paraffin-embedded section of rat brain tissue. Heat mediated antigen retrieval was performed in EDTA buffer (pH 8.0, epitope retrieval solution). The tissue section was blocked with 10% goat serum. The tissue section was then incubated with 2 ug/ml rabbit anti-PHGDH antibody overnight at 4oC. Peroxidase Conjugated Goat Anti-rabbit IgG was used as secondary antibody and incubated for 30 minutes at 37oC. The tissue section was developed using an HRP secondary and DAB substrate.
Availability 1-2 days
Species Reactivity Human, Mouse, Rat
Format Lyophilized
Host Rabbit
Clonality Polyclonal (rabbit origin)
Isotype Rabbit IgG
Purity Immunogen affinity purified
Buffer Each vial contains 4 mg Trehalose, 0.9 mg NaCl, 0.2 mg Na2HPO4.
UniProt O43175
Applications ELISA : 0.1-0.5ug/ml
Flow Cytometry : 1-3ug/million cells
Immunoprecipitation : 2-4ug/500ug of lysate
Immunofluorescence : 5ug/ml
Immunohistochemistry : 2-5ug/ml
Immunocytochemistry : 5ug/ml
Western Blot : 0.25-0.5ug/ml
Limitations This PHGDH antibody is available for research use only.
Review this product on BioCompare and get a $20 Amazon gift card

Related Products

Description

PHGDH antibody detects D-3-phosphoglycerate dehydrogenase, encoded by the PHGDH gene. D-3-phosphoglycerate dehydrogenase is a key enzyme in the serine biosynthesis pathway, catalyzing the conversion of 3-phosphoglycerate to 3-phosphohydroxypyruvate. PHGDH antibody provides researchers with a critical reagent for studying amino acid metabolism, cancer metabolism, and neurological disease.

D-3-phosphoglycerate dehydrogenase is the first and rate-limiting enzyme of the phosphorylated pathway of serine biosynthesis. Research using PHGDH antibody has shown that it links glycolysis to serine and glycine production, supporting nucleotide, lipid, and redox metabolism. This central role in metabolic reprogramming makes PHGDH particularly important in rapidly dividing cells and cancer biology.

Studies with PHGDH antibody have revealed that amplification and overexpression occur in multiple cancers, including melanoma, breast cancer, and glioma. Increased PHGDH expression enhances serine synthesis, fueling biosynthetic pathways that support tumor growth. Targeting PHGDH has therefore emerged as a potential therapeutic approach in oncology.

Beyond cancer, research using PHGDH antibody has highlighted roles in neurodevelopment and inherited metabolic disorders. Mutations in PHGDH cause serine deficiency disorders, leading to microcephaly, psychomotor retardation, and seizures. These findings demonstrate the dual clinical relevance of PHGDH in both metabolic disease and cancer.

Dysregulation of D-3-phosphoglycerate dehydrogenase has also been linked to immune function, as serine metabolism influences lymphocyte proliferation and differentiation. Research using PHGDH antibody continues to uncover links between metabolism, immune responses, and disease progression.

PHGDH antibody is widely used in western blotting, immunohistochemistry, and enzymatic activity assays. Western blotting quantifies enzyme expression in tumors and metabolic tissues, immunohistochemistry highlights localization in brain and cancer sections, and activity assays confirm catalytic function. These applications make PHGDH antibody indispensable for metabolic and cancer research.

By supplying validated PHGDH antibody reagents, NSJ Bioreagents supports studies into serine metabolism, cancer biology, and neurological disease. Detection of D-3-phosphoglycerate dehydrogenase provides researchers with insight into how amino acid metabolism supports physiology and pathology.

Application Notes

Optimal dilution of the PHGDH antibody should be determined by the researcher.

Immunogen

E.coli-derived human PHGDH recombinant protein (Position: L15-F533) was used as the immunogen for the PHGDH antibody.

Storage

After reconstitution, the PHGDH antibody can be stored for up to one month at 4oC. For long-term, aliquot and store at -20oC. Avoid repeated freezing and thawing.

Cross
Bulk Quote Request Form
Name*:
Organization*:
Email*:
Phone Number*:
Catalog No.*:
Comments and Specifics(amount, formulation, etc.)*:
Validation code: Captchapackage Image


Can't read the image? click here to refresh.
    *required field

Your bulk quote request has been submitted successfully!

Please contact us if you have any questions.