• Tel: 858.663.9055
  • SeparatorEmail: info@nsjbio.com
  • Tel: 858.663.9055
  • Email: info@nsjbio.com
Home >> Antibodies >> PGK1 Antibody / Phosphoglycerate kinase 1

PGK1 Antibody / Phosphoglycerate kinase 1 (F40146)

  Catalog No Formulation Size Price (USD)  
Image F40146-0.4ML In 1X PBS, pH 7.4, with 0.09% sodium azide 0.4 ml 439
Image
F40146-0.08ML In 1X PBS, pH 7.4, with 0.09% sodium azide 0.08 ml 205
Bulk quote request
Western blot analysis of lysate from A431, HeLa, U-937, BA/F3 cell lines using PGK1 diluted at 1:1000 for each lane. Expected/observed molecular weight ~44kDa.
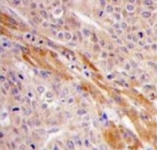
IHC analysis of FFPE human hepatocarcinoma tissue stained with PGK1 antibody
Availability 1-3 business days
Species Reactivity Human
Predicted Reactivity Primate
Format Purified
Host Rabbit
Clonality Polyclonal (rabbit origin)
Isotype Rabbit Ig
Purity Purified
UniProt P00558
Localization Nuclear, cytoplasmic
Applications Western Blot : 1:1000
IHC (Paraffin) : 1:10-1:50
Limitations This PGK1 antibody is available for research use only.
Review this product on BioCompare and get a $20 Amazon gift card

Related Products

Description

Also known as ATP:3-phosphoglycerate 1-phosphotransferase, this major enzyme in glycolysis catalyzes the reversible conversion of 1,3-diphosphoglycerate to 3-phosphoglycerate, generating one molecule of ATP. Phosphoglycerate kinase not only functions in glycolysis but is secreted by tumor cells and is proposed to participate in the angiogenic process as a disulfide reductase. Mutations in PGK1 may be associated with hemolytic anemia.

Application Notes

Titration of the PGK1 antibody may be required due to differences in protocols and secondary/substrate sensitivity.

Immunogen

A portion of amino acids 305-334 from the human protein was used as the immunogen for this PGK1 antibody.

Storage

Aliquot the PGK1 antibody and store frozen at -20oC or colder. Avoid repeated freeze-thaw cycles.

Cross
Bulk Quote Request Form
Name*:
Organization*:
Email*:
Phone Number*:
Catalog No.*:
Comments and Specifics(amount, formulation, etc.)*:
Validation code: Captchapackage Image


Can't read the image? click here to refresh.
    *required field

Your bulk quote request has been submitted successfully!

Please contact us if you have any questions.