• Tel: 858.663.9055
  • SeparatorEmail: info@nsjbio.com
  • Tel: 858.663.9055
  • Email: info@nsjbio.com
Home >> Antibodies >> PEPC Antibody / PCK1

PEPC Antibody / PCK1 (RQ5908)

  Catalog No Formulation Size Price (USD)  
Image RQ5908 0.5mg/ml if reconstituted with 0.2ml sterile DI water 100 ug 449
Bulk quote request
Immunofluorescent staining of FFPE human HeLa cells with PEPC antibody (red) and DAPI nuclear stain (blue). HIER: steam section in pH6 citrate buffer for 20 min.
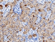
IHC staining of FFPE mouse kidney with PEPC antibody. HIER: boil tissue sections in pH8 EDTA for 20 min and allow to cool before testing.
IHC staining of FFPE rat kidney with PEPC antibody. HIER: boil tissue sections in pH8 EDTA for 20 min and allow to cool before testing.
Western blot testing of 1) human HepG2, 2) rat liver, 3) rat kidney, 4) mouse liver and 5) mouse kidney lysate with PEPC antibody. Predicted molecular weight: ~69 kDa.
Flow cytometry testing of human HL-60 cells with PEPC antibody at 1ug/million cells (blocked with goat sera); Red=cells alone, Green=isotype control, Blue= PEPC antibody.
Availability 1-3 business days
Species Reactivity Human, Mouse, Rat
Format Antigen affinity purified
Host Rabbit
Clonality Polyclonal (rabbit origin)
Isotype Rabbit IgG
Purity Affinity purified
Buffer Lyophilized from 1X PBS with 2% Trehalose and 0.025% sodium azide
UniProt P35558
Applications Western Blot : 0.5-1ug/ml
Immunohistochemistry : 1-2ug/ml
Immunofluorescence : 2-4ug/ml
Flow Cytometry : 1-3ug/million cells
Direct ELISA : 0.1-0.5ug/ml
Limitations This PEPC antibody is available for research use only.
Review this product on BioCompare and get a $20 Amazon gift card

Related Products

Description

This gene is a main control point for the regulation of gluconeogenesis. The cytosolic enzyme encoded by this gene, along with GTP, catalyzes the formation of phosphoenolpyruvate from oxaloacetate, with the release of carbon dioxide and GDP. The expression of this gene can be regulated by insulin, glucocorticoids, glucagon, cAMP, and diet. Defects in this gene are a cause of cytosolic phosphoenolpyruvate carboxykinase deficiency. A mitochondrial isozyme of the encoded protein also has been characterized.

Application Notes

Optimal dilution of the PEPC antibody should be determined by the researcher.

Immunogen

Recombinant human protein (amino acids M1-M622) was used as the immunogen for the PEPC antibody.

Storage

After reconstitution, the PEPC antibody can be stored for up to one month at 4oC. For long-term, aliquot and store at -20oC. Avoid repeated freezing and thawing.

Cross
Bulk Quote Request Form
Name*:
Organization*:
Email*:
Phone Number*:
Catalog No.*:
Comments and Specifics(amount, formulation, etc.)*:
Validation code: Captchapackage Image


Can't read the image? click here to refresh.
    *required field

Your bulk quote request has been submitted successfully!

Please contact us if you have any questions.