• Tel: 858.663.9055
  • SeparatorEmail: info@nsjbio.com
  • Tel: 858.663.9055
  • Email: info@nsjbio.com
Home >> Antibodies >> PFKM Antibody / Phosphofructokinase muscle type

PFKM Antibody / Phosphofructokinase muscle type (FY13106)

  Catalog No Formulation Size Price (USD)  
Image FY13106 Adding 0.2 ml of distilled water will yield a concentration of 500 ug/ml 100 ug 449
Bulk quote request
Immunofluorescent staining of FFPE human HeLa cells with PFKM antibody (red) and DAPI nuclear stain (blue). HIER: steam section in pH6 citrate buffer for 20 min.
Western blot analysis of PFKM using anti-PFKM antibody. Lane 1: human Hela whole cell lysates, Lane 2: human HepG2 whole cell lysates, Lane 3: human 293T whole cell lysates, Lane 4: human U-87MG whole cell lysates, Lane 5: rat heart tissue lysates, Lane 6: mouse heart tissue lysates. After electrophoresis, proteins were transferred to a nitrocellulose membrane at 150 mA for 50-90 minutes. Blocked the membrane with 5% non-fat milk/TBS for 1.5 hour at RT. The membrane was incubated with rabbit anti-PFKM antibody at 0.5 ug/ml overnight at 4oC, then washed with TBS-0.1%Tween 3 times with 5 minutes each and probed with a goat anti-rabbit IgG-HRP secondary antibody at a dilution of 1:5000 for 1.5 hour at RT. The signal was developed using enhanced chemiluminescent. A specific band was detected for PFKM at approximately 85 kDa. The expected molecular weight of PFKM is ~85 kDa.
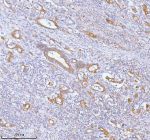
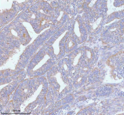
Immunohistochemical staining of PFKM using anti-PFKM antibody. PFKM was detected in a paraffin-embedded section of human endometrioid adenocarcinoma tissue. Heat mediated antigen retrieval was performed in EDTA buffer (pH 8.0, epitope retrieval solution). The tissue section was blocked with 10% goat serum. The tissue section was then incubated with 2 ug/ml rabbit anti-PFKM antibody overnight at 4oC. Peroxidase Conjugated Goat Anti-rabbit IgG was used as secondary antibody and incubated for 30 minutes at 37oC. The tissue section was developed using an HRP secondary and DAB substrate.
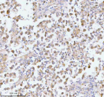
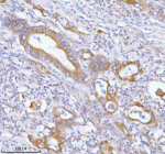
Immunohistochemical staining of PFKM using anti-PFKM antibody. PFKM was detected in a paraffin-embedded section of human rectum adenocarcinoma tissue. Heat mediated antigen retrieval was performed in EDTA buffer (pH 8.0, epitope retrieval solution). The tissue section was blocked with 10% goat serum. The tissue section was then incubated with 2 ug/ml rabbit anti-PFKM antibody overnight at 4oC. Peroxidase Conjugated Goat Anti-rabbit IgG was used as secondary antibody and incubated for 30 minutes at 37oC. The tissue section was developed using an HRP secondary and DAB substrate.
Immunohistochemical staining of PFKM using anti-PFKM antibody. PFKM was detected in a paraffin-embedded section of human rectum adenocarcinoma tissue. Heat mediated antigen retrieval was performed in EDTA buffer (pH 8.0, epitope retrieval solution). The tissue section was blocked with 10% goat serum. The tissue section was then incubated with 2 ug/ml rabbit anti-PFKM antibody overnight at 4oC. Peroxidase Conjugated Goat Anti-rabbit IgG was used as secondary antibody and incubated for 30 minutes at 37oC. The tissue section was developed using an HRP secondary and DAB substrate.
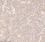
Immunohistochemical staining of PFKM using anti-PFKM antibody. PFKM was detected in a paraffin-embedded section of human testicular seminoma tissue. Heat mediated antigen retrieval was performed in EDTA buffer (pH 8.0, epitope retrieval solution). The tissue section was blocked with 10% goat serum. The tissue section was then incubated with 2 ug/ml rabbit anti-PFKM antibody overnight at 4oC. Peroxidase Conjugated Goat Anti-rabbit IgG was used as secondary antibody and incubated for 30 minutes at 37oC. The tissue section was developed using an HRP secondary and DAB substrate.
Immunohistochemical staining of PFKM using anti-PFKM antibody. PFKM was detected in a paraffin-embedded section of human testicular seminoma tissue. Heat mediated antigen retrieval was performed in EDTA buffer (pH 8.0, epitope retrieval solution). The tissue section was blocked with 10% goat serum. The tissue section was then incubated with 2 ug/ml rabbit anti-PFKM antibody overnight at 4oC. Peroxidase Conjugated Goat Anti-rabbit IgG was used as secondary antibody and incubated for 30 minutes at 37oC. The tissue section was developed using an HRP secondary and DAB substrate.
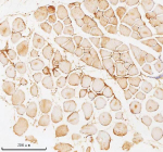
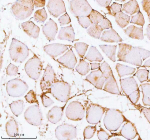
Immunohistochemical staining of PFKM using anti-PFKM antibody. PFKM was detected in a paraffin-embedded section of mouse skeletal muscle tissue. Heat mediated antigen retrieval was performed in EDTA buffer (pH 8.0, epitope retrieval solution). The tissue section was blocked with 10% goat serum. The tissue section was then incubated with 2 ug/ml rabbit anti-PFKM antibody overnight at 4oC. Peroxidase Conjugated Goat Anti-rabbit IgG was used as secondary antibody and incubated for 30 minutes at 37oC. The tissue section was developed using an HRP secondary and DAB substrate.
Immunohistochemical staining of PFKM using anti-PFKM antibody. PFKM was detected in a paraffin-embedded section of mouse skeletal muscle tissue. Heat mediated antigen retrieval was performed in EDTA buffer (pH 8.0, epitope retrieval solution). The tissue section was blocked with 10% goat serum. The tissue section was then incubated with 2 ug/ml rabbit anti-PFKM antibody overnight at 4oC. Peroxidase Conjugated Goat Anti-rabbit IgG was used as secondary antibody and incubated for 30 minutes at 37oC. The tissue section was developed using an HRP secondary and DAB substrate.
Immunohistochemical staining of PFKM using anti-PFKM antibody. PFKM was detected in a paraffin-embedded section of rat skeletal muscle tissue. Heat mediated antigen retrieval was performed in EDTA buffer (pH 8.0, epitope retrieval solution). The tissue section was blocked with 10% goat serum. The tissue section was then incubated with 2 ug/ml rabbit anti-PFKM antibody overnight at 4oC. Peroxidase Conjugated Goat Anti-rabbit IgG was used as secondary antibody and incubated for 30 minutes at 37oC. The tissue section was developed using an HRP secondary and DAB substrate.
Immunohistochemical staining of PFKM using anti-PFKM antibody. PFKM was detected in a paraffin-embedded section of rat skeletal muscle tissue. Heat mediated antigen retrieval was performed in EDTA buffer (pH 8.0, epitope retrieval solution). The tissue section was blocked with 10% goat serum. The tissue section was then incubated with 2 ug/ml rabbit anti-PFKM antibody overnight at 4oC. Peroxidase Conjugated Goat Anti-rabbit IgG was used as secondary antibody and incubated for 30 minutes at 37oC. The tissue section was developed using an HRP secondary and DAB substrate.
Immunohistochemical staining of PFKM using anti-PFKM antibody. PFKM was detected in a paraffin-embedded section of human endometrioid adenocarcinoma tissue. Heat mediated antigen retrieval was performed in EDTA buffer (pH 8.0, epitope retrieval solution). The tissue section was blocked with 10% goat serum. The tissue section was then incubated with 2 ug/ml rabbit anti-PFKM antibody overnight at 4oC. Peroxidase Conjugated Goat Anti-rabbit IgG was used as secondary antibody and incubated for 30 minutes at 37oC. The tissue section was developed using an HRP secondary and DAB substrate.
Flow cytometry analysis of fixed and permeabilized human 293T cells with PFKM antibody at 1ug/million cells (blocked with goat sera); Red=cells alone, Green=isotype control, Blue= PFKM antibody.
Availability 1-2 days
Species Reactivity Human, Mouse, Rat
Format Lyophilized
Host Rabbit
Clonality Polyclonal (rabbit origin)
Isotype Rabbit IgG
Purity Immunogen affinity purified
Buffer Each vial contains 4 mg Trehalose, 0.9 mg NaCl, 0.2 mg Na2HPO4.
UniProt P08237
Localization Cytoplasm
Applications ELISA : 0.1-0.5ug/ml
Immunofluorescence : 5ug/ml
Immunohistochemistry : 2-5ug/ml
Immunocytochemistry : 5ug/ml
Western Blot : 0.25-0.5ug/ml
Flow Cytometry : 1-3ug/million cells
Limitations This PFKM antibody is available for research use only.
Review this product on BioCompare and get a $20 Amazon gift card

Description

PFKM antibody detects Phosphofructokinase, muscle type, a key glycolytic enzyme that catalyzes the phosphorylation of fructose-6-phosphate to fructose-1,6-bisphosphate. The UniProt recommended name is ATP-dependent 6-phosphofructokinase, muscle type (PFKM). This enzyme controls a rate-limiting step in glycolysis and is a central regulator of glucose metabolism and energy production in muscle tissue.

Functionally, PFKM antibody identifies a 780-amino-acid cytosolic enzyme that forms homo- or heterotetramers with other phosphofructokinase isoforms (PFKL and PFKP). PFKM activity is allosterically regulated by ATP, citrate, AMP, and fructose-2,6-bisphosphate, allowing fine-tuned control of glycolytic flux according to cellular energy status. Its catalytic action commits glucose to the glycolytic pathway, linking energy demand with carbohydrate metabolism.

The PFKM gene is located on chromosome 12q13.11 and is predominantly expressed in skeletal and cardiac muscle. It plays a vital role in maintaining muscle energy supply during contraction. PFKM expression and activity adapt to metabolic cues, hypoxia, and hormonal regulation, integrating glycolysis with systemic energy homeostasis.

Pathologically, mutations in PFKM cause Glycogen storage disease type VII (Tarui disease), characterized by exercise intolerance, muscle cramps, and myoglobinuria. Deficiency leads to impaired glycolytic ATP production and accumulation of glycogen in muscle fibers. Aberrant PFKM regulation is also associated with metabolic disorders and tumor glycolysis (Warburg effect). Research with PFKM antibody supports studies in metabolism, enzymology, and inherited myopathies.

PFKM antibody is suitable for western blotting, immunohistochemistry, and enzyme assays to detect muscle phosphofructokinase expression. NSJ Bioreagents provides validated PFKM antibody reagents optimized for glycolysis, muscle physiology, and metabolic disease research.

Structurally, Phosphofructokinase, muscle type forms a tetrameric enzyme with alternating catalytic and regulatory domains. Allosteric binding sites modulate its conformational state and enzymatic efficiency. This antibody allows detailed analysis of PFKM's contribution to energy metabolism and metabolic control.

Application Notes

Optimal dilution of the PFKM antibody should be determined by the researcher.

Immunogen

E.coli-derived human PFKM recombinant protein (Position: R39-V780) was used as the immunogen for the PFKM antibody.

Storage

After reconstitution, the PFKM antibody can be stored for up to one month at 4oC. For long-term, aliquot and store at -20oC. Avoid repeated freezing and thawing.

Cross
Bulk Quote Request Form
Name*:
Organization*:
Email*:
Phone Number*:
Catalog No.*:
Comments and Specifics(amount, formulation, etc.)*:
Validation code: Captchapackage Image


Can't read the image? click here to refresh.
    *required field

Your bulk quote request has been submitted successfully!

Please contact us if you have any questions.