• Tel: 858.663.9055
  • SeparatorEmail: info@nsjbio.com
  • Tel: 858.663.9055
  • Email: info@nsjbio.com
Home >> Antibodies >> PEX11B Antibody / Peroxisomal membrane protein 11B

PEX11B Antibody / Peroxisomal membrane protein 11B [clone 29P66] (FY12824)

  Catalog No Formulation Size Price (USD)  
Image FY12824 Rabbit IgG in phosphate buffered saline, pH 7.4, 150mM NaCl, 0.02% sodium azide and 50% glycerol, 0.4-0.5mg/ml BSA 100 ul 449
Microvalidated Recrabbitmono
Bulk quote request
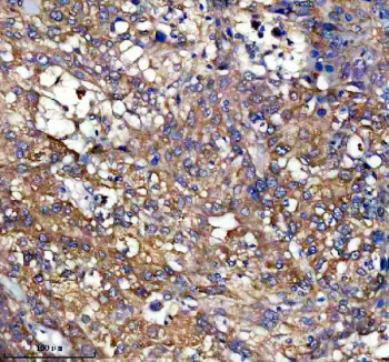
Immunohistochemical staining of PEX11B using anti-PEX11B antibody. PEX11B was detected in a paraffin-embedded section of human liver cancer tissue. Heat mediated antigen retrieval was performed in EDTA buffer (pH 8.0, epitope retrieval solution). The tissue section was blocked with 10% goat serum. The tissue section was then incubated with 1:50 rabbit anti-PEX11B antibody overnight at 4oC. Peroxidase Conjugated Goat Anti-rabbit IgG was used as secondary antibody and incubated for 30 minutes at 37oC. The tissue section was developed using an HRP secondary and DAB substrate.
Western blot analysis of PEX11B using anti-PEX11B antibody. Electrophoresis was performed on a 10% SDS-PAGE gel at 80V (Stacking gel) / 120V (Resolving gel) for 2 hours. Lane 1: human THP-1 whole cell lysates, Lane 2: human MCF-7 whole cell lysates, Lane 3: human Jurkat whole cell lysates, Lane 4: human REH whole cell lysates, Lane 5: human HepG2 whole cell lysates, Lane 6: mouse testis tissue lysates. After electrophoresis, proteins were transferred to a nitrocellulose membrane at 150 mA for 50-90 minutes. Blocked the membrane with 5% non-fat milk/TBS for 1.5 hour at RT. The membrane was incubated with rabbit anti-PEX11B antibody at 1:500 overnight at 4oC, then washed with TBS-0.1%Tween 3 times with 5 minutes each and probed with a goat anti-rabbit IgG-HRP secondary antibody at a dilution of 1:5000 for 1.5 hour at RT. The signal was developed using an ECL Plus Western Blotting Substrate. Western blot detection of PEX11B in human cell lines reveals the expected ~25 kDa monomer band, as well as consistent higher-molecular-weight bands at ~65 kDa and ~80 kDa. The higher bands likely reflect stable PEX11B dimers/trimeric oligomers or PEX11B-containing complexes as previously documented for PEX11B self-interaction.
Availability 2-3 weeks
Species Reactivity Human, Mouse
Format Liquid
Host Rabbit
Clonality Recombinant Rabbit Monoclonal
Isotype Rabbit IgG
Clone Name 29P66
Purity Affinity-chromatography
Buffer Rabbit IgG in phosphate buffered saline, pH 7.4, 150mM NaCl, 0.02% sodium azide and 50% glycerol, 0.4-0.5mg/ml BSA.
UniProt O96011
Localization Cytoplasm
Applications Western Blot : 1:500-1:2000
Immunohistochemistry : 1:50-1:200
Limitations This PEX11B antibody is available for research use only.
Review this product on BioCompare and get a $20 Amazon gift card

Description

PEX11B antibody detects PEX11B, a peroxisomal biogenesis factor encoded by the PEX11B gene. Other names include peroxisomal membrane protein 11B and PMP11B. PEX11B is a peroxisomal membrane protein that regulates peroxisome proliferation and division. It belongs to the PEX11 family, which control peroxisome number and morphology. PEX11B promotes peroxisomal elongation, constriction, and fission, ensuring proper distribution of peroxisomes during cell division and differentiation. Peroxisomes are essential organelles involved in lipid metabolism, reactive oxygen species detoxification, and bile acid synthesis, making PEX11B critical for cellular homeostasis.

PEX11B antibody is widely applied in cell biology, metabolism, and disease research. By detecting PEX11B, researchers can explore how peroxisomes multiply and adapt to metabolic demands. Knockout studies show that PEX11B deficiency leads to reduced peroxisome number, altered lipid metabolism, and developmental abnormalities. This highlights its importance in peroxisome biogenesis disorders.

Applications include western blotting, immunohistochemistry, immunofluorescence, and ELISA. Western blotting identifies PEX11B protein in peroxisome enriched fractions, immunohistochemistry maps tissue distribution in liver and kidney, and immunofluorescence highlights peroxisomal membranes. These assays provide robust tools for evaluating peroxisome biology in health and disease.

Mutations in PEX11B cause peroxisome biogenesis disorders characterized by cataracts, intellectual disability, and developmental delay. These disorders illustrate the essential role of PEX11B in organelle maintenance. By applying PEX11B antibody, scientists can investigate peroxisomal dynamics, inheritance, and disease mechanisms. In addition, altered peroxisome function is linked to metabolic syndromes, cancer, and neurodegeneration, making PEX11B relevant beyond rare genetic disease.

PEX11B interacts with dynamin like proteins and other peroxisome fission factors, coordinating peroxisome proliferation with mitochondrial dynamics. This crosstalk underscores its importance in cellular energy balance. NSJ Bioreagents provides PEX11B antibody with strong specificity, supporting accurate detection of this essential peroxisomal protein in both basic and translational studies.

Application Notes

Optimal dilution of the PEX11B antibody should be determined by the researcher.

Immunogen

A synthesized peptide derived from human PEX11B was used as the immunogen for the PEX11B antibody.

Storage

Store the PEX11B antibody at -20oC.

Cross
Bulk Quote Request Form
Name*:
Organization*:
Email*:
Phone Number*:
Catalog No.*:
Comments and Specifics(amount, formulation, etc.)*:
Validation code: Captchapackage Image


Can't read the image? click here to refresh.
    *required field

Your bulk quote request has been submitted successfully!

Please contact us if you have any questions.