• Tel: 858.663.9055
  • SeparatorEmail: info@nsjbio.com
  • Tel: 858.663.9055
  • Email: info@nsjbio.com
Home >> Antibodies >> PEX1 Antibody / Peroxisome biogenesis factor 1

PEX1 Antibody / Peroxisome biogenesis factor 1 (FY12817)

  Catalog No Formulation Size Price (USD)  
Image FY12817 Adding 0.2 ml of distilled water will yield a concentration of 500 ug/ml 100 ug 449
Bulk quote request
Immunofluorescent staining of PEX1 using anti-PEX1 antibody (red). PEX1 was detected in a paraffin-embedded section of human colon cancer tissue. Heat mediated antigen retrieval was performed in EDTA buffer (pH 8.0, epitope retrieval solution). The tissue section was blocked with 10% goat serum. The tissue section was then incubated with 5 ug/ml rabbit anti-PEX1 antibody overnight at 4oC. Cy3 Conjugated Goat Anti-Rabbit IgG was used as secondary antibody at 1:500 dilution and incubated for 30 minutes at 37oC. The section was counterstained with DAPI nuclear stain (blue). Visualize using a fluorescence microscope and filter sets appropriate for the label used.
Western blot analysis of PEX1 using anti-PEX1 antibody. Electrophoresis was performed on a 8% SDS-PAGE gel at 80V (Stacking gel) / 120V (Resolving gel) for 2 hours. Lane 1: human K562 whole cell lysates, Lane 2: human MCF-7 whole cell lysates, Lane 3: human RT4 whole cell lysates. After electrophoresis, proteins were transferred to a nitrocellulose membrane at 150 mA for 50-90 minutes. Blocked the membrane with 5% non-fat milk/TBS for 1.5 hour at RT. The membrane was incubated with rabbit anti-PEX1 antibody at 0.5 ug/ml overnight at 4oC, then washed with TBS-0.1%Tween 3 times with 5 minutes each and probed with a goat anti-rabbit IgG-HRP secondary antibody at a dilution of 1:5000 for 1.5 hour at RT. The signal was developed using an ECL Plus Western Blotting Substrate. A specific band was detected for PEX1 at approximately 143 kDa. The expected molecular weight of PEX1 is ~143 kDa.
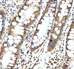
Immunohistochemical staining of PEX1 using anti-PEX1 antibody. PEX1 was detected in a paraffin-embedded section of human colon tissue. Heat mediated antigen retrieval was performed in EDTA buffer (pH 8.0, epitope retrieval solution). The tissue section was blocked with 10% goat serum. The tissue section was then incubated with 2 ug/ml rabbit anti-PEX1 antibody overnight at 4oC. Peroxidase Conjugated Goat Anti-rabbit IgG was used as secondary antibody and incubated for 30 minutes at 37oC. The tissue section was developed using an HRP secondary and DAB substrate.
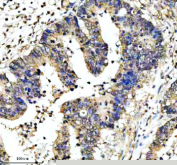
Immunohistochemical staining of PEX1 using anti-PEX1 antibody. PEX1 was detected in a paraffin-embedded section of human colon cancer tissue. Heat mediated antigen retrieval was performed in EDTA buffer (pH 8.0, epitope retrieval solution). The tissue section was blocked with 10% goat serum. The tissue section was then incubated with 2 ug/ml rabbit anti-PEX1 antibody overnight at 4oC. Peroxidase Conjugated Goat Anti-rabbit IgG was used as secondary antibody and incubated for 30 minutes at 37oC. The tissue section was developed using an HRP secondary and DAB substrate.
Flow Cytometry analysis of SH-SY5Y cells using anti-PEX1 antibody. Overlay histogram showing SH-SY5Y cells stained with (Blue line). To facilitate intracellular staining, cells were fixed with 4% paraformaldehyde and permeabilized with permeabilization buffer. The cells were blocked with 10% normal goat serum. And then incubated with rabbit anti-PEX1 antibody (1 ug/million cells) for 30 min at 20oC. DyLight 488 conjugated goat anti-rabbit IgG (5-10 ug/million cells) was used as secondary antibody for 30 minutes at 20oC. Isotype control antibody (Green line) was rabbit IgG (1 ug/million cells) used under the same conditions. Unlabelled sample without incubation with primary antibody and secondary antibody (Red line) was used as a blank control.
Availability 1-2 days
Species Reactivity Human
Format Lyophilized
Host Rabbit
Clonality Polyclonal (rabbit origin)
Isotype Rabbit IgG
Purity Immunogen affinity purified
Buffer Each vial contains 4 mg Trehalose, 0.9 mg NaCl, 0.2 mg Na2HPO4.
UniProt O43933
Localization Cytoplasm
Applications Western Blot : 0.25-0.5ug/ml
Immunohistochemistry : 2-5ug/ml
Immunofluorescence : 5ug/ml
Flow Cytometry : 1-3ug/million cells
ELISA : 0.1-0.5ug/ml
Limitations This PEX1 antibody is available for research use only.
Review this product on BioCompare and get a $20 Amazon gift card

Related Products

  • Applications : WB, ELISA (peptide)
    Reactivity : Human, Mouse, Rat
    Pred. Reactivity : Cow, Dog
  • Applications : WB, FACS, ELISA
    Reactivity : Mouse, Rat

Description

PEX1 antibody detects Peroxisome biogenesis factor 1, an ATPase essential for the assembly and maintenance of functional peroxisomes. Encoded by the PEX1 gene on chromosome 7q21.2, this cytoplasmic AAA-type ATPase facilitates peroxisomal matrix protein import by recycling the peroxisomal targeting receptor PEX5. PEX1 acts in concert with PEX6 to drive the dislocation and recycling of receptor proteins from the peroxisomal membrane back to the cytosol, ensuring continued import of matrix enzymes required for lipid metabolism and detoxification.

PEX1 contains two ATPase domains characteristic of the AAA+ protein family and forms a complex with PEX6 that attaches to the peroxisomal membrane via PEX26. This complex functions as an energy-dependent disassembly machine, resetting the import apparatus after cargo delivery. Proper PEX1 activity is essential for peroxisome maintenance and metabolic homeostasis, including beta-oxidation of very long-chain fatty acids and plasmalogen synthesis.

The PEX1 antibody is widely used in cell biology, metabolism, and genetic disease research to study peroxisomal biogenesis, import machinery, and metabolic regulation. Western blot analysis identifies a 147 kilodalton band corresponding to PEX1, while immunofluorescence shows punctate cytoplasmic staining consistent with peroxisomal localization. This antibody provides a sensitive tool for investigating peroxisomal function and organelle dynamics.

Mutations in PEX1 are the most common cause of Zellweger spectrum disorders, a group of peroxisomal biogenesis disorders leading to severe metabolic dysfunction. Loss of PEX1 disrupts enzyme import, leading to defective peroxisome assembly and accumulation of toxic lipid intermediates. The PEX1 antibody supports studies of peroxisome biology, organelle biogenesis, and genetic metabolic disease. NSJ Bioreagents provides this antibody validated for its applications, ensuring reliability for cellular and metabolic research.

Application Notes

Optimal dilution of the PEX1 antibody should be determined by the researcher.

Immunogen

E.coli-derived human PEX1 recombinant protein (Position: Q256-R1266) was used as the immunogen for the PEX1 antibody.

Storage

After reconstitution, the PEX1 antibody can be stored for up to one month at 4oC. For long-term, aliquot and store at -20oC. Avoid repeated freezing and thawing.

Cross
Bulk Quote Request Form
Name*:
Organization*:
Email*:
Phone Number*:
Catalog No.*:
Comments and Specifics(amount, formulation, etc.)*:
Validation code: Captchapackage Image


Can't read the image? click here to refresh.
    *required field

Your bulk quote request has been submitted successfully!

Please contact us if you have any questions.