• Tel: 858.663.9055
  • SeparatorEmail: info@nsjbio.com
  • Tel: 858.663.9055
  • Email: info@nsjbio.com
Home >> Antibodies >> Pdgfd Antibody / Platelet-derived growth factor D

Pdgfd Antibody / Platelet-derived growth factor D (F54847)

  Catalog No Formulation Size Price (USD)  
Image F54847-0.4ML In 1X PBS, pH 7.4, with 0.09% sodium azide 0.4 ml 439
Image
F54847-0.08ML In 1X PBS, pH 7.4, with 0.09% sodium azide 0.08 ml 205
Bulk quote request
Western blot testing of rat kidney tissue lysate with Pdgfd antibody. Predicted molecular weight ~43 kDa.
Western blot testing of mouse liver tissue lysate with Pdgfd antibody. Predicted molecular weight ~43 kDa.
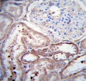
IHC testing of FFPE human kidney tissue with Pdgfd antibody. HIER: steam section in pH6 citrate buffer for 20 min and allow to cool prior to staining.
Availability 1-3 business days
Species Reactivity Human, Mouse, Rat
Format Purified
Host Rabbit
Clonality Polyclonal (rabbit origin)
Isotype Rabbit Ig
Purity Antigen affinity purified
UniProt Q9EQT1
Applications Western Blot : 1:500-1:1000
Immunohistochemistry (FFPE) : 1:10-1:50
Limitations This Pdgfd antibody is available for research use only.
Review this product on BioCompare and get a $20 Amazon gift card

Related Products

Description

PDGFD antibody targets Platelet-derived growth factor D (PDGF-D), encoded by the PDGFD gene. Platelet-derived growth factor D is a secreted, extracellular signaling protein in the platelet-derived growth factor family that helps coordinate communication between epithelial, stromal, and vascular cells. As a growth factor ligand, PDGF-D is produced as a latent precursor that can be proteolytically processed in the extracellular environment, supporting regulated activation in tissue microenvironments.

Functionally, Platelet-derived growth factor D promotes signaling through PDGF receptor pathways, with downstream effects that can include MAPK and PI3K-AKT network activation depending on cell type and receptor context. These signals are commonly tied to cell proliferation, migration, and survival programs, making PDGF-D relevant for studies of tissue remodeling and stromal-vascular crosstalk. A PDGFD antibody supports research focused on growth factor biology, receptor-ligand signaling, and extracellular regulation of paracrine pathways.

PDGF-D expression is often discussed in the context of stromal cells, smooth muscle-like populations, fibroblasts, and tumor associated microenvironments, where PDGF family signaling can shape matrix remodeling and vascular support. Because PDGF-D is secreted, it may be detected in pericellular spaces, extracellular matrix associated compartments, or conditioned media depending on experimental design. The spatial distribution of PDGF-D can reflect both where it is produced and where it is activated by local protease activity.

From a disease relevance perspective, Platelet-derived growth factor D has been investigated in fibrosis and cancer biology, where dysregulated growth factor signaling can contribute to aberrant stromal activation, angiogenic support, and progressive tissue remodeling. In these settings, PDGF-D can be studied as part of broader PDGF axis activity that influences fibroblast behavior, vascular stability, and epithelial-stromal interactions. This makes PDGF-D a useful target for pathway level studies that link extracellular ligands to receptor driven remodeling phenotypes.

At the molecular level, Platelet-derived growth factor D contains conserved PDGF family features and a regulatory propeptide that helps control ligand activity until processing occurs. Experimental readouts may vary with sample preparation, extracellular processing state, and the balance of latent versus activated forms in a given system. PDGFD antibody reagents support studies of PDGF axis signaling and extracellular ligand biology, with NSJ Bioreagents providing reagents intended for research use.

Application Notes

The stated application concentrations are suggested starting points. Titration of the Pdgfd antibody may be required due to differences in protocols and secondary/substrate sensitivity.

Immunogen

A portion of amino acids 313-341 from the rat protein was used as the immunogen for the Pdgfd antibody.

Storage

Aliquot the Pdgfd antibody and store frozen at -20oC or colder. Avoid repeated freeze-thaw cycles.

Cross
Bulk Quote Request Form
Name*:
Organization*:
Email*:
Phone Number*:
Catalog No.*:
Comments and Specifics(amount, formulation, etc.)*:
Validation code: Captchapackage Image


Can't read the image? click here to refresh.
    *required field

Your bulk quote request has been submitted successfully!

Please contact us if you have any questions.