• Tel: 858.663.9055
  • SeparatorEmail: info@nsjbio.com
  • Tel: 858.663.9055
  • Email: info@nsjbio.com
Home >> Antibodies >> PDK2 Antibody / Pyruvate dehydrogenase kinase 2

PDK2 Antibody / Pyruvate dehydrogenase kinase 2 (RQ4125)

  Catalog No Formulation Size Price (USD)  
Image RQ4125 0.5mg/ml if reconstituted with 0.2ml sterile DI water 100 ug 449
Bulk quote request
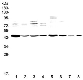
Western blot testing of 1) rat heart, 2) rat skeletal muscle, 3) rat brain, 4) rat kidney, 5) mouse heart, 6) mouse skeletal muscle, 7) mouse brain and 8) mouse kidney lysate with PDK2 antibody at 0.5ug/ml. Predicted molecular weight ~46 kDa.
Western blot testing of 1) human Jurkat, 2) rat heart, 3) rat skeletal muscle, 4) rat brain, 5) mouse heart, 6) mouse skeletal muscle and 7) mouse brain tissue lysate with PDK2 antibody at 0.5ug/ml. Predicted molecular weight ~46 kDa.
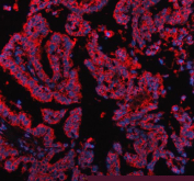
Immunofluorescent staining of FFPE human lung cancer tissue with PDK2 antibody (red) and DAPI nuclear stain (blue). HIER: steam section in pH8 EDTA buffer for 20 min.
Immunofluorescent staining of FFPE human U-2 OS cells with PDK2 antibody (green) and Alpha Tubulin mAb (red). HIER: steam section in pH6 citrate buffer for 20 min.
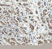
IHC staining of FFPE human breast cancer tissue with PDK2 antibody, HRP-secondary and DAB substrate. HIER: boil tissue sections in pH8 EDTA for 20 min and allow to cool before testing.
IHC staining of FFPE human lung cancer tissue with PDK2 antibody, HRP-secondary and DAB substrate. HIER: boil tissue sections in pH8 EDTA for 20 min and allow to cool before testing.
Flow cytometry testing of fixed and permeabilized human JK-1 cells with PDK2 antibody at 1ug/million cells (blocked with goat sera); Red=cells alone, Green=isotype control, Blue= PDK2 antibody.
Availability 1-3 business days
Species Reactivity Human, Mouse, Rat
Format Antigen affinity purified
Host Rabbit
Clonality Polyclonal (rabbit origin)
Isotype Rabbit IgG
Purity Antigen affinity purified
Buffer Lyophilized from 1X PBS with 2% Trehalose
UniProt Q15119
Localization Cytoplasm (Mitochondria)
Applications Western Blot : 0.5-1ug/ml
Immunohistochemistry (FFPE) : 2-5ug/ml
Immunofluorescence : 5ug/ml
Flow Cytometry : 1-3ug/million cells
Direct ELISA : 0.1-0.5ug/ml
Limitations This PDK2 antibody is available for research use only.
Review this product on BioCompare and get a $20 Amazon gift card

Related Products

Description

Pyruvate dehydrogenase kinase 2 (PDK2) is a mitochondrial enzyme that regulates cellular metabolism by phosphorylating and inactivating the pyruvate dehydrogenase complex (PDC). By controlling the entry of pyruvate into the citric acid cycle, PDK2 plays a critical role in balancing glucose oxidation and energy production.

PDK2 is widely expressed across tissues and is especially important in maintaining metabolic flexibility under conditions such as fasting, hypoxia, and high-fat diet adaptation. Dysregulation of PDK2 activity has been linked to metabolic disorders, diabetes, obesity, and cancer, making it a key target in metabolic and therapeutic research.

Using a high-quality PDK2 antibody enables sensitive detection in applications such as western blot, immunohistochemistry, and immunofluorescence. A PDK2 antibody from NSJ Bioreagents ensures reproducibility and accuracy for studies involving mitochondrial metabolism, metabolic reprogramming, and disease mechanisms. Selecting the right PDK2 antibody is essential for generating reliable and consistent results.

Application Notes

Optimal dilution of the PDK2 antibody should be determined by the researcher.

Immunogen

A recombinant human partial protein corresponding to amino acids V81-D177 was used as the immunogen for the PDK2 antibody.

Storage

After reconstitution, the PDK2 antibody can be stored for up to one month at 4oC. For long-term, aliquot and store at -20oC. Avoid repeated freezing and thawing.

Cross
Bulk Quote Request Form
Name*:
Organization*:
Email*:
Phone Number*:
Catalog No.*:
Comments and Specifics(amount, formulation, etc.)*:
Validation code: Captchapackage Image


Can't read the image? click here to refresh.
    *required field

Your bulk quote request has been submitted successfully!

Please contact us if you have any questions.