• Tel: 858.663.9055
  • SeparatorEmail: info@nsjbio.com
  • Tel: 858.663.9055
  • Email: info@nsjbio.com
Home >> Antibodies >> PDZD8 Antibody / PDZ domain-containing protein 8

PDZD8 Antibody / PDZ domain-containing protein 8 (FY13293)

  Catalog No Formulation Size Price (USD)  
Image FY13293 Adding 0.2 ml of distilled water will yield a concentration of 500 ug/ml 100 ug 449
Bulk quote request
Immunofluorescent staining of PDZD8 using anti-PDZD8 antibody (red). PDZD8 was detected in a paraffin-embedded section of rat testis tissue. Heat mediated antigen retrieval was performed in EDTA buffer (pH 8.0, epitope retrieval solution). The tissue section was blocked with 10% goat serum. The tissue section was then incubated with 5 ug/ml rabbit anti-PDZD8 antibody overnight at 4oC. Cy3 Conjugated Goat Anti-Rabbit IgG was used as secondary antibody at 1:500 dilution and incubated for 30 minutes at 37oC. The section was counterstained with DAPI nuclear stain (blue). Visualize using a fluorescence microscope and filter sets appropriate for the label used.
Western blot analysis of PDZD8 using anti-PDZD8 antibody. Electrophoresis was performed on a 8% SDS-PAGE gel at 80V (Stacking gel) / 120V (Resolving gel) for 2 hours. Lane 1: human HEL whole cell lysates, Lane 2: human whole cell lysates, Lane 3: rat testis tissue lysates, Lane 4: rat PC-12 whole cell lysates, Lane 5: mouse testis tissue lysates, Lane 6: mouse RAW264.7 whole cell lysates. After electrophoresis, proteins were transferred to a nitrocellulose membrane at 150 mA for 50-90 minutes. Blocked the membrane with 5% non-fat milk/TBS for 1.5 hour at RT. The membrane was incubated with rabbit anti-PDZD8 antibody at 0.5 ug/ml overnight at 4oC, then washed with TBS-0.1%Tween 3 times with 5 minutes each and probed with a goat anti-rabbit IgG-HRP secondary antibody at a dilution of 1:5000 for 1.5 hour at RT. The signal was developed using an ECL Plus Western Blotting Substrate. A predominant band is detected at an approximately 150 kDa in all samples, running above the predicted ~129 kDa size but consistent with the higher apparent molecular weight reported for the coiled-coil, PDZ-domain scaffolding protein PDZD8.
Immunohistochemical staining of PDZD8 using anti-PDZD8 antibody. PDZD8 was detected in a paraffin-embedded section of human liver tissue. Heat mediated antigen retrieval was performed in EDTA buffer (pH 8.0, epitope retrieval solution). The tissue section was blocked with 10% goat serum. The tissue section was then incubated with 2 ug/ml rabbit anti-PDZD8 antibody overnight at 4oC. Peroxidase Conjugated Goat Anti-rabbit IgG was used as secondary antibody and incubated for 30 minutes at 37oC. The tissue section was developed using an HRP secondary and DAB substrate.
Immunohistochemical staining of PDZD8 using anti-PDZD8 antibody. PDZD8 was detected in a paraffin-embedded section of rat testis tissue. Heat mediated antigen retrieval was performed in EDTA buffer (pH 8.0, epitope retrieval solution). The tissue section was blocked with 10% goat serum. The tissue section was then incubated with 2 ug/ml rabbit anti-PDZD8 antibody overnight at 4oC. Peroxidase Conjugated Goat Anti-rabbit IgG was used as secondary antibody and incubated for 30 minutes at 37oC. The tissue section was developed using an HRP secondary and DAB substrate.
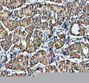
Immunohistochemical staining of PDZD8 using anti-PDZD8 antibody. PDZD8 was detected in a paraffin-embedded section of human liver cancer tissue. Heat mediated antigen retrieval was performed in EDTA buffer (pH 8.0, epitope retrieval solution). The tissue section was blocked with 10% goat serum. The tissue section was then incubated with 2 ug/ml rabbit anti-PDZD8 antibody overnight at 4oC. Peroxidase Conjugated Goat Anti-rabbit IgG was used as secondary antibody and incubated for 30 minutes at 37oC. The tissue section was developed using an HRP secondary and DAB substrate.
Flow Cytometry analysis of cells using anti-PDZD8 antibody. Overlay histogram showing cells stained with (Blue line). To facilitate intracellular staining, cells were fixed with 4% paraformaldehyde and permeabilized with permeabilization buffer. The cells were blocked with 10% normal goat serum. And then incubated with rabbit anti-PDZD8 antibody (1 ug/million cells) for 30 min at 20oC. DyLight 488 conjugated goat anti-rabbit IgG (5-10 ug/million cells) was used as secondary antibody for 30 minutes at 20oC. Isotype control antibody (Green line) was rabbit IgG (1 ug/million cells) used under the same conditions. Unlabelled sample without incubation with primary antibody and secondary antibody (Red line) was used as a blank control.
Availability 1-2 days
Species Reactivity Human, Mouse, Rat
Format Lyophilized
Host Rabbit
Clonality Polyclonal (rabbit origin)
Isotype Rabbit IgG
Purity Immunogen affinity purified
Buffer Each vial contains 4 mg Trehalose, 0.9 mg NaCl, 0.2 mg Na2HPO4.
UniProt Q8NEN9
Localization Nucleus, Cytoplasm (Golgi), Cell membrane
Applications Western Blot : 0.25-0.5ug/ml
Immunohistochemistry : 2-5ug/ml
Immunofluorescence : 5ug/ml
Flow Cytometry : 1-3ug/million cells
ELISA : 0.1-0.5ug/ml
Limitations This PDZD8 antibody is available for research use only.
Review this product on BioCompare and get a $20 Amazon gift card

Description

PDZD8 antibody targets PDZ domain-containing protein 8, a membrane-associated scaffolding protein involved in organelle tethering, lipid transfer, and calcium signaling. Encoded by the PDZD8 gene, this multidomain protein contains PDZ, C1, and coiled-coil regions that mediate interactions with multiple organelle and cytoskeletal proteins. PDZD8 plays a crucial role in forming membrane contact sites between the endoplasmic reticulum (ER) and mitochondria, facilitating lipid exchange and calcium ion transport essential for energy metabolism and cellular homeostasis.

Recent studies have shown that PDZD8 acts as a functional ortholog of yeast Mmm1-Mdm12 complex components in establishing ER-mitochondrial contacts. By bridging the two organelles, PDZD8 helps coordinate mitochondrial dynamics and calcium uptake during neuronal signaling and metabolic activity. Loss of PDZD8 disrupts mitochondrial morphology, impairs synaptic transmission, and affects neuronal energy balance, highlighting its importance in brain physiology. The protein is also implicated in autophagy regulation, as it contributes to the spatial organization of membrane contact sites during autophagosome formation.

The PDZD8 gene is located on chromosome 10q25.3 and encodes multiple isoforms through alternative splicing. The protein localizes to the ER membrane via its C-terminal transmembrane domain and interacts with small GTPases and lipid transport proteins. Dysregulation of PDZD8 has been associated with neurodegenerative diseases, including amyotrophic lateral sclerosis (ALS) and Huntington's disease, where altered organelle tethering and calcium imbalance contribute to pathogenesis.

Immunohistochemical staining using PDZD8 antibody reveals perinuclear and cytoplasmic localization in neurons, hepatocytes, and fibroblasts. The antibody is valuable for investigating ER-mitochondrial contact formation, calcium signaling, and membrane lipid metabolism. PDZD8 antibody from NSJ Bioreagents supports research into cellular organelle communication, neurodegenerative mechanisms, and intracellular trafficking.

Application Notes

Optimal dilution of the PDZD8 antibody should be determined by the researcher.

Immunogen

E.coli-derived human PDZD8 recombinant protein (Position: R28-D1146) was used as the immunogen for the PDZD8 antibody.

Storage

After reconstitution, the PDZD8 antibody can be stored for up to one month at 4oC. For long-term, aliquot and store at -20oC. Avoid repeated freezing and thawing.

Cross
Bulk Quote Request Form
Name*:
Organization*:
Email*:
Phone Number*:
Catalog No.*:
Comments and Specifics(amount, formulation, etc.)*:
Validation code: Captchapackage Image


Can't read the image? click here to refresh.
    *required field

Your bulk quote request has been submitted successfully!

Please contact us if you have any questions.