• Tel: 858.663.9055
  • SeparatorEmail: info@nsjbio.com
  • Tel: 858.663.9055
  • Email: info@nsjbio.com
Home >> Antibodies >> PDIA4 Antibody / ERp72

PDIA4 Antibody / ERp72 (RQ7380)

  Catalog No Formulation Size Price (USD)  
Image RQ7380 0.5mg/ml if reconstituted with 0.2ml sterile DI water 100 ug 449
Bulk quote request
Flow cytometry testing of human HeLa cells with PDIA4 antibody at 1ug/million cells (blocked with goat sera); Red=cells alone, Green=isotype control, Blue= PDIA4 antibody.
Flow cytometry testing of human ThP-1 cells with PDIA4 antibody at 1ug/million cells (blocked with goat sera); Red=cells alone, Green=isotype control, Blue= PDIA4 antibody.
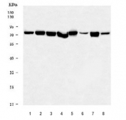
Western blot testing of 1) human HeLa, 2) human MCF7, 3) human HepG2, 4) human PANC-1, 5) rat liver, 6) rat brain, 7) mouse liver and 8) mouse brain tissue lysate with PDIA4 antibody. Predicted molecular weight ~73 kDa.
Availability 1-3 business days
Species Reactivity Human, Mouse, Rat
Format Antigen affinity purified
Host Rabbit
Clonality Polyclonal (rabbit origin)
Isotype Rabbit IgG
Purity Antigen affinity purified
Buffer Lyophilized from 1X PBS with 2% Trehalose
UniProt P13667
Applications Western Blot : 0.5-1ug/ml
Flow Cytometry : 1-3ug/million cells
Direct ELISA : 0.1-0.5ug/ml
Limitations This PDIA4 antibody is available for research use only.
Review this product on BioCompare and get a $20 Amazon gift card

Related Products

Description

This gene encodes 'Protein disulfide-isomerase A4', a member of the disulfide isomerase (PDI) family of endoplasmic reticulum (ER) proteins that catalyze protein folding and thiol-disulfide interchange reactions. The encoded protein has an N-terminal ER-signal sequence, three catalytically active thioredoxin (TRX) domains, two TRX-like domains and a C-terminal ER-retention sequence. This protein, when bound to cyclophilin B, enhances the rate of immunoglobulin G intermolecular disulfide bonding and antibody assembly.

Application Notes

Optimal dilution of the PDIA4 antibody should be determined by the researcher.

Immunogen

Recombinant human protein (amino acids K59-K544) was used as the immunogen for the PDIA4 antibody.

Storage

After reconstitution, the PDIA4 antibody can be stored for up to one month at 4oC. For long-term, aliquot and store at -20oC. Avoid repeated freezing and thawing.

Cross
Bulk Quote Request Form
Name*:
Organization*:
Email*:
Phone Number*:
Catalog No.*:
Comments and Specifics(amount, formulation, etc.)*:
Validation code: Captchapackage Image


Can't read the image? click here to refresh.
    *required field

Your bulk quote request has been submitted successfully!

Please contact us if you have any questions.