• Tel: 858.663.9055
  • SeparatorEmail: info@nsjbio.com
  • Tel: 858.663.9055
  • Email: info@nsjbio.com
Home >> Antibodies >> PECAM-1 Antibody / CD31

PECAM-1 Antibody / CD31 [clone C31/8831R] (V4545)

  Catalog No Formulation Size Price (USD)  
Image V4545-100UG 0.2 mg/ml in 1X PBS with 0.1 mg/ml BSA (US sourced), 0.05% sodium azide 100 ug 559
Image
V4545-20UG 0.2 mg/ml in 1X PBS with 0.1 mg/ml BSA (US sourced), 0.05% sodium azide 20 ug 259
Image
V4545SAF-100UG 1 mg/ml in 1X PBS; BSA free, sodium azide free 100 ug 559
Microvalidated Recrabbitmono
Bulk quote request
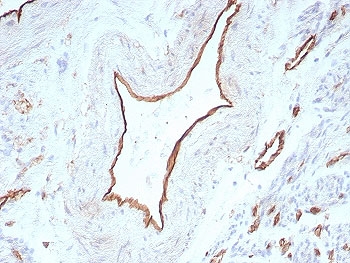
Immunohistochemistry analysis of PECAM-1 / CD31 antibody in human uterus. FFPE human uterus tissue was stained with PECAM-1 / CD31 antibody (clone C31/8831R). HRP-DAB brown chromogenic signal is observed predominantly along the endothelial lining of blood vessels within the stromal compartment, with membranous staining outlining vascular structures. Vascular endothelial cells show strong brown staining, while surrounding smooth muscle cells and stromal cells display minimal background signal. Nuclei are counterstained blue. Heat-induced epitope retrieval was performed by boiling tissue sections in 10 mM Tris with 1 mM EDTA, pH 9, for 20 minutes followed by cooling prior to antibody incubation.
SDS-PAGE analysis of purified, BSA-free PECAM-1 antibody (clone C31/8831R) as confirmation of integrity and purity.
Availability 1-3 business days
Species Reactivity Human
Format Purified
Host Rabbit
Clonality Recombinant Rabbit Monoclonal
Isotype Rabbit IgG, kappa
Clone Name C31/8831R
Purity Protein A/G affinity
UniProt P16284
Localization Cell Surface, Cytoplasm
Applications Immunohistochemistry (FFPE) : 1-2ug/ml for 30 min at RT
Limitations This PECAM-1 antibody is available for research use only.
Review this product on BioCompare and get a $20 Amazon gift card

Related Products

Description

PECAM-1 antibody, also known as Platelet endothelial cell adhesion molecule 1 antibody, recognizes an immunoglobulin superfamily cell surface adhesion receptor commonly referred to as CD31. Platelet endothelial cell adhesion molecule 1 is encoded by the PECAM1 gene on chromosome 17q23.3 and is primarily localized to the plasma membrane at endothelial cell-cell junctions, with additional expression on platelets, monocytes, neutrophils, and select lymphocyte subsets. In vascular biology, PECAM-1 is a hallmark endothelial marker because it concentrates at intercellular borders where it supports barrier integrity and coordinated leukocyte trafficking.

Functionally, PECAM-1 participates in homophilic adhesion between adjacent endothelial cells and in heterophilic interactions that help guide leukocytes during transendothelial migration. It contributes to key processes including leukocyte extravasation, vascular permeability control, angiogenic sprouting, and platelet-endothelial crosstalk. CD31 antibody, also referred to as PECAM-1 antibody and Platelet endothelial cell adhesion molecule 1 antibody in the literature, is commonly used to study endothelial activation, inflammatory recruitment, and tumor-associated neovascularization where endothelial density and junctional remodeling are central readouts.

Structurally, PECAM-1 contains six extracellular immunoglobulin-like domains, a single transmembrane region, and a cytoplasmic tail with signaling motifs that recruit phosphatases and adaptor proteins in response to mechanical or inflammatory cues. These features place PECAM-1 within junctional signaling networks that intersect with pathways regulating shear stress responses, integrin crosstalk, and cytoskeletal organization. In tissues, PECAM-1 often co-localizes with other junctional components at vascular borders, supporting coordinated endothelial adhesion and signaling during immune cell passage.

In disease contexts, altered PECAM1 expression or localization is associated with vascular inflammation, atherosclerotic lesion biology, ischemia-reperfusion injury, and cancer progression through effects on endothelial stability and angiogenesis. Clone C31/8831R is a recombinant monoclonal antibody designed to recognize PECAM-1 and is suitable for detecting CD31 expression in relevant research applications.

Application Notes

Optimal dilution of the PECAM-1 antibody should be determined by the researcher.

Immunogen

A recombinant partial protein sequence (within amino acids 538-738) from the human protein was used as the immunogen for the PECAM-1 antibody.

Storage

Aliquot the PECAM-1 antibody and store frozen at -20oC or colder. Avoid repeated freeze-thaw cycles.

Cross
Bulk Quote Request Form
Name*:
Organization*:
Email*:
Phone Number*:
Catalog No.*:
Comments and Specifics(amount, formulation, etc.)*:
Validation code: Captchapackage Image


Can't read the image? click here to refresh.
    *required field

Your bulk quote request has been submitted successfully!

Please contact us if you have any questions.