• Tel: 858.663.9055
  • SeparatorEmail: info@nsjbio.com
  • Tel: 858.663.9055
  • Email: info@nsjbio.com
Home >> Antibodies >> Peroxiredoxin 1 Antibody / PRDX1

Peroxiredoxin 1 Antibody / PRDX1 (F54796)

  Catalog No Formulation Size Price (USD)  
Image F54796-0.4ML In 1X PBS, pH 7.4, with 0.09% sodium azide 0.4 ml 439
Image
F54796-0.08ML In 1X PBS, pH 7.4, with 0.09% sodium azide 0.08 ml 205
Bulk quote request
Western blot testing of 1) non-transfected and 2) transfected 293 cell lysate with Peroxiredoxin 1 antibody.
Western blot testing of human CCRF-CEM cell lysate with Peroxiredoxin 1 antibody. Predicted molecular weight ~22 kDa.
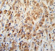
IHC testing of FFPE human colon carcinoma tissue with Peroxiredoxin 1 antibody. HIER: steam section in pH6 citrate buffer for 20 min and allow to cool prior to staining.
Flow cytometry testing of human HEK293 cells with Peroxiredoxin 1 antibody; Blue=isotype control, Green= Peroxiredoxin 1 antibody.
Availability 1-3 business days
Species Reactivity Human
Format Purified
Host Rabbit
Clonality Polyclonal (rabbit origin)
Isotype Rabbit Ig
Purity Purified
UniProt Q06830
Localization Cytoplasmic
Applications Immunohistochemistry (FFPE) : 1:50-1:100
Flow Cytometry : 1:10-1:50 (1x10e6 cells)
Western Blot : 1:500-1:1000
Limitations This Peroxiredoxin 1 antibody is available for research use only.
Review this product on BioCompare and get a $20 Amazon gift card

Related Products

  • Applications : WB, IHC-P, ICC, IF, FACS
    Reactivity : Human, Mouse, Rat
  • Applications : WB, IHC-P, ELISA (peptide)
    Reactivity : Human
    Pred. Reactivity : Mouse, Rat, Dog, Pig, Cow

Description

PRDX1 is a member of the peroxiredoxin family of antioxidant enzymes, which reduce hydrogen peroxide and alkyl hydroperoxides. This protein may play an antioxidant protective role in cells, and may contribute to the antiviral activity of CD8(+) T-cells. This protein may have a proliferative effect and play a role in cancer development or progression.

Application Notes

The stated application concentrations are suggested starting points. Titration of the Peroxiredoxin 1 antibody may be required due to differences in protocols and secondary/substrate sensitivity.

Immunogen

A portion of amino acids 88-116 from the human protein was used as the immunogen for the Peroxiredoxin 1 antibody.

Storage

Aliquot the Peroxiredoxin 1 antibody and store frozen at -20oC or colder. Avoid repeated freeze-thaw cycles.

Cross
Bulk Quote Request Form
Name*:
Organization*:
Email*:
Phone Number*:
Catalog No.*:
Comments and Specifics(amount, formulation, etc.)*:
Validation code: Captchapackage Image


Can't read the image? click here to refresh.
    *required field

Your bulk quote request has been submitted successfully!

Please contact us if you have any questions.