• Tel: 858.663.9055
  • SeparatorEmail: info@nsjbio.com
  • Tel: 858.663.9055
  • Email: info@nsjbio.com
Home >> Antibodies >> PGP Antibody / Glycerol-3-phosphate phosphatase

PGP Antibody / Glycerol-3-phosphate phosphatase (RQ8108)

  Catalog No Formulation Size Price (USD)  
Image RQ8108 0.5mg/ml if reconstituted with 0.2ml sterile DI water 100 ug 449
Bulk quote request
Immunofluorescent staining of FFPE human liver cancer with PGP antibody (red) and DAPI nuclear stain (blue). HIER: steam section in pH8 EDTA buffer for 20 min.
Immunofluorescent staining of FFPE human intestinal cancer with PGP antibody (red) and DAPI nuclear stain (blue). HIER: steam section in pH8 EDTA buffer for 20 min.
Immunofluorescent staining of FFPE human PC-3 cells with PGP antibody (red) and DAPI nuclear stain (blue). HIER: steam section in pH6 citrate buffer for 20 min.
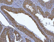
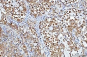
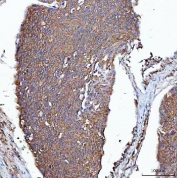
IHC staining of FFPE human esophageal squamous carcinoma tissue with PGP antibody. HIER: boil tissue sections in pH8 EDTA for 20 min and allow to cool before testing.
IHC staining of FFPE human endometrial adenocarcinoma tissue with PGP antibody. HIER: boil tissue sections in pH8 EDTA for 20 min and allow to cool before testing.
IHC staining of FFPE human tonsil tissue with PGP antibody. HIER: boil tissue sections in pH8 EDTA for 20 min and allow to cool before testing.
IHC staining of FFPE human lung cancer tissue with PGP antibody. HIER: boil tissue sections in pH8 EDTA for 20 min and allow to cool before testing.
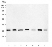
Western blot testing of 1) human HeLa, 2) human MCF7, 3) human 293T, 4) rat brain, 5) rat lung, 6) mouse brain and 7) mouse lung tissue lysate with PGP antibody. Predicted molecular weight ~34 kDa.
Flow cytometry testing of fixed and permeabilized human PC-3 cells with PGP antibody at 1ug/million cells (blocked with goat sera); Red=cells alone, Green=isotype control, Blue= PGP antibody.
Availability 1-3 business days
Species Reactivity Human, Mouse, Rat
Format Antigen affinity purified
Host Rabbit
Clonality Polyclonal (rabbit origin)
Isotype Rabbit IgG
Purity Antigen affinity purified
Buffer Lyophilized from 1X PBS with 2% Trehalose
UniProt A6NDG6
Localization Cytoplasm
Applications Western Blot : 0.5-1ug/ml
Immunohistochemistry (FFPE) : 2-5ug/ml
Immunofluorescence : 5ug/ml
Flow Cytometry : 1-3ug/million cells
Direct ELISA : 0.1-0.5ug/ml
Limitations This PGP antibody is available for research use only.
Review this product on BioCompare and get a $20 Amazon gift card

Related Products

Description

PGP (Phosphoglycolate phosphatase), also called Glycerol-3-phosphate phosphatase and Aspartate-based ubiquitous Mg(2+)-dependent phosphatase (AUM), belongs to the HAD-like hydrolase superfamily. It is an essential intermediate in the biosynthetic pathway of cardiolipin and a mitochondrial-specific phospholipid regulating the membrane integrity and activities of the organelle. PGP catalyzes the formation of phosphatidylglycerol from phosphatidylglycerophosphate.

Application Notes

Optimal dilution of the PGP antibody should be determined by the researcher.

Immunogen

E. coli-derived recombinant human protein (amino acids M1-G321) was used as the immunogen for the PGP antibody.

Storage

After reconstitution, the PGP antibody can be stored for up to one month at 4oC. For long-term, aliquot and store at -20oC. Avoid repeated freezing and thawing.

Cross
Bulk Quote Request Form
Name*:
Organization*:
Email*:
Phone Number*:
Catalog No.*:
Comments and Specifics(amount, formulation, etc.)*:
Validation code: Captchapackage Image


Can't read the image? click here to refresh.
    *required field

Your bulk quote request has been submitted successfully!

Please contact us if you have any questions.