• Tel: 858.663.9055
  • SeparatorEmail: info@nsjbio.com
  • Tel: 858.663.9055
  • Email: info@nsjbio.com
Home >> Antibodies >> PDGFRB Antibody

PDGFRB Antibody (F50660)

  Catalog No Formulation Size Price (USD)  
Image F50660-0.4ML In 1X PBS, pH 7.4, with 0.09% sodium azide 0.4 ml 439
Image
F50660-0.08ML In 1X PBS, pH 7.4, with 0.09% sodium azide 0.08 ml 205
Bulk quote request
Confocal immunofluorescent analysis of PDGFRB antibody with WiDr cells followed by Alexa Fluor 488-conjugated goat anti-rabbit lgG (green). DAPI was used as a nuclear counterstain (blue).
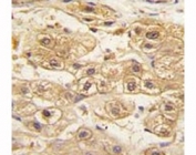
IHC analysis of FFPE human hepatocarcinoma tissue stained with PDGFRB antibody
Availability Backordered; estimated date of availability: December 2020
Species Reactivity Human
Format Purified
Host Rabbit
Clonality Polyclonal (rabbit origin)
Isotype Rabbit Ig
Purity Purified
UniProt P09619
Applications IHC (Paraffin) : 1:10-1:50
Immunofluorescence : 1:10-1:50
Limitations This PDGFRB antibody is available for research use only.
Review this product on BioCompare and get a $20 Amazon gift card

Related Products

Description

PDGFRB is a cell surface tyrosine kinase receptor for members of the platelet-derived growth factor family. These growth factors are mitogens for cells of mesenchymal origin. The identity of the growth factor bound to a receptor monomer determines whether the functional receptor is a homodimer or a heterodimer, composed of both platelet-derived growth factor receptor alpha and beta polypeptides.

Application Notes

Titration of the PDGFRB antibody may be required due to differences in protocols and secondary/substrate sensitivity.

Immunogen

This PDGFRB antibody was produced from rabbits immunized with human recombinant PDGFRB protein.

Storage

Aliquot the PDGFRB antibody and store frozen at -20oC or colder. Avoid repeated freeze-thaw cycles.

Cross
Bulk Quote Request Form
Name*:
Organization*:
Email*:
Phone Number*:
Catalog No.*:
Comments and Specifics(amount, formulation, etc.)*:
Validation code: Captchapackage Image


Can't read the image? click here to refresh.
    *required field

Your bulk quote request has been submitted successfully!

Please contact us if you have any questions.