• Tel: 858.663.9055
  • SeparatorEmail: info@nsjbio.com
  • Tel: 858.663.9055
  • Email: info@nsjbio.com
Home >> Antibodies >> PGA4 Antibody

PGA4 Antibody (F40025)

  Catalog No Formulation Size Price (USD)  
Image F40025-0.4ML In 1X PBS, pH 7.4, with 0.09% sodium azide 0.4 ml 439
Image
F40025-0.08ML In 1X PBS, pH 7.4, with 0.09% sodium azide 0.08 ml 205
Bulk quote request
PGA4 antibody western blot analysis in WiDr lysate.
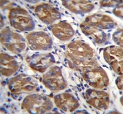
PGA4 antibody immunohistochemistry analysis in formalin fixed and paraffin embedded human stomach tissue.
Availability 1-3 business days
Species Reactivity Human
Predicted Reactivity Rabbit
Format Antigen affinity purified
Host Rabbit
Clonality Polyclonal (rabbit origin)
Isotype Rabbit Ig
Purity Antigen affinity
UniProt P0DJD7
Applications Western Blot : 1:1000
IHC (Paraffin) : 1:10-1:50
Limitations This PGA4 antibody is available for research use only.
Review this product on BioCompare and get a $20 Amazon gift card

Description

PGA4 shows particularly broad specificity; although bonds involving phenylalanine and leucine are preferred, many others are also cleaved to some extent.

Application Notes

Titration of the PGA4 antibody may be required due to differences in protocols and secondary/substrate sensitivity.

Immunogen

A portion of amino acids 353-381 from the human protein was used as the immunogen for this PGA4 antibody.

Storage

Aliquot the PGA4 antibody and store frozen at -20oC or colder. Avoid repeated freeze-thaw cycles.

Cross
Bulk Quote Request Form
Name*:
Organization*:
Email*:
Phone Number*:
Catalog No.*:
Comments and Specifics(amount, formulation, etc.)*:
Validation code: Captchapackage Image


Can't read the image? click here to refresh.
    *required field

Your bulk quote request has been submitted successfully!

Please contact us if you have any questions.