• Tel: 858.663.9055
  • SeparatorEmail: info@nsjbio.com
  • Tel: 858.663.9055
  • Email: info@nsjbio.com
Home >> Antibodies >> PGRP-S Antibody

PGRP-S Antibody (R35013)

  Catalog No Formulation Size Price (USD)  
Image R35013-100UG 0.5 mg/ml in 1X TBS, pH7.3, with 0.5% BSA (US sourced) and 0.02% sodium azide 100 ug 475
Bulk quote request
Western blot testing of Jurkat lysate with PGRP-S antibody at 0.3ug/ml. Predicted molecular weight: ~22/28kDa (unmodified/glycosylated).
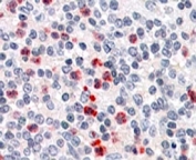
IHC staining of FFPE human spleen with PGRP-S antibody at 4ug/ml. HIER: steamed with pH6 citrate buffer, AP-staining.
Availability 1-3 business days
Species Reactivity Human
Predicted Reactivity Dog
Format Antigen affinity purified
Host Goat
Clonality Polyclonal (goat origin)
Isotype Goat Ig
Purity Antigen affinity
Gene ID 8993
Applications Immunohistochemistry (FFPE) : 3-6ug/ml
ELISA (peptide) LOD : 1:4000
Limitations This PGRP-S antibody is available for research use only.
Review this product on BioCompare and get a $20 Amazon gift card

Description

Additional name(s) for this target protein: Peptidoglycan recognition protein 1; PGLYRP1

Application Notes

Optimal dilution of the PGRP-S antibody should be determined by the researcher.

Immunogen

Amino acids PGNQLYHLIQN were used as the immunogen for this PGRP-S antibody.

Storage

Aliquot and store the PGRP-S antibody at -20oC.

Cross
Bulk Quote Request Form
Name*:
Organization*:
Email*:
Phone Number*:
Catalog No.*:
Comments and Specifics(amount, formulation, etc.)*:
Validation code: Captchapackage Image


Can't read the image? click here to refresh.
    *required field

Your bulk quote request has been submitted successfully!

Please contact us if you have any questions.