• Tel: 858.663.9055
  • SeparatorEmail: info@nsjbio.com
  • Tel: 858.663.9055
  • Email: info@nsjbio.com
Home >> Antibodies >> Pericentriolar material 1 protein Antibody / PCM1

Pericentriolar material 1 protein Antibody / PCM1 (F54931)

  Catalog No Formulation Size Price (USD)  
Image F54931-0.4ML In 1X PBS, pH 7.4, with 0.09% sodium azide 0.4 ml 439
Image
F54931-0.08ML In 1X PBS, pH 7.4, with 0.09% sodium azide 0.08 ml 205
Bulk quote request
Western blot testing of human Ramos cell lysate with Pericentriolar material 1 protein antibody. Predicted molecular weight ~229 kDa.
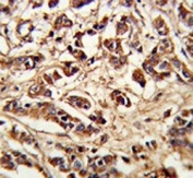
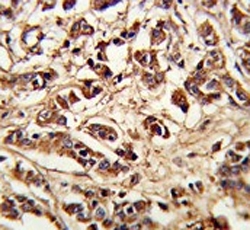
IHC testing of FFPE human breast carcinoma tissue with Pericentriolar material 1 protein antibody. HIER: steam section in pH6 citrate buffer for 20 min and allow to cool prior to staining.
Immunofluorescent staining of fixed and permeabilized human A549 cells with Pericentriolar material 1 protein antibody (green), DAPI nuclear stain (blue) and anti-Actin (red).
Flow cytometry testing of human Ramos cells with Pericentriolar material 1 protein antibody; Blue=isotype control, Green= Pericentriolar material 1 protein antibody.
Availability 1-3 business days
Species Reactivity Human
Format Purified
Host Rabbit
Clonality Polyclonal (rabbit origin)
Isotype Rabbit Ig
Purity Purified
UniProt Q15154
Localization Cytoplasmic, centrosome
Applications Immunofluorescence : 1:10-1:50
Flow Cytometry : 1:10-1:50 (1x10e6 cells)
Immunohistochemistry (FFPE) : 1:50-1:100
Western Blot : 1:500-1:1000
Limitations This Pericentriolar material 1 protein antibody is available for research use only.
Review this product on BioCompare and get a $20 Amazon gift card

Description

PCM-1 is required for centrosome assembly and function. This protein is essential for the correct localization of several centrosomal proteins including CEP250, CETN3, PCNT and NEK2. The protein is required to anchor microtubules to the centrosome.

Application Notes

The stated application concentrations are suggested starting points. Titration of the Pericentriolar material 1 protein antibody may be required due to differences in protocols and secondary/substrate sensitivity.

Immunogen

A portion of amino acids 632-661 from the human protein was used as the immunogen for the Pericentriolar material 1 protein antibody.

Storage

Aliquot the Pericentriolar material 1 protein antibody and store frozen at -20oC or colder. Avoid repeated freeze-thaw cycles.

Cross
Bulk Quote Request Form
Name*:
Organization*:
Email*:
Phone Number*:
Catalog No.*:
Comments and Specifics(amount, formulation, etc.)*:
Validation code: Captchapackage Image


Can't read the image? click here to refresh.
    *required field

Your bulk quote request has been submitted successfully!

Please contact us if you have any questions.