• Tel: 858.663.9055
  • SeparatorEmail: info@nsjbio.com
  • Tel: 858.663.9055
  • Email: info@nsjbio.com
Home >> Antibodies >> Periostin Antibody Rabbit Polyclonal / POSTN

Periostin Antibody Rabbit Polyclonal / POSTN (R32897)

  Catalog No Formulation Size Price (USD)  
Image R32897 0.5mg/ml if reconstituted with 0.2ml sterile DI water 100 ug 449
Bulk quote request
Western blot analysis of Periostin antibody in rat and mouse tissue lysates. Rat stomach (lane 1), rat lung (lane 2), rat NRK cells (lane 3), mouse heart (lane 4), mouse intestine (lane 5), and mouse lung (lane 6) lysates were probed with rabbit polyclonal Periostin antibody at 0.5 ug/ml. A prominent band is detected at approximately 90-100 kDa across multiple tissues, consistent with the predicted molecular weight of Periostin of approximately 93 kDa. The observed migration slightly above the predicted molecular weight is compatible with glycosylation and other post-translational modifications known for this secreted extracellular matrix protein.
Immunohistochemistry of Periostin antibody in mouse stomach tissue. Formalin-fixed, paraffin-embedded mouse stomach was stained with rabbit polyclonal Periostin antibody at 1 ug/ml following heat-induced epitope retrieval by steaming in pH6 citrate buffer for 20 minutes and cooling prior to testing. Brown chromogenic signal is observed predominantly in stromal and subepithelial regions, consistent with extracellular matrix localization of Periostin, while epithelial cell nuclei remain largely negative.
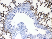
IHC testing of FFPE mouse lung tissue with Periostin antibody rabbit polyclonal at 1ug/ml. Required HIER: steam section in pH6 citrate buffer for 20 min and allow to cool prior to testing.
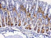
IHC testing of FFPE mouse small intestine tissue with Periostin antibody rabbit polyclonal at 1ug/ml. Required HIER: steam section in pH6 citrate buffer for 20 min and allow to cool prior to testing.
IHC testing of FFPE rat stomach tissue with Periostin antibody rabbit polyclonal at 1ug/ml. Required HIER: steam section in pH6 citrate buffer for 20 min and allow to cool prior to testing.
IHC testing of FFPE rat lung tissue with Periostin antibody rabbit polyclonal at 1ug/ml. Required HIER: steam section in pH6 citrate buffer for 20 min and allow to cool prior to testing.
IHC testing of FFPE rat small intestine tissue with Periostin antibody rabbit polyclonal at 1ug/ml. Required HIER: steam section in pH6 citrate buffer for 20 min and allow to cool prior to testing.
Availability 1-3 business days
Species Reactivity Mouse, Rat
Format Antigen affinity purified
Host Rabbit
Clonality Polyclonal (rabbit origin)
Isotype Rabbit IgG
Purity Antigen affinity
Buffer Lyophilized from 1X PBS with 2.5% BSA, 0.025% sodium azide
UniProt D3ZAF5
Localization Cytoplasm, extracellular space
Applications Western Blot : 0.5-1ug/ml
IHC (FFPE) : 1-2ug/ml
Direct ELISA (recombinant Rat Protein) : 0.1-0.5ug/ml (BSA-free format available)
Limitations This Periostin antibody is available for research use only.
Review this product on BioCompare and get a $20 Amazon gift card

Related Products

Description

Periostin antibody recognizes Periostin, a secreted extracellular matrix protein encoded by the POSTN gene and also referred to as osteoblast specific factor 2 in the literature. Periostin Antibody Rabbit Polyclonal is designed for research applications focused on detecting this matricellular protein within stromal and connective tissue compartments. Periostin is synthesized as a secreted protein that localizes to the extracellular matrix, where it interacts with integrins and structural matrix components to influence tissue remodeling and cell adhesion.

Periostin antibody, also known as POSTN antibody and osteoblast specific factor 2 antibody, targets a member of the fasciclin family of proteins. Structurally, Periostin contains an N-terminal signal peptide, a cysteine-rich EMI domain, four tandem fasciclin-like domains, and a C-terminal region subject to alternative splicing. These domains mediate interactions with integrins such as alpha v beta 3 and alpha v beta 5, as well as with collagen and fibronectin, contributing to matrix organization and mechanical stability in connective tissues.

POSTN expression is prominent in periosteum, periodontal ligament, heart valves, and other mechanically stressed tissues. It is induced during wound healing, fibrosis, and inflammatory responses, where it promotes fibroblast activation, collagen fibrillogenesis, and tissue repair. In the cardiovascular system, Periostin supports valvular development and remodeling, while in bone it participates in osteoblast differentiation and matrix deposition.

In oncology research, Periostin has been studied as a stromal marker associated with tumor progression, epithelial-mesenchymal transition, and metastatic potential. Elevated POSTN expression has been reported in breast, lung, colon, and pancreatic cancers, often localized to cancer-associated fibroblasts and tumor stroma rather than malignant epithelial cells themselves. This distribution pattern makes Periostin antibody useful for investigating tumor microenvironment biology and stromal-epithelial interactions.

The rabbit polyclonal Periostin antibody provides broad epitope recognition across the Periostin protein, supporting detection of endogenous POSTN in tissue sections and cell-based assays. Its extracellular localization and involvement in matrix remodeling pathways make it a valuable tool for studies of fibrosis, development, and cancer-associated stroma at NSJ Bioreagents.

Application Notes

Optimal dilution of the Periostin antibody rabbit polyclonal should be determined by the researcher.

Immunogen

A recombinant rat protein corresponding to amino acids K577-Q810 was used as the immunogen for the Periostin antibody rabbit polyclonal.

Storage

After reconstitution, the Periostin antibody can be stored for up to one month at 4oC. For long-term, aliquot and store at -20oC. Avoid repeated freezing and thawing.

Cross
Bulk Quote Request Form
Name*:
Organization*:
Email*:
Phone Number*:
Catalog No.*:
Comments and Specifics(amount, formulation, etc.)*:
Validation code: Captchapackage Image


Can't read the image? click here to refresh.
    *required field

Your bulk quote request has been submitted successfully!

Please contact us if you have any questions.