• Tel: 858.663.9055
  • SeparatorEmail: info@nsjbio.com
  • Tel: 858.663.9055
  • Email: info@nsjbio.com
Home >> Antibodies >> Peroxiredoxin 3 Antibody / PRDX3

Peroxiredoxin 3 Antibody / PRDX3 (R30933)

  Catalog No Formulation Size Price (USD)  
Image R30933 0.5mg/ml if reconstituted with 0.2ml sterile DI water 100 ug 449
Bulk quote request
Immunofluorescent staining of FFPE human A549 cells with Peroxiredoxin 3 antibody (green) and DAPI nuclear stain (blue). HIER: steam section in pH6 citrate buffer for 20 min.
IHC staining of FFPE human lung cancer tissue with Peroxiredoxin 3 antibody. HIER: boil tissue sections in pH8 EDTA for 20 min and allow to cool before testing.
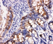
IHC staining of FFPE rat intestine tissue with Peroxiredoxin 3 antibody. HIER: boil tissue sections in pH8 EDTA for 20 min and allow to cool before testing.
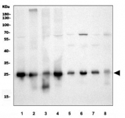
Western blot testing of 1) human HeLa, 2) human A549, 3) human HEK293, 4) human MCF7, 5) rat brain, 6) rat liver, 7) mouse brain and 8) mouse liver tissue lysate with Peroxiredoxin 3 antibody. Predicted molecular weight ~28 kDa.
Flow cytometry testing of fixed and permeabilized human K562 cells with Peroxiredoxin 3 antibody at 1ug/million cells (blocked with goat sera); Red=cells alone, Green=isotype control, Blue= Peroxiredoxin 3 antibody.
Availability 1-3 business days
Species Reactivity Human, Mouse, Rat
Format Antigen affinity purified
Host Rabbit
Clonality Polyclonal (rabbit origin)
Isotype Rabbit IgG
Purity Antigen affinity
Buffer Lyophilized from 1X PBS with 2.5% BSA and 0.025% sodium azide/thimerosal
UniProt P30048
Applications Western Blot : 0.5-1ug/ml
Immunohistochemistry (FFPE) : 2-5ug/ml
Immunofluorescence : 5ug/ml
Flow Cytometry : 1-3ug/million cells
Limitations This Peroxiredoxin 3 antibody is available for research use only.
Review this product on BioCompare and get a $20 Amazon gift card

Related Products

Description

Peroxiredoxin 3 is a mitochondrial protein belonging to the AhpC/TSA family. Expression of PRDX3 is induced by MYC and is reduced in c-myc -/- cells. Chromatin immunoprecipitation analysis spanning the entire PRDX3 genomic sequence revealed that MYC binds preferentially to a 930-bp region surrounding exon 1. Results using mitochondria-specific fluorescent probes demonstrated that Peroxiredoxin 3 is essential for maintaining mitochondrial mass and membrane potential in transformed rat and human cells.

Application Notes

Titration of the Peroxiredoxin 3 antibody may be required due to differences in protocols and secondary/substrate sensitivity.

Immunogen

Amino acids 239-256 (TIKPSPAASKEYFQKVNQ-human) were used as the immunogen for this Peroxiredoxin 3 antibody.

Storage

The lyophilized Peroxiredoxin 3 antibody can be stored at 4oC to -20oC. After reconstitution, aliquot and store at -20oC. Avoid repeated freezing and thawing.

Cross
Bulk Quote Request Form
Name*:
Organization*:
Email*:
Phone Number*:
Catalog No.*:
Comments and Specifics(amount, formulation, etc.)*:
Validation code: Captchapackage Image


Can't read the image? click here to refresh.
    *required field

Your bulk quote request has been submitted successfully!

Please contact us if you have any questions.