• Tel: 858.663.9055
  • SeparatorEmail: info@nsjbio.com
  • Tel: 858.663.9055
  • Email: info@nsjbio.com
Home >> Antibodies >> PECAM-1 Antibody / CD31

PECAM-1 Antibody / CD31 [clone C31/8828R] (V4544)

  Catalog No Formulation Size Price (USD)  
Image V4544-100UG 0.2 mg/ml in 1X PBS with 0.1 mg/ml BSA (US sourced), 0.05% sodium azide 100 ug 559
Image
V4544-20UG 0.2 mg/ml in 1X PBS with 0.1 mg/ml BSA (US sourced), 0.05% sodium azide 20 ug 259
Image
V4544SAF-100UG 1 mg/ml in 1X PBS; BSA free, sodium azide free 100 ug 559
Microvalidated Recrabbitmono
Bulk quote request
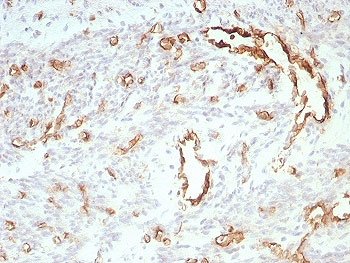
IHC staining of FFPE human uterus tissue with PECAM-1 antibody (clone C31/8828R). HIER: boil tissue sections in pH 9 10mM Tris with 1mM EDTA for 20 min and allow to cool before testing.
SDS-PAGE analysis of purified, BSA-free PECAM-1 antibody (clone C31/8828R) as confirmation of integrity and purity.
Availability 1-3 business days
Species Reactivity Human
Format Purified
Host Rabbit
Clonality Recombinant Rabbit Monoclonal
Isotype Rabbit IgG, kappa
Clone Name C31/8828R
Purity Protein A/G affinity
UniProt P16284
Localization Cell Surface, Cytoplasm
Applications Immunohistochemistry (FFPE) : 1-2ug/ml for 30 min at RT
Limitations This PECAM-1 antibody is available for research use only.
Review this product on BioCompare and get a $20 Amazon gift card

Related Products

Description

PECAM-1 antibody, also known as CD31 antibody, recognizes Platelet endothelial cell adhesion molecule 1, a transmembrane glycoprotein of the immunoglobulin superfamily encoded by the PECAM1 gene on chromosome 17q23.3. PECAM-1 is predominantly localized to the plasma membrane of endothelial cells, where it concentrates at intercellular junctions. It is also expressed on platelets, monocytes, neutrophils, and certain lymphocyte subsets. In vascular tissues, PECAM-1 functions as a key structural and signaling component of endothelial junctional complexes.

PECAM-1 mediates homophilic adhesion between adjacent endothelial cells and plays a central role in leukocyte transmigration across the vascular endothelium. During inflammation, PECAM-1 facilitates diapedesis by guiding leukocytes through endothelial junctions. CD31 antibody is widely used in vascular biology and pathology research as a marker of endothelial cells and angiogenesis. Its membranous localization pattern makes it especially useful for highlighting microvessel density in tumor specimens.

Structurally, PECAM-1 contains six extracellular immunoglobulin-like domains, a single transmembrane region, and a cytoplasmic tail with immunoreceptor tyrosine-based inhibitory motifs. These motifs participate in intracellular signaling events that regulate cell survival, migration, and cytoskeletal organization. PECAM-1 integrates signals from mechanical shear stress and inflammatory stimuli, contributing to vascular homeostasis.

Dysregulation of PECAM1 expression has been implicated in vascular inflammation, atherosclerosis, thrombosis, and tumor-associated angiogenesis. Increased endothelial expression often correlates with neovascularization in malignant tissues. A PECAM-1 antibody is suitable for detecting CD31 expression in research applications focused on endothelial biology and vascular remodeling.

Application Notes

Optimal dilution of the PECAM-1 antibody should be determined by the researcher.

Immunogen

A recombinant partial protein sequence (within amino acids 538-738) from the human protein was used as the immunogen for the PECAM-1 antibody.

Storage

Aliquot the PECAM-1 antibody and store frozen at -20oC or colder. Avoid repeated freeze-thaw cycles.

Cross
Bulk Quote Request Form
Name*:
Organization*:
Email*:
Phone Number*:
Catalog No.*:
Comments and Specifics(amount, formulation, etc.)*:
Validation code: Captchapackage Image


Can't read the image? click here to refresh.
    *required field

Your bulk quote request has been submitted successfully!

Please contact us if you have any questions.