• Tel: 858.663.9055
  • SeparatorEmail: info@nsjbio.com
  • Tel: 858.663.9055
  • Email: info@nsjbio.com
Home >> Antibodies >> Peptide deformylase Antibody / PDF

Peptide deformylase Antibody / PDF (RQ8826)

  Catalog No Formulation Size Price (USD)  
Image RQ8826 0.5mg/ml if reconstituted with 0.2ml sterile DI water 100 ug 449
Bulk quote request
Western blot testing of 1) rat liver and 2) mouse liver tissue lysate with Peptide deformylase antibody. Predicted molecular weight ~27 kDa.
Western blot testing of human 1) MCF7 and 2) HepG2 cell lysate with Peptide deformylase antibody. Predicted molecular weight ~27 kDa.
Immunofluorescent staining of FFPE human ovarian cancer tissue with Peptide deformylase antibody (red) and DAPI nuclear stain (blue). HIER: steam section in pH8 EDTA buffer for 20 min.
Immunofluorescent staining of FFPE human esophageal squamous cell carcinoma tissue with Peptide deformylase antibody (red) and DAPI nuclear stain (blue). HIER: steam section in pH8 EDTA buffer for 20 min.
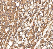
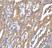
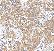
IHC staining of FFPE human liver cancer tissue with Peptide deformylase antibody. HIER: boil tissue sections in pH8 EDTA for 20 min and allow to cool before testing.
IHC staining of FFPE human placental tissue with Peptide deformylase antibody. HIER: boil tissue sections in pH8 EDTA for 20 min and allow to cool before testing.
IHC staining of FFPE human colon adenocarcinoma tissue with Peptide deformylase antibody. HIER: boil tissue sections in pH8 EDTA for 20 min and allow to cool before testing.
IHC staining of FFPE human lung cancer tissue with Peptide deformylase antibody. HIER: boil tissue sections in pH8 EDTA for 20 min and allow to cool before testing.
IHC staining of FFPE human urothelial carcinoma tissue with Peptide deformylase antibody. HIER: boil tissue sections in pH8 EDTA for 20 min and allow to cool before testing.
Flow cytometry testing of fixed and permeabilized human MCF7 cells with Peptide deformylase antibody at 1ug/million cells (blocked with goat sera); Red=cells alone, Green=isotype control, Blue= Peptide deformylase antibody.
Flow cytometry testing of fixed and permeabilized human MCF7 cells with Peptide deformylase antibody at 1ug/million cells (blocked with goat sera); Red=cells alone, Green=isotype control, Blue= Peptide deformylase antibody.
Availability 1-3 days
Species Reactivity Human, Mouse, Rat
Format Antigen affinity purified
Host Rabbit
Clonality Polyclonal (rabbit origin)
Isotype Rabbit IgG
Purity Antigen affinity chromatography
Buffer Lyophilized from 1X PBS with 2% Trehalose
UniProt Q9HBH1
Localization Cytoplasm (Mitochondria)
Applications Western Blot : 1-2ug/ml
Immunohistochemistry (FFPE) : 2-5ug/ml
Immunofluorescence : 5ug/ml
Flow Cytometry : 1-3ug/million cells
ELISA : 0.1-0.5ug/ml
Limitations This Peptide deformylase antibody is available for research use only.
Review this product on BioCompare and get a $20 Amazon gift card

Description

Protein synthesis proceeds after formylation of methionine by methionyl-tRNA formyl transferase (FMT) and transfer of the charged initiator f-met tRNA to the ribosome. In eubacteria and eukaryotic organelles the product of this gene, Peptide deformylase (PDF), removes the formyl group from the initiating methionine of nascent peptides. In eubacteria, deformylation of nascent peptides is required for subsequent cleavage of initiating methionines by methionine aminopeptidase. The discovery that a natural inhibitor of PDF, actinonin, acts as an antimicrobial agent in some bacteria has spurred intensive research into the design of bacterial-specific PDF inhibitors. In human cells, only mitochondrial proteins have N-formylation of initiating methionines. Protein inhibitors of PDF or siRNAs of PDF block the growth of cancer cell lines but have no effect on normal cell growth. In humans, PDF function may therefore be restricted to rapidly growing cells.

Application Notes

Optimal dilution of the Peptide deformylase antibody should be determined by the researcher.

Immunogen

An E.coli-derived human recombinant protein (amino acids H51-Q199) was used as the immunogen for the Peptide deformylase antibody.

Storage

After reconstitution, the Peptide deformylase antibody can be stored for up to one month at 4oC. For long-term, aliquot and store at -20oC. Avoid repeated freezing and thawing.

Cross
Bulk Quote Request Form
Name*:
Organization*:
Email*:
Phone Number*:
Catalog No.*:
Comments and Specifics(amount, formulation, etc.)*:
Validation code: Captchapackage Image


Can't read the image? click here to refresh.
    *required field

Your bulk quote request has been submitted successfully!

Please contact us if you have any questions.