• Tel: 858.663.9055
  • SeparatorEmail: info@nsjbio.com
  • Tel: 858.663.9055
  • Email: info@nsjbio.com
Home >> Antibodies >> Peroxiredoxin 4 Antibody

Peroxiredoxin 4 Antibody (R32208)

  Catalog No Formulation Size Price (USD)  
Image R32208 0.5mg/ml if reconstituted with 0.2ml sterile DI water 100 ug 449
Bulk quote request
Western blot testing of 1) rat brain, 2) mouse brain and 3) human HeLa lysate with Peroxiredoxin 4 antibody. Expected/observed molecualr weight ~31 kDa.
IHC testing of FFPE human tonsil with Peroxiredoxin 4 antibody. HIER: Boil the paraffin sections in pH 6, 10mM citrate buffer for 20 minutes and allow to cool prior to staining.
IHC testing of FFPE mouse brain with Peroxiredoxin 4 antibody. HIER: Boil the paraffin sections in pH 6, 10mM citrate buffer for 20 minutes and allow to cool prior to staining.
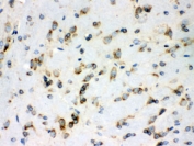
IHC testing of FFPE rat brain with Peroxiredoxin 4 antibody. HIER: Boil the paraffin sections in pH 6, 10mM citrate buffer for 20 minutes and allow to cool prior to staining.
ICC testing of human A549 cells with Peroxiredoxin 4 antibody.
Availability 1-3 business days
Species Reactivity Human, Mouse, Rat
Format Antigen affinity purified
Host Rabbit
Clonality Polyclonal (rabbit origin)
Isotype Rabbit IgG
Purity Antigen affinity
Buffer Lyophilized from 1X PBS with 2.5% BSA and 0.025% sodium azide
UniProt Q13162
Localization Cytoplasmic
Applications Western Blot : 0.1-0.5ug/ml
IHC (FFPE) : 0.5-1ug/ml
ICC : 0.5-1ug/ml
Limitations This Peroxiredoxin 4 antibody is available for research use only.
Review this product on BioCompare and get a $20 Amazon gift card

Related Products

Description

PRDX4 (Peroxiredoxin 4) is also known as AOE37-2. The protein encoded by this gene is an antioxidant enzyme and belongs to the peroxiredoxin family. Functional analysis showed that PRDX4 protects glutamine synthetase from inactivation. Yeast 2-hybrid, immunoprecipitation, and immunoblot analyses indicated that PRDX4 and PRDX1 are capable of homodimerization and heterodimerization with each other but not with the mitochondrial PRDX3. Gel mobility shift and immunoblot analysis found that PRDX4 depletes NFKB binding activity together with a reduction in the amounts of p50, p65, and phosphorylated IKBA, as well as a reduction in the expression of HIV-1 viral proteins. Expression of PRDX4, alone or with PRDX1, increased the resistance of yeast cells to oxidant-induced toxicity. Jin et al. suggested PRDX4 modulates IKBA phosphorylation in the cytoplasm and thus affects a peroxiredoxin-dependent redox step.

Application Notes

Optimal dilution of the Peroxiredoxin 4 antibody should be determined by the researcher.

Immunogen

Amino acids SDLTHQISKDYGVYLEDSGHTLRGLFIIDDK of human Peroxiredoxin 4 were used as the immunogen for the Peroxiredoxin 4 antibody.

Storage

After reconstitution, the Peroxiredoxin 4 antibody can be stored for up to one month at 4oC. For long-term, aliquot and store at -20oC. Avoid repeated freezing and thawing.

Cross
Bulk Quote Request Form
Name*:
Organization*:
Email*:
Phone Number*:
Catalog No.*:
Comments and Specifics(amount, formulation, etc.)*:
Validation code: Captchapackage Image


Can't read the image? click here to refresh.
    *required field

Your bulk quote request has been submitted successfully!

Please contact us if you have any questions.