• Tel: 858.663.9055
  • SeparatorEmail: info@nsjbio.com
  • Tel: 858.663.9055
  • Email: info@nsjbio.com
Home >> Antibodies >> PGAM2 Antibody / Phosphoglycerate mutase 2

PGAM2 Antibody / Phosphoglycerate mutase 2 (FY13457)

  Catalog No Formulation Size Price (USD)  
Image FY13457 Adding 0.2 ml of distilled water will yield a concentration of 500 ug/ml 100 ug 449
Bulk quote request
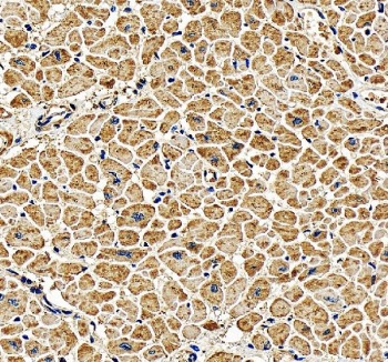
Immunohistochemistry analysis of PGAM2 using PGAM2 antibody. PGAM2 expression was examined in a paraffin-embedded section of human heart tissue, with immunoreactivity predominantly observed in cardiomyocytes, consistent with the high metabolic demand of cardiac muscle. Heat-mediated antigen retrieval was performed using EDTA buffer (pH 8.0). Tissue sections were blocked with normal goat serum and incubated with PGAM2 antibody overnight at 4°C. Immunoreactivity was visualized using an HRP-based detection system with DAB chromogen, followed by hematoxylin counterstaining.
Immunofluorescence analysis of PGAM2 using PGAM2 antibody. PGAM2 expression was examined in human HeLa cells, with signal primarily observed in the cytoplasm, consistent with the cytosolic localization of this glycolytic enzyme. Cells were blocked with normal goat serum and incubated with PGAM2 antibody (green) overnight at 4°C. Immunoreactivity was visualized using fluorescence detection, and nuclei were counterstained with DAPI (blue).
Western blot analysis of PGAM2 using PGAM2 antibody. PGAM2 expression was examined in rat heart tissue lysates and mouse heart and testis tissue lysates. Lane 1 shows rat heart tissue lysate, Lane 2 shows mouse heart tissue lysate, and Lane 3 shows mouse testis tissue lysate. PGAM2 was detected as a single band migrating at approximately 29 kDa, consistent with the predicted molecular weight of approximately 29 kDa for Phosphoglycerate mutase 2. Detection was performed using an HRP-based secondary antibody and chemiluminescent substrate.
Flow cytometry analysis of PGAM2 using PGAM2 antibody. PGAM2 expression was examined in human HeLa cells following fixation with 4% paraformaldehyde and permeabilization to enable intracellular staining. Cells were incubated with PGAM2 antibody and detected using a fluorescent secondary antibody (blue). An isotype control stained under identical conditions is shown in green, and an unstained control is shown in red. The rightward fluorescence shift observed with PGAM2 antibody staining indicates specific intracellular detection of PGAM2.
Availability 1-2 days
Species Reactivity Human, Mouse, Rat
Format Lyophilized
Host Rabbit
Clonality Polyclonal (rabbit origin)
Isotype Rabbit IgG
Purity Immunogen affinity purified
Buffer Each vial contains 4 mg Trehalose, 0.9 mg NaCl and 0.2 mg Na2HPO4.
UniProt P15259
Localization Cytoplasmic, Nuclear
Applications Western Blot : 0.25-0.5ug/ml
Immunohistochemistry : 2-5ug/ml
Immunofluorescence : 5ug/ml
Flow Cytometry : 1-3ug/million cells
Limitations This PGAM2 antibody is available for research use only.
Review this product on BioCompare and get a $20 Amazon gift card

Description

PGAM2 antibody targets Phosphoglycerate mutase 2, encoded by the PGAM2 gene. Phosphoglycerate mutase 2 is a cytoplasmic enzyme that catalyzes the reversible interconversion of 3-phosphoglycerate and 2-phosphoglycerate during glycolysis. As a muscle-enriched isoform of phosphoglycerate mutase, PGAM2 plays a critical role in regulating glycolytic flux in tissues with high energetic demand.

Functionally, Phosphoglycerate mutase 2 contributes to efficient ATP production by facilitating a key step in the central glycolytic pathway. Its activity supports rapid energy generation required for muscle contraction and other energy-intensive cellular processes. A PGAM2 antibody supports studies focused on carbohydrate metabolism, glycolytic regulation, and metabolic adaptation in differentiated tissues.

PGAM2 is predominantly localized to the cytoplasm, consistent with its role in glycolysis. Although highly enriched in skeletal and cardiac muscle, PGAM2 expression can also be detected in other cell types under conditions that demand increased glycolytic activity. This distribution reflects a balance between tissue specialization and broader metabolic responsiveness.

From a disease-related perspective, altered PGAM2 expression or activity has been investigated in muscle disorders, metabolic disease, and cancer. Changes in glycolytic enzyme expression can influence cellular energy balance, proliferation, and stress tolerance. As such, Phosphoglycerate mutase 2 is frequently studied in contexts linking metabolism to disease-associated phenotypes.

At the molecular level, Phosphoglycerate mutase 2 functions as a dimeric enzyme and contains conserved catalytic residues required for phosphotransfer activity. Its apparent behavior in biochemical assays may vary depending on metabolic state and post-translational regulation without altering its primary structure. PGAM2 antibody reagents enable investigation of glycolytic enzyme regulation and cellular metabolism, with NSJ Bioreagents providing reagents intended for research use.

Application Notes

Optimal dilution of the PGAM2 antibody should be determined by the researcher.

Immunogen

A synthetic peptide corresponding to a sequence at the N-terminus of human Phosphoglycerate mutase 2 was used as the immunogen for the PGAM2 antibody.

Storage

After reconstitution, the PGAM2 antibody can be stored for up to one month at 4oC. For long-term, aliquot and store at -20oC. Avoid repeated freezing and thawing.

Cross
Bulk Quote Request Form
Name*:
Organization*:
Email*:
Phone Number*:
Catalog No.*:
Comments and Specifics(amount, formulation, etc.)*:
Validation code: Captchapackage Image


Can't read the image? click here to refresh.
    *required field

Your bulk quote request has been submitted successfully!

Please contact us if you have any questions.