• Tel: 858.663.9055
  • SeparatorEmail: info@nsjbio.com
  • Tel: 858.663.9055
  • Email: info@nsjbio.com
Home >> Antibodies >> PFKFB2 Antibody

PFKFB2 Antibody (RQ6432)

  Catalog No Formulation Size Price (USD)  
Image RQ6432 0.5mg/ml if reconstituted with 0.2ml sterile DI water 100 ug 449
Bulk quote request
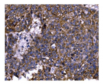
IHC staining of FFPE human liver cancer tissue with PFKFB2 antibody. HIER: boil tissue sections in pH8 EDTA for 20 min and allow to cool before testing.
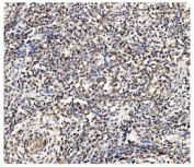
IHC staining of FFPE human cortical adenoma tissue with PFKFB2 antibody. HIER: boil tissue sections in pH8 EDTA for 20 min and allow to cool before testing.
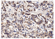
IHC staining of FFPE human esophageal squamous carcinoma tissue with PFKFB2 antibody. HIER: boil tissue sections in pH8 EDTA for 20 min and allow to cool before testing.
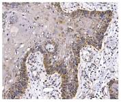
IHC staining of FFPE human testicular cancer tissue with PFKFB2 antibody. HIER: boil tissue sections in pH8 EDTA for 20 min and allow to cool before testing.
IHC staining of FFPE human lung cancer tissue with PFKFB2 antibody. HIER: boil tissue sections in pH8 EDTA for 20 min and allow to cool before testing.
Immunofluorescent staining of FFPE human HeLa cells with PFKFB2 antibody (green) and DAPI nuclear stain (blue). HIER: steam section in pH6 citrate buffer for 20 min.
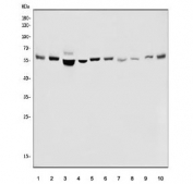
Western blot testing of human 1) K562, 2) HepG2, 3) Caco-2, 4) HeLa, 5) A431, 6) PC-3, 7) rat heart, 8) rat PC-12, 9) mouse heart and 10) mouse RAW364.7 cell lysate with PFKFB2 antibody. Predicted molecular weight ~58 kDa.
Flow cytometry testing of human Caco-2 cells with PFKFB2 antibody at 1ug/million cells (blocked with goat sera); Red=cells alone, Green=isotype control, Blue= PFKFB2 antibody.
Flow cytometry testing of human A431 cells with PFKFB2 antibody at 1ug/million cells (blocked with goat sera); Red=cells alone, Green=isotype control, Blue= PFKFB2 antibody.
Availability 1-3 business days
Species Reactivity Human, Mouse, Rat
Format Purified
Host Rabbit
Clonality Polyclonal (rabbit origin)
Isotype Rabbit IgG
Purity Antigen affinity purified
Buffer Lyophilized from 1X PBS with 2% Trehalose
UniProt O60825
Localization Cytoplasmic, nuclear
Applications Western Blot : 0.5-1ug/ml
Immunohistochemistry (FFPE) : 2-5ug/ml
Immunofluorescence (FFPE) : 5ug/ml
Flow Cytometry : 1-3ug/million cells
Direct ELISA : 0.1-0.5ug/ml
Limitations This PFKFB2 antibody is available for research use only.
Review this product on BioCompare and get a $20 Amazon gift card

Description

6-phosphofructo-2-kinase/fructose-2,6-biphosphatase 2 is an enzyme that in humans is encoded by the PFKFB2 gene. The protein encoded by this gene is involved in both the synthesis and degradation of fructose-2,6-bisphosphate, a regulatory molecule that controls glycolysis in eukaryotes. The encoded protein has a 6-phosphofructo-2-kinase activity that catalyzes the synthesis of fructose-2,6-bisphosphate, and a fructose-2,6-biphosphatase activity that catalyzes the degradation of fructose-2,6-bisphosphate. This protein regulates fructose-2,6-bisphosphate levels in the heart, while a related enzyme encoded by a different gene regulates fructose-2,6-bisphosphate levels in the liver and muscle. This enzyme functions as a homodimer. Two transcript variants encoding two different isoforms have been found for this gene.

Application Notes

Optimal dilution of the PFKFB2 antibody should be determined by the researcher.

Immunogen

Recombinant human protein (amino acids A4-D505) was used as the immunogen for the PFKFB2 antibody.

Storage

After reconstitution, the PFKFB2 antibody can be stored for up to one month at 4oC. For long-term, aliquot and store at -20oC. Avoid repeated freezing and thawing.

Cross
Bulk Quote Request Form
Name*:
Organization*:
Email*:
Phone Number*:
Catalog No.*:
Comments and Specifics(amount, formulation, etc.)*:
Validation code: Captchapackage Image


Can't read the image? click here to refresh.
    *required field

Your bulk quote request has been submitted successfully!

Please contact us if you have any questions.