• Tel: 858.663.9055
  • SeparatorEmail: info@nsjbio.com
  • Tel: 858.663.9055
  • Email: info@nsjbio.com
Home >> Antibodies >> PFKP Antibody / Phosphofructokinase platelet

PFKP Antibody / Phosphofructokinase platelet (RQ8837)

  Catalog No Formulation Size Price (USD)  
Image RQ8837 0.5mg/ml if reconstituted with 0.2ml sterile DI water 100 ug 449
Bulk quote request
IHC staining of FFPE human diffuse large B cell lymphoma tissue with PFKP antibody. HIER: boil tissue sections in pH8 EDTA for 20 min and allow to cool before testing.
IHC staining of FFPE human thyroid papillary carcinoma tissue with PFKP antibody. HIER: boil tissue sections in pH8 EDTA for 20 min and allow to cool before testing.
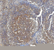
IHC staining of FFPE human tonsil tissue with PFKP antibody. HIER: boil tissue sections in pH8 EDTA for 20 min and allow to cool before testing.
IHC staining of FFPE human tonsil tissue with PFKP antibody. HIER: boil tissue sections in pH8 EDTA for 20 min and allow to cool before testing.
IHC staining of FFPE human colon adenocarcinoma tissue with PFKP antibody. HIER: boil tissue sections in pH8 EDTA for 20 min and allow to cool before testing.
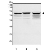
Western blot testing of human 1) 293T, 2) Jurkat and 3) MCF7 cell lysate with PFKP antibody. Predicted molecular weight ~86 kDa.
Flow cytometry testing of fixed and permeabilized human MCF7 cells with PFKP antibody at 1ug/million cells (blocked with goat sera); Red=cells alone, Green=isotype control, Blue= PFKP antibody.
Availability 1-2 days
Species Reactivity Human
Format Antigen affinity purified
Host Rabbit
Clonality Polyclonal (rabbit origin)
Isotype Rabbit IgG
Purity Antigen affinity chromatography
Buffer Lyophilized from 1X PBS with 2% Trehalose
UniProt Q01813
Localization Cytoplasm
Applications Western Blot : 1-2ug/ml
Immunohistochemistry (FFPE) : 2-5ug/ml
Flow Cytometry : 1-3ug/million cells
ELISA : 0.1-0.5ug/ml
Limitations This PFKP antibody is available for research use only.
Review this product on BioCompare and get a $20 Amazon gift card

Related Products

Description

Phosphofructokinase, platelet, also known as PFKP is an enzyme which in humans is encoded by the PFKP gene. This gene encodes a member of the phosphofructokinase A protein family. The encoded enzyme is the platelet-specific isoform of phosphofructokinase and plays a key role in glycolysis regulation. This gene may play a role in metabolic reprogramming in some cancers, including clear cell renal cell carcinomas, and cancer of the bladder, breast, and lung. Alternative splicing results in multiple transcript variants.

Application Notes

Optimal dilution of the PFKP antibody should be determined by the researcher.

Immunogen

An E.coli-derived human recombinant protein (amino acids A55-V784) was used as the immunogen for the PFKP antibody.

Storage

After reconstitution, the PFKP antibody can be stored for up to one month at 4oC. For long-term, aliquot and store at -20oC. Avoid repeated freezing and thawing.

Cross
Bulk Quote Request Form
Name*:
Organization*:
Email*:
Phone Number*:
Catalog No.*:
Comments and Specifics(amount, formulation, etc.)*:
Validation code: Captchapackage Image


Can't read the image? click here to refresh.
    *required field

Your bulk quote request has been submitted successfully!

Please contact us if you have any questions.