• Tel: 858.663.9055
  • SeparatorEmail: info@nsjbio.com
  • Tel: 858.663.9055
  • Email: info@nsjbio.com
Home >> Antibodies >> Periostin Antibody Mouse Monoclonal / POSTN

Periostin Antibody Mouse Monoclonal / POSTN [clone POSTN/4096] (V5652)

  Catalog No Formulation Size Price (USD)  
Image V5652-100UG 0.2 mg/ml in 1X PBS with 0.1 mg/ml BSA (US sourced), 0.05% sodium azide 100 ug 559
Image
V5652-20UG 0.2 mg/ml in 1X PBS with 0.1 mg/ml BSA (US sourced), 0.05% sodium azide 20 ug 259
Image
V5652SAF-100UG 1 mg/ml in 1X PBS; BSA free, sodium azide free 100 ug 559
Bulk quote request
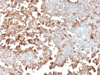
Immunohistochemistry of Periostin antibody mouse monoclonal in human adrenal gland tissue. Formalin-fixed, paraffin-embedded human adrenal gland was stained with mouse monoclonal Periostin antibody (clone POSTN/4096) following heat-induced epitope retrieval by boiling in pH 9 10 mM Tris with 1 mM EDTA for 20 minutes and cooling prior to testing. Brown chromogenic signal is observed predominantly within stromal and extracellular matrix regions surrounding adrenal cortical cell clusters, consistent with the secreted and matrix-associated localization of Periostin, while most adrenal parenchymal nuclei remain negative.
SDS-PAGE analysis of purified, BSA-free Periostin antibody (clone POSTN/4096) as confirmation of integrity and purity.
Availability 1-3 business days
Species Reactivity Human
Format Purified
Host Mouse
Clonality Monoclonal (mouse origin)
Isotype Mouse IgG2b, kappa
Clone Name POSTN/4096
Purity Protein G affinity
UniProt Q15063
Localization Secreted, Cytoplasm
Applications Immunohistochemistry (FFPE) : 1-2ug/ml
Limitations This Periostin antibody is available for research use only.
Review this product on BioCompare and get a $20 Amazon gift card

Related Products

Description

Periostin antibody recognizes Periostin, a secreted extracellular matrix protein encoded by the POSTN gene and also known as osteoblast specific factor 2. Periostin Antibody Mouse Monoclonal (clone POSTN/4096) is developed for research applications requiring specific detection of this matricellular protein in tissue sections and cell lysates. Periostin is synthesized with a signal peptide and secreted into the extracellular space, where it localizes to the interstitial matrix and basement membrane to regulate cell adhesion and tissue remodeling.

Periostin antibody, also referred to as POSTN antibody and OSF-2 antibody, targets a member of the fasciclin family. The Periostin protein contains an N-terminal EMI domain followed by four tandem fasciclin-like domains that mediate binding to integrins such as alpha v beta 3 and alpha v beta 5, as well as to extracellular matrix components including collagen type I and fibronectin. Through these interactions, Periostin supports cytoskeletal organization, cell migration, and mechanical stability in connective tissues.

POSTN expression is prominent in periosteum, periodontal ligament, cardiac valves, and other mechanically stressed tissues. During embryonic development and wound repair, Periostin is upregulated to promote fibroblast activation and collagen fibrillogenesis. In the cardiovascular system, it contributes to valve morphogenesis and remodeling. Elevated Periostin levels are also observed in fibrotic disorders, where it is associated with excessive extracellular matrix deposition and tissue stiffening.

In oncology research, Periostin is frequently detected in tumor-associated stroma rather than malignant epithelial cells. Increased POSTN expression has been described in breast, lung, colorectal, pancreatic, and ovarian cancers, often correlating with tumor progression and metastatic behavior. This stromal distribution pattern makes Periostin antibody useful for studies focused on tumor microenvironment biology and epithelial-mesenchymal interactions.

The mouse monoclonal clone POSTN/4096 provides targeted recognition of Periostin for research use, supporting investigation of extracellular matrix dynamics, fibrosis, development, and cancer-associated stromal remodeling at NSJ Bioreagents.

Application Notes

Optimal dilution of the Periostin antibody should be determined by the researcher.

Immunogen

A portion of amino acids 193-326 from human POSTN protein was used as the immunogen for the Periostin antibody.

Storage

Aliquot the Periostin antibody and store frozen at -20oC or colder. Avoid repeated freeze-thaw cycles.

Cross
Bulk Quote Request Form
Name*:
Organization*:
Email*:
Phone Number*:
Catalog No.*:
Comments and Specifics(amount, formulation, etc.)*:
Validation code: Captchapackage Image


Can't read the image? click here to refresh.
    *required field

Your bulk quote request has been submitted successfully!

Please contact us if you have any questions.