• Tel: 858.663.9055
  • SeparatorEmail: info@nsjbio.com
  • Tel: 858.663.9055
  • Email: info@nsjbio.com
Home >> Antibodies >> PDZK1 Antibody / PDZ domain-containing 1 / NHERF3

PDZK1 Antibody / PDZ domain-containing 1 / NHERF3 (FY13097)

  Catalog No Formulation Size Price (USD)  
Image FY13097 Adding 0.2 ml of distilled water will yield a concentration of 500 ug/ml 100 ug 439
Bulk quote request
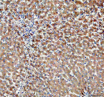
Immunohistochemical staining of PDZK1 using anti-PDZK1 antibody. PDZK1 was detected in a paraffin-embedded section of human liver tissue. Heat mediated antigen retrieval was performed in EDTA buffer (pH 8.0, epitope retrieval solution). The tissue section was blocked with 10% goat serum. The tissue section was then incubated with 2 ug/ml rabbit anti-PDZK1 antibody overnight at 4oC. Peroxidase Conjugated Goat Anti-rabbit IgG was used as secondary antibody and incubated for 30 minutes at 37oC. The tissue section was developed using an HRP secondary and DAB substrate.
Western blot analysis of PDZK1 using anti-PDZK1 antibody. Electrophoresis was performed on a 10% SDS-PAGE gel at 80V (Stacking gel) / 120V (Resolving gel) for 2 hours. Lane 1: human 293T whole cell lysates, Lane 2: human Caco-2 whole cell lysates, Lane 3: human HepG2 whole cell lysates, Lane 4: human MCF-7 whole cell lysates, Lane 5: rat kidney tissue lysates, Lane 6: rat liver tissue lysates, Lane 7: mouse kidney tissue lysates, Lane 8: mouse liver tissue lysates. Lane 8: mouse brain tissue lysates. After electrophoresis, proteins were transferred to a nitrocellulose membrane at 150 mA for 50-90 minutes. Blocked the membrane with 5% non-fat milk/TBS for 1.5 hour at RT. The membrane was incubated with rabbit anti-PDZK1 antibody at 0.5 ug/ml overnight at 4oC, then washed with TBS-0.1%Tween 3 times with 5 minutes each and probed with a goat anti-rabbit IgG-HRP secondary antibody at a dilution of 1:5000 for 1.5 hour at RT. The signal was developed using an ECL Plus Western Blotting Substrate. Although PDZK1 is ~57 kDa by sequence, the antibody detects a predominant species at ~70 kDa in most samples. This upward shift is well known for PDZK1 and reflects its acidic, multi-PDZ architecture and phosphorylation, which slow SDS–PAGE mobility. In kidney tissue, PDZK1 migrates slightly faster, consistent with reduced phosphorylation and/or expression of shorter renal isoforms.
Flow Cytometry analysis of RM-1 cells using anti-PDZK1 antibody. Overlay histogram showing RM-1 cells stained with (Blue line). The cells were fixed with 4% paraformaldehyde and blocked with 10% normal goat serum. And then incubated with rabbit anti-PDZK1 antibody (1 ug/million cells) for 30 min at 20oC. DyLight 488 conjugated goat anti-rabbit IgG (5-10 ug/million cells) was used as secondary antibody for 30 minutes at 20oC. Isotype control antibody (Green line) was rabbit IgG (1 ug/million cells) used under the same conditions. Unlabelled sample without incubation with primary antibody and secondary antibody (Red line) was used as a blank control.
Flow Cytometry analysis of CACO-2 cells using anti-PDZK1 antibody. Overlay histogram showing CACO-2 cells stained with (Blue line). The cells were fixed with 4% paraformaldehyde and blocked with 10% normal goat serum. And then incubated with rabbit anti-PDZK1 antibody (1 ug/million cells) for 30 min at 20oC. DyLight 488 conjugated goat anti-rabbit IgG (5-10 ug/million cells) was used as secondary antibody for 30 minutes at 20oC. Isotype control antibody (Green line) was rabbit IgG (1 ug/million cells) used under the same conditions. Unlabelled sample without incubation with primary antibody and secondary antibody (Red line) was used as a blank control.
Availability 1-2 days
Species Reactivity Human, Mouse, Rat
Format Lyophilized
Clonality Polyclonal (rabbit origin)
Isotype Rabbit IgG
Purity Immunogen affinity purified
Buffer Each vial contains 4 mg Trehalose, 0.9 mg NaCl, 0.2 mg Na2HPO4.
UniProt Q9JIL4
Localization Nuclear, cytoplasmic
Applications Western Blot : 0.25-0.5ug/ml
Immunohistochemistry : 2-5ug/ml
Flow Cytometry : 1-3ug/million cells
ELISA : 0.1-0.5ug/ml
Limitations This PDZK1 antibody is available for research use only.
Review this product on BioCompare and get a $20 Amazon gift card

Description

PDZK1 antibody detects PDZ domain-containing 1, a scaffolding protein that organizes membrane transporters and receptors in epithelial cells. The UniProt recommended name is PDZ domain-containing 1 (PDZK1). This adaptor protein interacts with various membrane-associated proteins, including ion channels, transporters, and signaling receptors, to regulate their surface expression and stability.

Functionally, PDZK1 antibody identifies a 519-amino-acid cytoplasmic protein containing four PDZ domains that mediate multiprotein complex formation at the apical membrane. PDZK1 anchors transporters such as the sodium-hydrogen exchanger NHE3 and the scavenger receptor SR-BI, facilitating ion exchange and lipid uptake. It coordinates interactions between membrane proteins and signaling molecules that maintain epithelial polarity and transport efficiency.

The PDZK1 gene is located on chromosome 1q21.1 and is highly expressed in kidney, liver, and intestine. In hepatocytes, PDZK1 regulates cholesterol homeostasis through its interaction with SR-BI, while in renal and intestinal epithelia it modulates absorption and reabsorption processes. PDZK1's scaffolding role ensures efficient communication between transporters and cytoskeletal components.

Pathologically, dysregulated PDZK1 expression is linked to disorders of lipid metabolism, hypertension, and cancer. Reduced PDZK1 can impair high-density lipoprotein (HDL) uptake and disrupt cholesterol transport. Overexpression has been associated with tumor progression through altered signaling dynamics. Research using PDZK1 antibody enhances understanding of epithelial transport regulation and metabolic signaling.

PDZK1 antibody is suitable for western blotting, immunofluorescence, and immunohistochemistry to detect PDZK1 in epithelial tissues and cultured cells. NSJ Bioreagents supplies validated PDZK1 antibody reagents for studies of membrane trafficking, ion transport, and lipid metabolism.

Structurally, PDZK1 features four PDZ domains arranged to allow simultaneous binding of multiple partners, forming scaffolded microdomains at the plasma membrane. This antibody enables analysis of PDZK1-mediated protein complexes that maintain cellular polarity and metabolic balance.

Application Notes

Optimal dilution of the PDZK1 antibody should be determined by the researcher.

Immunogen

E.coli-derived mouse PDZK1 recombinant protein (Position: R8-R502) was used as the immunogen for the PDZK1 antibody.

Storage

After reconstitution, the PDZK1 antibody can be stored for up to one month at 4oC. For long-term, aliquot and store at -20oC. Avoid repeated freezing and thawing.

Cross
Bulk Quote Request Form
Name*:
Organization*:
Email*:
Phone Number*:
Catalog No.*:
Comments and Specifics(amount, formulation, etc.)*:
Validation code: Captchapackage Image


Can't read the image? click here to refresh.
    *required field

Your bulk quote request has been submitted successfully!

Please contact us if you have any questions.