• Tel: 858.663.9055
  • SeparatorEmail: info@nsjbio.com
  • Tel: 858.663.9055
  • Email: info@nsjbio.com
Home >> Antibodies >> PHB Antibody / Prohibitin

PHB Antibody / Prohibitin (RQ6392)

  Catalog No Formulation Size Price (USD)  
Image RQ6392 0.5mg/ml if reconstituted with 0.2ml sterile DI water 100 ug 449
Bulk quote request
Immunofluorescent staining of FFPE human A549 cells with PHB antibody (green) and DAPI nuclear stain (blue). HIER: steam section in pH6 citrate buffer for 20 min.
IHC staining of FFPE human colon cancer with PHB antibody. HIER: boil tissue sections in pH8 EDTA for 20 min and allow to cool before testing.
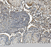
IHC staining of FFPE human lung cancer with PHB antibody. HIER: boil tissue sections in pH8 EDTA for 20 min and allow to cool before testing.
Western blot testing of 1) human Caco-2, 2) human 293T, 3) human HepG2, 4) human A549, 5) rat heart, 6) rat liver, 7) mouse heart and 8) mouse liver tissue lysate with PHB antibody. Predicted molecular weight ~29 kDa.
Availability 1-3 business days
Species Reactivity Human, Mouse, Rat
Format Purified
Host Rabbit
Clonality Polyclonal (rabbit origin)
Isotype Rabbit IgG
Purity Antigen affinity purified
Buffer Lyophilized from 1X PBS with 2% Trehalose
UniProt P35232
Localization Cytoplasmic
Applications Western Blot : 0.5-1ug/ml
Immunohistochemistry (FFPE) : 2-5ug/ml
Immunofluorescence : 5ug/ml
Direct ELISA : 0.1-0.5ug/ml
Limitations This PHB antibody is available for research use only.
Review this product on BioCompare and get a $20 Amazon gift card

Related Products

Description

PHB (Prohibitin), also known as PHB1, is a protein that in humans is encoded by the PHB gene. White et al.(1991) mapped the PHB gene to chromosome 17 by analysis of human-mouse somatic cell hybrid cell lines using a genomic fragment of human prohibitin DNA isolated from a library using the rat prohibitin cDNA clone. By in situ hybridization, they localized the gene to 17q21. Sato et al.(1992) isolated the human homolog of the rat prohibitin gene and mapped it to 17q12-q21 by in situ hybridization. Proliferation of tumor cells depends on new blood vessel formation(angiogenesis) that accompanies malignant progression. Anticancer therapies using angiogenesis inhibitors or cytotoxic agents targeted to the vasculature of tumors have been evaluated in clinical trials. Although white fat is a nonmalignant tissue, it has the capability to quickly proliferate and expand. Furthermore, it is highly vascularized. Rupnick et al.(2002) showed that nonspecific angiogenesis inhibitors can prevent the development of obesity of mice.

Application Notes

Optimal dilution of the PHB antibody should be determined by the researcher.

Immunogen

Recombinant human protein (amino acids M1-I257) was used as the immunogen for the PHB antibody.

Storage

After reconstitution, the PHB antibody can be stored for up to one month at 4oC. For long-term, aliquot and store at -20oC. Avoid repeated freezing and thawing.

Cross
Bulk Quote Request Form
Name*:
Organization*:
Email*:
Phone Number*:
Catalog No.*:
Comments and Specifics(amount, formulation, etc.)*:
Validation code: Captchapackage Image


Can't read the image? click here to refresh.
    *required field

Your bulk quote request has been submitted successfully!

Please contact us if you have any questions.