• Tel: 858.663.9055
  • SeparatorEmail: info@nsjbio.com
  • Tel: 858.663.9055
  • Email: info@nsjbio.com
Home >> Antibodies >> PEPCK2 Antibody / PCK2

PEPCK2 Antibody / PCK2 [clone 3F7] (RQ6225)

  Catalog No Formulation Size Price (USD)  
Image RQ6225 0.5mg/ml if reconstituted with 0.2ml sterile DI water 100 ug 449
Bulk quote request
Immunofluorescent staining of FFPE human HepG2 cells with PEPCK2 antibody (green) and DAPI nuclear stain (blue). HIER: steam section in pH6 citrate buffer for 20 min.
IHC staining of FFPE human prostate cancer with PEPCK2 antibody. HIER: boil tissue sections in pH8 EDTA for 20 min and allow to cool before testing.
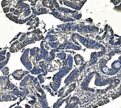
IHC staining of FFPE human breast cancer with PEPCK2 antibody. HIER: boil tissue sections in pH8 EDTA for 20 min and allow to cool before testing.
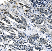
IHC staining of FFPE human rectal cancer with PEPCK2 antibody. HIER: boil tissue sections in pH8 EDTA for 20 min and allow to cool before testing.
Western blot testing of human 1) HepG2, 2) HeLa, 3) HEK293, 4) A431, 5) monkey COS-7, 6) rat kidney, 7) mouse kidney and 8) mouse Neuro-2a cell lysate with PEPCK2 antibody. Predicted molecular weight ~71 kDa.
Flow cytometry testing of human MCF7 cells with PEPCK2 antibody at 1ug/million cells (blocked with goat sera); Red=cells alone, Green=isotype control, Blue= PEPCK2 antibody.
Availability 1-3 business days
Species Reactivity Human, Mouse, Rat, Monkey
Format Antigen affinity purified
Host Mouse
Clonality Monoclonal (mouse origin)
Isotype Mouse IgG2b
Clone Name 3F7
Purity Affinity purified
Buffer Lyophilized from 1X PBS with 2% Trehalose
UniProt Q16822
Applications Western Blot : 1-2ug/ml
Immunohistochemistry (FFPE) : 2-5ug/ml
Immunofluorescence : 5ug/ml
Flow Cytometry : 1-3ug/million cells
Limitations This PEPCK2 antibody is available for research use only.
Review this product on BioCompare and get a $20 Amazon gift card

Related Products

  • Applications : WB, ELISA (peptide)
    Reactivity : Human
    Pred. Reactivity : Cow, Dog, Mouse, Pig, Rat
  • Applications : WB, IHC-P, IF, FACS, Direct ELISA
    Reactivity : Human, Mouse, Rat
  • Applications : IF, WB, IHC-P
    Reactivity : Human

Description

Phosphoenolpyruvate carboxykinase 2, mitochondrial (PCK2, PEPCK-M), is an isozyme of phosphoenolpyruvate carboxykinase (PCK, PEPCK) that in humans is encoded by the PCK2 gene. It is mapped to 14q11.2-q12. This gene encodes a mitochondrial enzyme that catalyzes the conversion of oxaloacetate to phosphoenolpyruvate in the presence of guanosine triphosphate (GTP). A cytosolic form of this protein is encoded by a different gene and is the key enzyme of gluconeogenesis in the liver. Alternatively spliced transcript variants have been described.

Application Notes

Optimal dilution of the PEPCK2 antibody should be determined by the researcher.

Immunogen

A human recombinant partial protein (amino acids M1-M640) was used as the immunogen for the PEPCK2 antibody.

Storage

After reconstitution, the PEPCK2 antibody can be stored for up to one month at 4oC. For long-term, aliquot and store at -20oC. Avoid repeated freezing and thawing.

Cross
Bulk Quote Request Form
Name*:
Organization*:
Email*:
Phone Number*:
Catalog No.*:
Comments and Specifics(amount, formulation, etc.)*:
Validation code: Captchapackage Image


Can't read the image? click here to refresh.
    *required field

Your bulk quote request has been submitted successfully!

Please contact us if you have any questions.