• Tel: 858.663.9055
  • SeparatorEmail: info@nsjbio.com
  • Tel: 858.663.9055
  • Email: info@nsjbio.com
Home >> Antibodies >> PDIA4 Antibody / Protein disulfide-isomerase A4 / ERp72

PDIA4 Antibody / Protein disulfide-isomerase A4 / ERp72 [clone 32P79] (FY13237)

  Catalog No Formulation Size Price (USD)  
Image FY13237 Rabbit IgG in phosphate buffered saline, pH 7.4, 150mM NaCl, 0.02% sodium azide and 50% glycerol, 0.4-0.5mg/ml BSA 100 ul 449
Microvalidated Recrabbitmono
Bulk quote request
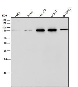
Western blot testing of human samples using the PDIA4 antibody at 1:1000 dilution for 1 hour at room temperature. Predicted molecular weight ~73 kDa.
Availability 2-3 weeks
Species Reactivity Human
Format Liquid
Host Rabbit
Clonality Recombinant Rabbit Monoclonal
Isotype Rabbit IgG
Clone Name 32P79
Purity Affinity chromatography
Buffer Rabbit IgG in phosphate buffered saline, pH 7.4, 150mM NaCl, 0.02% sodium azide and 50% glycerol, 0.4-0.5mg/ml BSA.
UniProt P13667
Applications Western Blot : 1:500-1:2000
Immunohistochemistry : 1:50-1:200
Limitations This PDIA4 antibody is available for research use only.
Review this product on BioCompare and get a $20 Amazon gift card

Related Products

Description

PDIA4 antibody detects Protein disulfide-isomerase A4, also known as ERp72, encoded by the PDIA4 gene. Protein disulfide-isomerase A4 is an endoplasmic reticulum resident enzyme that catalyzes the formation, isomerization, and reduction of disulfide bonds in nascent proteins. PDIA4 antibody provides researchers with a robust reagent to study protein folding, quality control, and endoplasmic reticulum function.

Protein disulfide-isomerase A4 is a member of the protein disulfide-isomerase family, characterized by thioredoxin-like domains that mediate redox reactions. Research using PDIA4 antibody has shown that ERp72 interacts with a wide range of substrates, ensuring correct disulfide bond formation during protein maturation. This activity contributes to protein stability and function, making PDIA4 essential for secretory pathway homeostasis.

PDIA4 also plays a role in the unfolded protein response. Studies with PDIA4 antibody have demonstrated that its expression increases during endoplasmic reticulum stress, reflecting a need for enhanced protein folding capacity. By assisting in protein quality control, PDIA4 protects cells from accumulation of misfolded proteins and prevents activation of apoptosis pathways triggered by unresolved stress.

Beyond folding, Protein disulfide-isomerase A4 has been linked to calcium homeostasis and chaperone activity. Research using PDIA4 antibody has suggested that ERp72 participates in calcium binding and contributes to regulation of calcium dependent processes in the endoplasmic reticulum. These functions underscore the multifunctional nature of PDIA4 in cellular physiology.

Dysregulation of PDIA4 is associated with disease. Elevated expression has been observed in cancers, where increased folding capacity supports tumor cell survival under stress. Conversely, mutations or impaired function may contribute to protein misfolding disorders. Research using PDIA4 antibody has revealed roles in neurodegeneration, diabetes, and cardiovascular disease, reflecting its broad importance across pathologies.

PDIA4 antibody is widely used in western blotting, immunohistochemistry, and immunofluorescence. Western blotting detects ER localized PDIA4, immunohistochemistry highlights expression in secretory tissues, and immunofluorescence reveals endoplasmic reticulum distribution. These applications make PDIA4 antibody a valuable tool in cell biology and disease research.

By supplying validated PDIA4 antibody reagents, NSJ Bioreagents supports research into protein folding, quality control, and disease mechanisms. Detection of Protein disulfide-isomerase A4 provides insight into how protein maturation in the endoplasmic reticulum influences cellular health.

Application Notes

Optimal dilution of the PDIA4 antibody should be determined by the researcher.

Immunogen

A synthesized peptide derived from human ERp72 was used as the immunogen for the PDIA4 antibody.

Storage

Store the PDIA4 antibody at -20oC.

Cross
Bulk Quote Request Form
Name*:
Organization*:
Email*:
Phone Number*:
Catalog No.*:
Comments and Specifics(amount, formulation, etc.)*:
Validation code: Captchapackage Image


Can't read the image? click here to refresh.
    *required field

Your bulk quote request has been submitted successfully!

Please contact us if you have any questions.