• Tel: 858.663.9055
  • SeparatorEmail: info@nsjbio.com
  • Tel: 858.663.9055
  • Email: info@nsjbio.com
Home >> Antibodies >> PEPCK1 Antibody / PCK1 / PEPC

PEPCK1 Antibody / PCK1 / PEPC (F54453)

  Catalog No Formulation Size Price (USD)  
Image F54453-0.4ML In 1X PBS, pH 7.4, with 0.09% sodium azide 0.4 ml 439
Image
F54453-0.08ML In 1X PBS, pH 7.4, with 0.09% sodium azide 0.08 ml 205
Bulk quote request
Western blot testing of 1) human liver, 2) human kidney, 3) human NCI-H460, 4) mouse liver, 5) mouse kidney and 6) rat kidney lysate with PEPCK1 antibody. Predicted molecular weight: ~69 kDa.
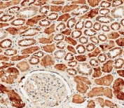
IHC testing of FFPE human kidney tissue with PEPCK1 antibody. HIER: steam section in pH9 EDTA buffer for 20 min and allow to cool prior to staining.
Immunofluorescent staining of human HepG2 cells with PEPCK1 antibody (green), DAPI nuclear stain (blue) and anti-Actin (red).
Availability 1-3 business days
Species Reactivity Human, Mouse, Rat
Format Purified
Host Rabbit
Clonality Polyclonal (rabbit origin)
Isotype Rabbit Ig
Purity Antigen affinity purified
UniProt P35558
Localization Cytoplasmic
Applications Western Blot : 1:500-1:2000
Immunofluorescence : 1:25
Immunohistochemistry (FFPE) : 1:25
Limitations This PEPCK1 antibody is available for research use only.
Review this product on BioCompare and get a $20 Amazon gift card

Related Products

Description

This gene is a main control point for the regulation of gluconeogenesis. The cytosolic enzyme encoded by this gene, along with GTP, catalyzes the formation of phosphoenolpyruvate from oxaloacetate, with the release of carbon dioxide and GDP. The expression of this gene can be regulated by insulin, glucocorticoids, glucagon, cAMP, and diet. A mitochondrial isozyme of the encoded protein also has been characterized.

Application Notes

The stated application concentrations are suggested starting points. Titration of the PEPCK1 antibody may be required due to differences in protocols and secondary/substrate sensitivity.

Immunogen

A portion of amino acids 592-622 from the human protein was used as the immunogen for the PEPCK1 antibody.

Storage

Aliquot the PEPCK1 antibody and store frozen at -20oC or colder. Avoid repeated freeze-thaw cycles.

Cross
Bulk Quote Request Form
Name*:
Organization*:
Email*:
Phone Number*:
Catalog No.*:
Comments and Specifics(amount, formulation, etc.)*:
Validation code: Captchapackage Image


Can't read the image? click here to refresh.
    *required field

Your bulk quote request has been submitted successfully!

Please contact us if you have any questions.