• Tel: 858.663.9055
  • SeparatorEmail: info@nsjbio.com
  • Tel: 858.663.9055
  • Email: info@nsjbio.com
Home >> Antibodies >> PDE12 Antibody / Mitochondrial deadenylase / 2',5'-phosphodiesterase 12

PDE12 Antibody / Mitochondrial deadenylase / 2',5'-phosphodiesterase 12 (RQ8760)

  Catalog No Formulation Size Price (USD)  
Image RQ8760 0.5mg/ml if reconstituted with 0.2ml sterile DI water 100 ug 449
Bulk quote request
Western blot testing of 1) rat brain, 2) rat thymus, 3) rat PC-12, 4) mouse brain, 5) mouse thymus and 6) mouse NIH 3T3 cell with PDE12 antibody. Predicted molecular weight ~67 kDa.
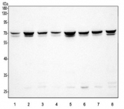
Western blot testing of human 1) ThP-1, 2) PC-3, 3) RT4, 4) U-251, 5) Caco-2, 6) HepG2, 7) HeLa and 8) HEL cell with PDE12 antibody. Predicted molecular weight ~67 kDa and ~59 kDa (two isoforms).
Flow cytometry testing of fixed and permeabilized human Caco-2 cells with PDE12 antibody at 1ug/million cells (blocked with goat sera); Red=cells alone, Green=isotype control, Blue= PDE12 antibody.
Availability 1-3 days
Species Reactivity Human, Mouse, Rat
Format Antigen affinity purified
Host Rabbit
Clonality Polyclonal (rabbit origin)
Isotype Rabbit IgG
Purity Antigen affinity chromatography
Buffer Lyophilized from 1X PBS with 2% Trehalose
UniProt Q6L8Q7
Applications Western Blot : 1-2ug/ml
Flow Cytometry : 1-3ug/million cells
ELISA : 0.1-0.5ug/ml
Limitations This PDE12 antibody is available for research use only.
Review this product on BioCompare and get a $20 Amazon gift card

Description

PDE12 is an enzyme that cleaves 2',5'-phosphodiester bond linking adenosines of the 5'-triphosphorylated oligoadenylates, triphosphorylated oligoadenylates referred as 2-5A modulates the 2-5A system. This enzyme degraded triphosphorylated 2-5A to produce AMP and ATP. It also cleaves 3',5'-phosphodiester bond of oligoadenylates and plays a role as a negative regulator of the The 2-5A system that is one of the major pathways for antiviral and antitumor functions induced by interferons (IFNs). Suppression of this enzyme induces reduction of viral replication in Hela cells, thus counteracting the antiviral pathway probably by inhibiting the 2-5A system.

Application Notes

Optimal dilution of the PDE12 antibody should be determined by the researcher.

Immunogen

An E.coli-derived human recombinant protein (amino acids E36-K607) was used as the immunogen for the PDE12 antibody.

Storage

After reconstitution, the PDE12 antibody can be stored for up to one month at 4oC. For long-term, aliquot and store at -20oC. Avoid repeated freezing and thawing.

Cross
Bulk Quote Request Form
Name*:
Organization*:
Email*:
Phone Number*:
Catalog No.*:
Comments and Specifics(amount, formulation, etc.)*:
Validation code: Captchapackage Image


Can't read the image? click here to refresh.
    *required field

Your bulk quote request has been submitted successfully!

Please contact us if you have any questions.