• Tel: 858.663.9055
  • SeparatorEmail: info@nsjbio.com
  • Tel: 858.663.9055
  • Email: info@nsjbio.com
Home >> Antibodies >> PD-L1 Biotinylated Antibody / CD274 Detection Antibody

PD-L1 Biotinylated Antibody / CD274 Detection Antibody [clone PDL1/2746] (V3955BTN)

  Catalog No Formulation Size Price (USD)  
Image V3955BTN 0.1 mg/ml with 0.1 mg/ml BSA (US sourced), 0.05% sodium azide 500 ul 559
Microvalidated
Bulk quote request
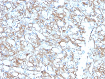
PD-L1 Biotinylated Antibody Lung Carcinoma IHC. Immunohistochemistry analysis of PD-L1 (CD274) expression in FFPE human lung carcinoma using biotin-conjugated clone PDL1/2746. The antibody demonstrates membranous HRP-DAB brown staining in tumor epithelial cells with additional signal in tumor-associated immune cells, consistent with immune checkpoint activity within the tumor microenvironment. Biotin-streptavidin amplification enhances detection of both strong and lower-level PD-L1 expression, supporting improved visualization of heterogeneous staining across tumor regions. Heat-induced epitope retrieval was performed using pH 9 Tris-EDTA buffer.
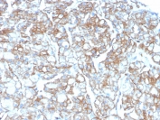
PD-L1 Biotinylated Antibody Lung Carcinoma Tissue IHC. Immunohistochemistry analysis of PD-L1 (CD274) expression in FFPE human lung carcinoma using biotin-conjugated clone PDL1/2746. The antibody demonstrates strong membranous HRP-DAB brown staining in tumor cells with additional labeling of tumor-associated immune cells, consistent with checkpoint-related expression in the tumor microenvironment. Biotin-based detection supports enhanced signal intensity and improved sensitivity, enabling clear visualization of both high and moderate PD-L1 expression across tumor regions. Heat-induced epitope retrieval was performed using pH 9 Tris-EDTA buffer.
Analysis of HuProt(TM) microarray containing more than 19,000 full-length human proteins using PD-L1 antibody (clone PDL1/2746). These results demonstrate the foremost specificity of the PDL1/2746 mAb. Z- and S- score: The Z-score represents the strength of a signal that an antibody (in combination with a fluorescently-tagged anti-IgG secondary Ab) produces when binding to a particular protein on the HuProt(TM) array. Z-scores are described in units of standard deviations (SD's) above the mean value of all signals generated on that array. If the targets on the HuProt(TM) are arranged in descending order of the Z-score, the S-score is the difference (also in units of SD's) between the Z-scores. The S-score therefore represents the relative target specificity of an Ab to its intended target.
SDS-PAGE analysis of purified, BSA-free PD-L1 antibody (clone PDL1/2746) as confirmation of integrity and purity.
Availability 1-3 business days
Species Reactivity Human
Format Biotin Conjugate
Host Mouse
Clonality Monoclonal (mouse origin)
Isotype Mouse IgG2b, kappa
Clone Name PDL1/2746
Purity Protein G affinity chromatography
UniProt Q9NZQ7
Localization Cell surface, cytoplasmic
Applications Flow Cytometry : 1-2ug/million cells
Immunofluorescence : 1-2ug/ml
Western Blot : 1-2ug/ml
Immunohistochemistry (FFPE) : 1-2ug/ml at RT
Limitations This PD-L1 Biotinylated Antibody / CD274 Detection Antibody is available for research use only.
Review this product on BioCompare and get a $20 Amazon gift card

Related Products

Description

Programmed death-ligand 1 (CD274), commonly known as PD-L1, is a cell surface immune checkpoint protein that regulates T cell activation through interaction with PD-1 and contributes to immune evasion in cancer. PD-L1 Biotinylated Antibody / CD274 Detection Antibody is designed for sensitive detection of PD-L1 expression in applications where signal amplification and flexible detection strategies are required. Its use in biotin-streptavidin systems enables enhanced signal intensity and adaptable assay design across multiple experimental formats.

PD-L1 antibody, also referred to as CD274 antibody or B7-H1 antibody, enables detection of PD-L1 across tumor cells and immune cell populations including macrophages, dendritic cells, and activated lymphocytes. The biotinylated format allows indirect detection through streptavidin-conjugated reporters, supporting increased sensitivity compared to directly labeled antibodies. This is particularly advantageous in tissue-based assays and low-abundance target detection, where signal amplification improves visualization of PD-L1 expression.

Biotin-streptavidin detection systems provide substantial versatility, allowing the same primary antibody to be paired with different enzymatic or fluorescent reporters depending on experimental requirements. This flexibility supports optimization of detection conditions, adjustment of signal intensity, and compatibility with diverse assay platforms including immunohistochemistry and multiplex detection workflows. The amplified signal generated through this system enhances contrast between positive and negative populations, facilitating clearer interpretation of staining patterns.

Within tissue environments, PD-L1 expression is often heterogeneous and can be localized to tumor cells as well as tumor-associated immune infiltrates. Amplified detection using a biotinylated antibody supports visualization of both strong and low-level expression across these compartments, enabling more comprehensive assessment of immune checkpoint distribution and tumor-immune interactions.

This clone is supported by protein microarray specificity validation using a HuProt(TM) platform containing more than 19,000 full-length human proteins. Clone PDL1/2746 demonstrates highly selective binding to PD-L1 with strong signal dominance and minimal cross-reactivity. This high specificity is especially important in amplified detection systems, where non-specific binding could otherwise be enhanced alongside true signal.

PD-L1 is a type I transmembrane protein belonging to the B7 family and is primarily localized to the cell surface, with additional intracellular pools reflecting protein synthesis and turnover. Its expression is dynamically regulated by inflammatory cytokines such as interferon-gamma, contributing to variable expression patterns across tissues and experimental conditions.

Overall, PD-L1 Biotinylated Antibody enables sensitive, amplified detection of CD274 expression with flexible assay compatibility and high specificity. Its performance supports detailed analysis of immune checkpoint expression, tumor microenvironment interactions, and low-abundance PD-L1 detection in research applications.

This PD-L1 antibody is part of a broader PD-L1 antibody panel offered by NSJ Bioreagents.

Application Notes

Optimal dilution of the PD-L1 Biotinylated Antibody / CD274 Detection Antibody should be determined by the researcher.

Immunogen

A portion of amino acids 39-191 from the human protein was used as the immunogen for the PD-L1 antibody.

Storage

Store the PD-L1 antibody at 2-8oC (up to one month) or aliquot and store at -20oC (longer term).

Alternate Names

CD274 antibody, PD-L1 antibody, B7-H1 antibody, Programmed death-ligand 1 antibody, PDCD1 ligand antibody

Cross
Bulk Quote Request Form
Name*:
Organization*:
Email*:
Phone Number*:
Catalog No.*:
Comments and Specifics(amount, formulation, etc.)*:
Validation code: Captchapackage Image


Can't read the image? click here to refresh.
    *required field

Your bulk quote request has been submitted successfully!

Please contact us if you have any questions.