• Tel: 858.663.9055
  • SeparatorEmail: info@nsjbio.com
  • Tel: 858.663.9055
  • Email: info@nsjbio.com
Home >> Antibodies >> PGP9.5 Antibody / 25 kDa Protein Western Blot Antibody

PGP9.5 Antibody / 25 kDa Protein Western Blot Antibody [clone UCHL1/8107R] (V5034)

  Catalog No Formulation Size Price (USD)  
Image V5034-100UG 0.2 mg/ml in 1X PBS with 0.1 mg/ml BSA (US sourced), 0.05% sodium azide 100 ug 559
Image
V5034-20UG 0.2 mg/ml in 1X PBS with 0.1 mg/ml BSA (US sourced), 0.05% sodium azide 20 ug 259
Image
V5034SAF-100UG 1 mg/ml in 1X PBS; BSA free, sodium azide free 100 ug 559
Microvalidated Recrabbitmono
Bulk quote request
PGP9.5 Antibody for WB. Western blot analysis in human brain lysate. Human brain tissue lysate stained with PGP9.5 Antibody for WB, also known as 25 kDa Protein Western Blot Antibody and Ubiquitin C-terminal hydrolase L1 antibody, shows a sharp, well-defined band at approximately 25 kDa, consistent with the predicted molecular weight of PGP9.5 / UCHL1. The clean, single-band resolution highlights its suitability for low molecular weight protein detection and precise size-based analysis in western blot workflows.
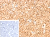
IHC staining of FFPE human cerebellum tissue with PGP9.5 antibody (clone UCHL1/8107R). Inset: PBS used in place of primary Ab (secondary Ab negative control). HIER: boil tissue sections in pH 9 10mM Tris with 1mM EDTA for 20 min and allow to cool before testing.
Availability 1-3 business days
Species Reactivity Human
Format Purified
Host Rabbit
Clonality Recombinant Rabbit Monoclonal
Isotype Rabbit IgG, kappa
Clone Name UCHL1/8107R
Purity Protein A/G affinity
UniProt P09936
Localization Cytoplasm, ER membrane
Applications Immunohistochemistry (FFPE) : 1-2ug/ml for 30 min at RT
Western Blot : 2-4ug/ml
Limitations This PGP9.5 antibody is available for research use only.
Review this product on BioCompare and get a $20 Amazon gift card

Related Products

Description

Protein gene product 9.5 (PGP9.5), also known as Ubiquitin C-terminal hydrolase L1 (UCHL1), is a small cytoplasmic deubiquitinating enzyme that migrates as a ~25 kDa protein in SDS-PAGE. The PGP9.5 Antibody - 25 kDa Protein Western Blot Antibody is specifically optimized for western blot applications requiring precise detection of low molecular weight proteins, enabling clear identification of UCHL1 as a distinct and well-resolved band.

PGP9.5 Antibody - 25 kDa Protein Western Blot Antibody, also referred to as UCHL1 antibody or ubiquitin C-terminal hydrolase L1 antibody, is particularly valuable for WB workflows that demand sharp band resolution and minimal background. In western blot analysis, this antibody consistently produces a single, clean band at approximately 25 kDa, making it ideal for size-specific protein detection, gel optimization, and confirmation of molecular weight accuracy.

This recombinant rabbit monoclonal PGP9.5 Antibody (clone UCHL1/8107R) is engineered for high-performance western blot detection of small proteins. Recombinant monoclonal design ensures defined epitope recognition and low non-specific binding, which is critical for resolving low molecular weight targets that can otherwise be obscured by background or non-specific bands. The antibody enables reproducible detection across sample types while maintaining excellent band clarity and signal definition.

UCHL1 exhibits a consistent electrophoretic migration pattern due to its relatively small size and limited post-translational modification, typically appearing as a single band near 25 kDa. This predictable behavior makes it a useful reference protein for optimizing gel conditions, validating transfer efficiency, and benchmarking detection sensitivity for low molecular weight targets in western blot experiments.

A recombinant rabbit monoclonal PGP9.5 Antibody - 25 kDa Protein Western Blot Antibody is ideally suited for western blot applications focused on low molecular weight protein analysis, sharp band visualization, and precise molecular weight determination. Its ability to generate a clean, well-defined ~25 kDa band makes it an effective tool for assay optimization, protein characterization, and high-confidence WB workflows.

Application Notes

Optimal dilution of the PGP9.5 Antibody / 25 kDa Protein Western Blot Antibody should be determined by the researcher.

Immunogen

Recombinant full-length human protein was used as the immunogen for the PGP9.5 Antibody / 25 kDa Protein Western Blot Antibody.

Storage

Aliquot the PGP9.5 antibody and store frozen at -20oC or colder. Avoid repeated freeze-thaw cycles.

Alternate Names

UCHL1 antibody, PGP9.5 protein antibody, Ubiquitin C-terminal hydrolase L1 antibody, Neuronal ubiquitin hydrolase antibody

Cross
Bulk Quote Request Form
Name*:
Organization*:
Email*:
Phone Number*:
Catalog No.*:
Comments and Specifics(amount, formulation, etc.)*:
Validation code: Captchapackage Image


Can't read the image? click here to refresh.
    *required field

Your bulk quote request has been submitted successfully!

Please contact us if you have any questions.