• Tel: 858.663.9055
  • SeparatorEmail: info@nsjbio.com
  • Tel: 858.663.9055
  • Email: info@nsjbio.com
Home >> Antibodies >> PEX5 Antibody / Peroxisomal biogenesis factor 5

PEX5 Antibody / Peroxisomal biogenesis factor 5 (FY13454)

  Catalog No Formulation Size Price (USD)  
Image FY13454 Adding 0.2 ml of distilled water will yield a concentration of 500 ug/ml 100 ug 449
Bulk quote request
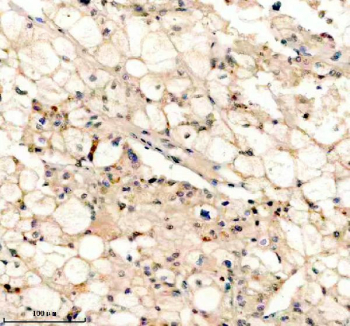
Immunohistochemistry analysis of Peroxisomal biogenesis factor 5 using PEX5 antibody. PEX5 expression was examined in a paraffin-embedded section of human liver cancer tissue. Heat-mediated antigen retrieval was performed using EDTA buffer (pH 8.0). Tissue sections were blocked with normal goat serum and incubated with PEX5 antibody overnight at 4C. Immunoreactivity is observed predominantly in tumor epithelial cells, with cytoplasmic staining consistent with peroxisomal localization. Detection was visualized using an HRP-based detection system with DAB chromogen, followed by hematoxylin counterstaining.
Western blot analysis of PEX5 using PEX5 antibody. Protein lysates from human Jurkat cells (Lane 1), human Caco-2 cells (Lane 2), human HeLa cells (Lane 3), rat liver tissue (Lane 4), rat kidney tissue (Lane 5), mouse liver tissue (Lane 6), and mouse kidney tissue (Lane 7) were resolved by SDS-PAGE under reducing conditions and transferred to a nitrocellulose membrane. PEX5 was detected as bands migrating near 75–80 kDa, consistent with the predicted molecular weight of Peroxisomal biogenesis factor 5 and its known ubiquitinated forms. The presence of closely migrating bands is consistent with mono-ubiquitination of PEX5, which occurs during the peroxisomal protein import cycle. Detection was performed using an HRP-based secondary antibody and chemiluminescent substrate.
Flow cytometry analysis of fixed and permeabilized human RT4 cells with PEX5 antibody at 1ug/million cells (blocked with goat sera); Red=cells alone, Green=isotype control, Blue= PEX5 antibody.
Availability 1-2 days
Species Reactivity Human, Mouse, Rat
Format Lyophilized
Host Rabbit
Clonality Polyclonal (rabbit origin)
Isotype Rabbit IgG
Purity Immunogen affinity purified
Buffer Each vial contains 4 mg Trehalose, 0.9 mg NaCl and 0.2 mg Na2HPO4.
UniProt P50542
Localization Cytoplasm, Peroxisome
Applications Western Blot : 0.25-0.5ug/ml
Immunohistochemistry : 2-5ug/ml
Flow Cytometry : 1-3ug/million cells
Limitations This PEX5 antibody is available for research use only.
Review this product on BioCompare and get a $20 Amazon gift card

Related Products

Description

PEX5 antibody targets Peroxisomal biogenesis factor 5, encoded by the PEX5 gene. Peroxisomal biogenesis factor 5 is a cytoplasmic protein that functions as the primary receptor for peroxisomal targeting signal 1 (PTS1) containing proteins. By recognizing the C-terminal PTS1 motif on newly synthesized matrix proteins, PEX5 mediates their delivery from the cytosol to the peroxisomal membrane for import into the peroxisome matrix.

Functionally, Peroxisomal biogenesis factor 5 operates as a shuttling receptor that binds cargo proteins in the cytoplasm and docks at the peroxisomal membrane through interactions with other peroxins. Following cargo release into the peroxisome, PEX5 is recycled back to the cytosol, allowing repeated rounds of protein import. A PEX5 antibody supports studies focused on peroxisomal protein trafficking, organelle biogenesis, and intracellular transport mechanisms.

PEX5 is predominantly localized to the cytoplasm but transiently associates with the peroxisomal membrane during active import cycles. Its dynamic localization reflects its role as a transport receptor rather than a static structural component of the organelle. Through regulation of matrix protein import, Peroxisomal biogenesis factor 5 supports essential peroxisomal functions, including fatty acid beta-oxidation, lipid metabolism, and reactive oxygen species detoxification.

From a disease-related perspective, disruption of PEX5 function has been linked to peroxisome biogenesis disorders, in which impaired import of matrix enzymes leads to severe metabolic dysfunction. Altered expression or activity of PEX5 can compromise peroxisomal integrity and downstream metabolic pathways, making it an important target in studies of inherited metabolic disease and organelle dysfunction.

At the molecular level, Peroxisomal biogenesis factor 5 contains conserved domains required for PTS1 recognition and interaction with peroxisomal membrane components. Its apparent behavior in experimental systems may vary with cellular metabolic state and import demand without changes to its primary structure. PEX5 antibody reagents enable investigation of peroxisomal protein import and organelle biogenesis, with NSJ Bioreagents providing reagents intended for research use.

Application Notes

Optimal dilution of the PEX5 antibody should be determined by the researcher.

Immunogen

A synthetic peptide corresponding to a sequence in the middle region of human Peroxisomal biogenesis factor 5 was used as the immunogen for the PEX5 antibody.

Storage

After reconstitution, the PEX5 antibody can be stored for up to one month at 4oC. For long-term, aliquot and store at -20oC. Avoid repeated freezing and thawing.

Cross
Bulk Quote Request Form
Name*:
Organization*:
Email*:
Phone Number*:
Catalog No.*:
Comments and Specifics(amount, formulation, etc.)*:
Validation code: Captchapackage Image


Can't read the image? click here to refresh.
    *required field

Your bulk quote request has been submitted successfully!

Please contact us if you have any questions.