- Tel: 858.663.9055
- 
									 Email: info@nsjbio.com Email: info@nsjbio.com
- Tel: 858.663.9055
- Email: info@nsjbio.com
 Email: info@nsjbio.com
Email: info@nsjbio.com
								Related Products
| 
 | 
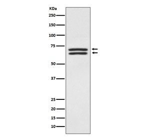
Serine/threonine kinase which acts as a master kinase, phosphorylating and activating a subgroup of the AGC family of protein kinases. [UniProt]
Optimal dilution of the PDPK1 antibody should be determined by the researcher.
A synthetic peptide specific to human PDPK1 was used as the immunogen for the PDPK1 antibody.
Store the PDPK1 antibody at -20oC.
 
Your bulk quote request has been submitted successfully!
Please contact us if you have any questions.