• Tel: 858.663.9055
  • SeparatorEmail: info@nsjbio.com
  • Tel: 858.663.9055
  • Email: info@nsjbio.com
Home >> Antibodies >> PDGFB Antibody / Platelet derived growth factor subunit B

PDGFB Antibody / Platelet derived growth factor subunit B [clone 31P34] (FY13170)

  Catalog No Formulation Size Price (USD)  
Image FY13170 Rabbit IgG in phosphate buffered saline, pH 7.4, 150mM NaCl, 0.02% sodium azide and 50% glycerol, 0.4-0.5mg/ml BSA 100 ul 449
Microvalidated Recrabbitmono
Bulk quote request
Western blot testing of human samples using the PDGFB antibody at 1:3000 dilution for 1 hour at room temperature. Predicted molecular weight ~27 kDa. Light dimer banding may be observed at 40-50 kDa and multimers at 90-100 kDa.
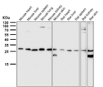
Western blot testing of mouse and rat samples using the PDGFB antibody at 1:3000 dilution for 1 hour at room temperature. Predicted molecular weight ~27 kDa. Light dimer banding may be observed at 40-50 kDa and multimers at 90-100 kDa.
Western blot testing of mouse and rat samples using the PDGFB antibody at 1:3000 dilution for 1 hour at room temperature. Predicted molecular weight ~27 kDa. Light dimer banding may be observed at 40-50 kDa and multimers at 90-100 kDa.
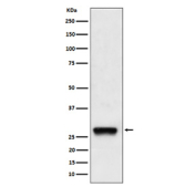
Western blot analysis of PDGF B expression in human A375 cell lysate using PDGFB antibody. Predicted molecular weight ~27 kDa. Light dimer banding may be observed at 40-50 kDa and multimers at 90-100 kDa.
Availability 2-3 weeks
Species Reactivity Human, Mouse, Rat
Format Liquid
Host Rabbit
Clonality Recombinant Rabbit Monoclonal
Isotype Rabbit IgG
Clone Name 31P34
Purity Affinity chromatography
Buffer Rabbit IgG in phosphate buffered saline, pH 7.4, 150mM NaCl, 0.02% sodium azide and 50% glycerol, 0.4-0.5mg/ml BSA.
UniProt P01127
Applications Western Blot : 1:500-1:2000
Limitations This PDGFB antibody is available for research use only.
Review this product on BioCompare and get a $20 Amazon gift card

Related Products

Description

PDGFB antibody detects Platelet derived growth factor subunit B, encoded by the PDGFB gene. Platelet derived growth factor subunit B is a growth factor that dimerizes to form homodimers or heterodimers with the PDGFA subunit, creating PDGF-BB or PDGF-AB ligands. These ligands bind to platelet derived growth factor receptors, initiating signaling cascades that control proliferation, survival, and migration of mesenchymal cells. PDGFB antibody provides researchers with a specific reagent to study angiogenesis, wound healing, and cancer biology.

Platelet derived growth factor subunit B is secreted as part of a larger precursor protein that undergoes proteolytic processing to yield the mature growth factor. Research using PDGFB antibody has demonstrated that PDGF-BB is a potent mitogen for fibroblasts, vascular smooth muscle cells, and pericytes. Its signaling regulates blood vessel development and maintenance, making it essential for embryonic angiogenesis and adult vascular remodeling. Knockout models lacking PDGFB develop severe vascular abnormalities, underscoring its importance in development.

Aberrant expression of Platelet derived growth factor subunit B has been linked to a wide range of diseases. Studies with PDGFB antibody have shown that overexpression promotes tumor growth and angiogenesis by stimulating stromal proliferation and vascular recruitment. In fibrotic disease, excess PDGFB drives fibroblast activation and extracellular matrix deposition. Conversely, deficiency in PDGFB signaling results in defective pericyte recruitment and fragile vasculature. These findings demonstrate its critical role in tissue integrity and pathology.

PDGFB also contributes to neurobiology. Research using PDGFB antibody has revealed that the protein supports neural progenitor proliferation and protects neurons from injury through trophic signaling. Dysregulation has been associated with neurodegenerative conditions and gliomas. Because of its diverse functions across tissues, Platelet derived growth factor subunit B remains an important therapeutic target.

PDGFB antibody is widely applied in western blotting, immunohistochemistry, and ELISA. Western blotting detects mature and precursor forms, immunohistochemistry highlights expression in vasculature and tumors, and ELISA quantifies secreted PDGFB in biological fluids. These applications make PDGFB antibody valuable in both basic and translational research.

By supplying validated PDGFB antibody reagents, NSJ Bioreagents supports studies into growth factor biology, angiogenesis, and cancer. Detection of Platelet derived growth factor subunit B allows researchers to examine how growth factor signaling regulates development, disease, and repair.

Application Notes

Optimal dilution of the PDGFB antibody should be determined by the researcher.

Immunogen

A synthesized peptide derived from human PDGF B was used as the immunogen for the PDGFB antibody.

Storage

Store the PDGFB antibody at -20oC.

Cross
Bulk Quote Request Form
Name*:
Organization*:
Email*:
Phone Number*:
Catalog No.*:
Comments and Specifics(amount, formulation, etc.)*:
Validation code: Captchapackage Image


Can't read the image? click here to refresh.
    *required field

Your bulk quote request has been submitted successfully!

Please contact us if you have any questions.