• Tel: 858.663.9055
  • SeparatorEmail: info@nsjbio.com
  • Tel: 858.663.9055
  • Email: info@nsjbio.com
Home >> Antibodies >> PECAM-1 Antibody / CD31

PECAM-1 Antibody / CD31 (RQ6066)

  Catalog No Formulation Size Price (USD)  
Image RQ6066 0.5mg/ml if reconstituted with 0.2ml sterile DI water 100 ug 449
Bulk quote request
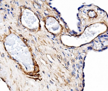
IHC staining of FFPE human placenta with PECAM-1 antibody. HIER: boil tissue sections in pH8 EDTA for 20 min and allow to cool before testing.
IHC staining of FFPE mouse lung with PECAM-1 antibody. HIER: boil tissue sections in pH8 EDTA for 20 min and allow to cool before testing.
IHC staining of FFPE rat liver with PECAM-1 antibody. HIER: boil tissue sections in pH8 EDTA for 20 min and allow to cool before testing.
Western blot testing of 1) rat liver, 2) rat lung and 3) mouse lung lysate with PECAM-1 antibody. Expected molecular weight: 83-130 kDa depending on level of glycosylation.
Availability 1-3 business days
Species Reactivity Human, Mouse, Rat
Format Antigen affinity purified
Host Rabbit
Clonality Polyclonal (rabbit origin)
Isotype Rabbit IgG
Purity Affinity purified
Buffer Lyophilized from 1X PBS with 2% Trehalose and 0.025% sodium azide
UniProt Q3SWT0
Applications Western Blot : 0.5-1ug/ml
Immunohistochemistry : 1-2ug/ml
Direct ELISA : 0.1-0.5ug/ml
Limitations This PECAM-1 antibody is available for research use only.
Review this product on BioCompare and get a $20 Amazon gift card

Related Products

Description

CD31 also known as Platelet endothelial cell adhesion molecule (PECAM-1), is a protein that in human is encoded by the PECAM1 gene. Encoded protein is a member of the immunoglobulin superfamily and this gene is mapped to 17q23.3. CD31 is found on the surface of platelets, monocytes, neutrophils, and some types of T-cells, and makes up a large portion of endothelial cell intercellular junctions. It is demonstrated that CD31 expression on human PBSCs may positively affect both neutrophil and platelet engraftment. Meanwhile, CD31 is involved in leukocyte migration and angiogenesis, which are key components of venous thrombus resolution.

Application Notes

Optimal dilution of the PECAM-1 antibody should be determined by the researcher.

Immunogen

Recombinant rat protein (amino acids Q41-E491) was used as the immunogen for the PECAM-1 antibody.

Storage

After reconstitution, the PECAM-1 antibody can be stored for up to one month at 4oC. For long-term, aliquot and store at -20oC. Avoid repeated freezing and thawing.

Cross
Bulk Quote Request Form
Name*:
Organization*:
Email*:
Phone Number*:
Catalog No.*:
Comments and Specifics(amount, formulation, etc.)*:
Validation code: Captchapackage Image


Can't read the image? click here to refresh.
    *required field

Your bulk quote request has been submitted successfully!

Please contact us if you have any questions.