• Tel: 858.663.9055
  • SeparatorEmail: info@nsjbio.com
  • Tel: 858.663.9055
  • Email: info@nsjbio.com
Home >> Antibodies >> Periostin Antibody Recombinant Rabbit MAb / POSTN

Periostin Antibody Recombinant Rabbit MAb / POSTN [clone POSTN/8165R] (V4325)

  Catalog No Formulation Size Price (USD)  
Image V4325-100UG 0.2 mg/ml in 1X PBS with 0.1 mg/ml BSA (US sourced), 0.05% sodium azide 100 ug 559
Image
V4325-20UG 0.2 mg/ml in 1X PBS with 0.1 mg/ml BSA (US sourced), 0.05% sodium azide 20 ug 259
Image
V4325SAF-100UG 1 mg/ml in 1X PBS; BSA free, sodium azide free 100 ug 559
Microvalidated Recrabbitmono
Bulk quote request
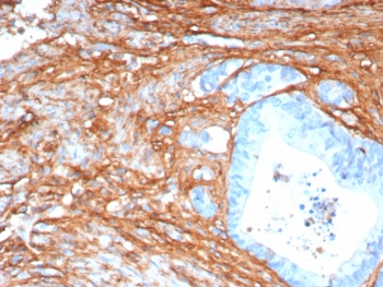
Immunohistochemistry of Periostin antibody in human colon tissue. Formalin-fixed, paraffin-embedded human colon was stained with recombinant rabbit monoclonal Periostin antibody (clone POSTN/8165R) following heat-induced epitope retrieval by boiling in pH 9 10 mM Tris with 1 mM EDTA for 20 minutes and cooling prior to testing. HRP-DAB brown chromogenic signal highlights stromal and pericryptal extracellular matrix regions surrounding colonic glands, consistent with the secreted and matrix-associated localization of Periostin, while epithelial cell nuclei remain largely negative.
Availability 1-3 business days
Species Reactivity Human
Format Purified
Host Rabbit
Clonality Recombinant Rabbit Monoclonal
Isotype Rabbit IgG, kappa
Clone Name POSTN/8165R
Purity Protein A/G affinity
UniProt Q15063
Localization Secreted
Applications Immunohistochemistry (FFPE) : 1-2ug/ml for 30 minutes at RT
Limitations This Periostin antibody is available for research use only.
Review this product on BioCompare and get a $20 Amazon gift card

Related Products

Description

Periostin antibody recognizes Periostin, a secreted extracellular matrix protein encoded by the POSTN gene and also known as osteoblast specific factor 2. Periostin Antibody Recombinant Rabbit MAb (clone POSTN/8165R) is developed for research applications focused on detection of this matricellular protein in tissue sections and cell lysates. Periostin is synthesized with an N-terminal signal peptide and secreted into the extracellular space, where it localizes to the interstitial matrix and basement membrane to regulate tissue architecture and cell-matrix interactions.

Periostin antibody, also referred to as POSTN antibody and OSF-2 antibody, targets a member of the fasciclin family. The Periostin protein contains an EMI domain followed by four tandem fasciclin-like domains that mediate binding to integrins such as alpha v beta 3 and alpha v beta 5, as well as extracellular matrix components including collagen type I and fibronectin. Through these interactions, Periostin supports cytoskeletal organization, cell adhesion, and migration, particularly in tissues exposed to mechanical stress.

POSTN expression is enriched in periosteum, periodontal ligament, cardiac valves, and fibrous connective tissues. During development and wound repair, Periostin is upregulated to promote fibroblast activation and collagen fibrillogenesis. In the cardiovascular system, it contributes to valve formation and remodeling, while in bone it supports osteoblast differentiation and matrix deposition. Increased Periostin expression has also been documented in fibrotic conditions, where it is associated with excessive extracellular matrix accumulation and tissue stiffening.

In cancer research, Periostin is frequently detected within tumor-associated stroma rather than malignant epithelial cells. Elevated POSTN expression has been described in breast, lung, colorectal, pancreatic, and ovarian carcinomas, where it is often localized to cancer-associated fibroblasts and peritumoral connective tissue. This stromal distribution pattern makes Periostin antibody a valuable tool for investigating tumor microenvironment biology, epithelial-mesenchymal transition, and metastatic progression.

The recombinant rabbit monoclonal clone POSTN/8165R provides targeted recognition of Periostin for research use, supporting studies of extracellular matrix remodeling, fibrosis, development, and cancer-associated stromal interactions at NSJ Bioreagents.

Application Notes

Optimal dilution of the Periostin antibody recombinant rabbit mAb should be determined by the researcher.

Immunogen

A recombinant partial protein sequence (within amino acids 193-326) from the human protein was used as the immunogen for the Periostin antibody recombinant rabbit mAb.

Storage

Aliquot the Periostin antibody and store frozen at -20oC or colder. Avoid repeated freeze-thaw cycles.

Cross
Bulk Quote Request Form
Name*:
Organization*:
Email*:
Phone Number*:
Catalog No.*:
Comments and Specifics(amount, formulation, etc.)*:
Validation code: Captchapackage Image


Can't read the image? click here to refresh.
    *required field

Your bulk quote request has been submitted successfully!

Please contact us if you have any questions.