• Tel: 858.663.9055
  • SeparatorEmail: info@nsjbio.com
  • Tel: 858.663.9055
  • Email: info@nsjbio.com
Home >> Antibodies >> Peroxiredoxin 5 Antibody

Peroxiredoxin 5 Antibody (R32051)

  Catalog No Formulation Size Price (USD)  
Image R32051 0.5mg/ml if reconstituted with 0.2ml sterile DI water 100 ug 449
Bulk quote request
Immunofluorescent staining of FFPE human HeLa cells with Peroxiredoxin 5 antibody (green) and DAPI nuclear stain (blue). HIER: steam section in pH6 citrate buffer for 20 min.
IHC testing of FFPE human lung cancer with Peroxiredoxin 5 antibody. HIER: Boil the paraffin sections in pH 6, 10mM citrate buffer for 20 minutes and allow to cool prior to staining.
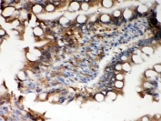
IHC testing of FFPE mouse intestine with Peroxiredoxin 5 antibody. HIER: Boil the paraffin sections in pH 6, 10mM citrate buffer for 20 minutes and allow to cool prior to staining.
IHC testing of FFPE rat intestine with Peroxiredoxin 5 antibody. HIER: Boil the paraffin sections in pH 6, 10mM citrate buffer for 20 minutes and allow to cool prior to staining.
ICC testing of human SMCC cells with Peroxiredoxin 5 antibody.
Western blot testing of 1) human A549, 2) rat brain and 3) mouse brain lysate with Peroxiredoxin 5 antibody. Expected molecular weight ~22 kDa.
Flow cytometry testing of human A549 cells with Peroxiredoxin 5 antibody at 1ug/million cells (blocked with goat sera); Red=cells alone, Green=isotype control, Blue= Peroxiredoxin 5 antibody.
Availability 1-3 business days
Species Reactivity Human, Mouse, Rat
Format Antigen affinity purified
Host Rabbit
Clonality Polyclonal (rabbit origin)
Isotype Rabbit IgG
Purity Antigen affinity
Buffer Lyophilized from 1X PBS with 2.5% BSA and 0.025% sodium azide
UniProt P30044
Localization Cytoplasmic (mitochondrial)
Applications Western Blot : 0.1-0.5ug/ml
Immunocytochemistry : 0.1-0.5ug/ml
Immunohistochemistry (FFPE) : 0.5-1ug/ml
Immunofluorescence (FFPE) : 2-4ug/ml
Flow Cytometry : 1-3ug/million cells
Limitations This Peroxiredoxin 5 antibody is available for research use only.
Review this product on BioCompare and get a $20 Amazon gift card

Related Products

Description

PRDX5 (Peroxiredoxin 5) also known as PMP20, PRDX6, PRXV, SBBI10, is a member of the peroxiredoxin family and may play an antioxidant protective role in various tissues under nonpathologic conditions and during inflammatory processes. The PRDX5 gene is mapped to11q13.1. PRDX5 displays mitochondrial presequence features and has 3 cysteines implicated in antioxidant activity and a C-terminal SQL peroxisomal targeting sequence. Northern blot analysis revealed ubiquitous expression of a 1.0-kb PRDX5 transcript in tissues and cell lines. Functional analysis showed that PRDX5 has antioxidant activity equivalent to that of CAT. While PRDX5 was localized to fibroblasts in normal tendon, it was localized to fibroblasts and endothelial cells in degenerative tendon. PRDX5 mRNA and protein levels increased at 12 hours, and the increase in PRDX5 expression correlated with reduced peroxide levels. PRDX5 plays a protective role against oxidative stress in human cartilage.

Application Notes

Optimal dilution of the Peroxiredoxin 5 antibody should be determined by the researcher.

Immunogen

Amino acids 66-198 of human Peroxiredoxin 5 were used as the immunogen for the Peroxiredoxin 5 antibody.

Storage

After reconstitution, the Peroxiredoxin 5 antibody can be stored for up to one month at 4oC. For long-term, aliquot and store at -20oC. Avoid repeated freezing and thawing.

Cross
Bulk Quote Request Form
Name*:
Organization*:
Email*:
Phone Number*:
Catalog No.*:
Comments and Specifics(amount, formulation, etc.)*:
Validation code: Captchapackage Image


Can't read the image? click here to refresh.
    *required field

Your bulk quote request has been submitted successfully!

Please contact us if you have any questions.