• Tel: 858.663.9055
  • SeparatorEmail: info@nsjbio.com
  • Tel: 858.663.9055
  • Email: info@nsjbio.com
Home >> Antibodies >> PDK2 Antibody / Pyruvate dehydrogenase kinase 2

PDK2 Antibody / Pyruvate dehydrogenase kinase 2 (R31101)

  Catalog No Formulation Size Price (USD)  
Image R31101 0.5mg/ml if reconstituted with 0.2ml sterile DI water 100 ug 449
Bulk quote request
Immunofluorescent staining of FFPE human A549 cells with PDK2 antibody (green) and DAPI nuclear stain (blue). HIER: steam section in pH6 citrate buffer for 20 min.
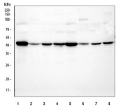
Western blot testing 1) rat heart, 2) rat brain, 3) rat skeletal muscle, 4) rat kidney, 5) mouse heart, 6) mouse brain, 7) mouse skeletal muscle and 8) mouse kidney tissue lysate with PDK2 antibody. Predicted molecular weight ~46 kDa.
Immunoprecipitation of PDK2 protein from 500ug of human Jurkat whole cell lysate with 2ug of PDK2 antibody.
Flow cytometry testing of fixed and permeabilized human PC-3 cells with PDK2 antibody at 1ug/million cells (blocked with goat sera); Red=cells alone, Green=isotype control, Blue= PDK2 antibody.
Availability 1-3 business days
Species Reactivity Human, Mouse, Rat
Format Antigen affinity purified
Host Rabbit
Clonality Polyclonal (rabbit origin)
Isotype Rabbit IgG
Purity Antigen affinity
Buffer Lyophilized from 1X PBS with 2% Trehalose
UniProt Q15119
Localization Cytoplasm (Mitochondria)
Applications Western Blot : 0.5-1ug/ml
Immunofluorescence : 5ug/ml
Immunoprecipitation : 2ug/500ug of lysate
Flow Cytometry : 1-3ug/million cells
Limitations This PDK2 antibody is available for research use only.
Review this product on BioCompare and get a $20 Amazon gift card

Related Products

Description

Pyruvate dehydrogenase kinase isoenzyme 2, is an enzyme that in humans is encoded by the PDK2 gene. To find human PDKs, Gudi et al.(1995) used oligonucleotide primers to screen a human liver cDNA library by PCR. The human PDK2 gene encodes a protein with a predicted molecular mass of 46,181 Da that shares 96% identity with that of the rat gene. Northern blot analysis showed that the PDK2 message was found in many tissues, with the highest level in heart and skeletal muscle, intermediate levels in brain, kidney, pancreas and liver, and low levels in placenta and lung.

Application Notes

The stated application concentrations are suggested starting amounts. Titration of the PDK2 antibody may be required due to differences in protocols and secondary/substrate sensitivity.

Immunogen

An amino acid sequence from the C-terminus of human PDK2 (WRHYQTIQEAGDWC) was used as the immunogen for this PDK2 antibody (100% homologous in human, mouse and rat).

Storage

After reconstitution, the PDK2 antibody can be stored for up to one month at 4oC. For long-term, aliquot and store at -20oC. Avoid repeated freezing and thawing.

Cross
Bulk Quote Request Form
Name*:
Organization*:
Email*:
Phone Number*:
Catalog No.*:
Comments and Specifics(amount, formulation, etc.)*:
Validation code: Captchapackage Image


Can't read the image? click here to refresh.
    *required field

Your bulk quote request has been submitted successfully!

Please contact us if you have any questions.