• Tel: 858.663.9055
  • SeparatorEmail: info@nsjbio.com
  • Tel: 858.663.9055
  • Email: info@nsjbio.com
Home >> Antibodies >> PCYT2 Antibody / Ethanolamine-phosphate cytidylyltransferase

PCYT2 Antibody / Ethanolamine-phosphate cytidylyltransferase (FY12495)

  Catalog No Formulation Size Price (USD)  
Image FY12495 Adding 0.2 ml of distilled water will yield a concentration of 500 ug/ml 100 ug 449
Bulk quote request
Immunofluorescent staining of PCYT2 using anti-PCYT2 antibody (green) and anti-Beta Tubulin antibody (red). PCYT2 was detected in an immunocytochemical section of HepG2 cells. Enzyme antigen retrieval was performed using IHC enzyme antigen retrieval reagent for 15 mins. The cells were blocked with 10% goat serum. And then incubated with 5 ug/ml rabbit anti-Histone H4 antibody and mouse anti-PCYT2 antibody overnight at 4oC. DyLight 488 Conjugated Goat Anti-Rabbit IgG and Cy3 Conjugated Goat Anti-Mouse IgG were used as secondary antibody at 1:500 dilution and incubated for 30 minutes at 37oC. Visualize using a fluorescence microscope and filter sets appropriate for the label used.
Western blot analysis of PCYT2 using anti-PCYT2 antibody. Electrophoresis was performed on a 10% SDS-PAGE gel at 80V (Stacking gel) / 120V (Resolving gel) for 2 hours. Lane 1: human HepG2 whole cell lysates, Lane 2: human RT4 whole cell lysates, Lane 3: human Caco-2 whole cell lysates, Lane 4: human K562 whole cell lysates, Lane 5: rat liver tissue lysates, Lane 6: rat RH35 whole cell lysates, Lane 7: mouse liver tissue lysates, Lane 8: mouse HEPA1-6 whole cell lysates. After electrophoresis, proteins were transferred to a nitrocellulose membrane at 150 mA for 50-90 minutes. Blocked the membrane with 5% non-fat milk/TBS for 1.5 hour at RT. The membrane was incubated with rabbit anti-PCYT2 antibody at 0.5 ug/ml overnight at 4oC, then washed with TBS-0.1%Tween 3 times with 5 minutes each and probed with a goat anti-rabbit IgG-HRP secondary antibody at a dilution of 1:5000 for 1.5 hour at RT. The signal was developed using an ECL Plus Western Blotting Substrate. The expected molecular weight of PCYT2 is ~44 kDa.
Flow Cytometry analysis of K562 cells using anti-PCYT2 antibody. Overlay histogram showing K562 cells stained with (Blue line). To facilitate intracellular staining, cells were fixed with 4% paraformaldehyde and permeabilized with permeabilization buffer. The cells were blocked with 10% normal goat serum. And then incubated with rabbit anti-PCYT2 antibody (1 ug/million cells) for 30 min at 20oC. DyLight 488 conjugated goat anti-rabbit IgG (5-10 ug/million cells) was used as secondary antibody for 30 minutes at 20oC. Isotype control antibody (Green line) was rabbit IgG (1 ug/million cells) used under the same conditions. Unlabelled sample without incubation with primary antibody and secondary antibody (Red line) was used as a blank control.
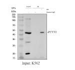
Immunoprecipitation of PCYT2 in K562 whole cell lysate. Western blot analysis of PCYT2 using anti-PCYT2 antibody; Lane 1: K562 whole cell lysates (30ug); Lane 2: Rabbit control IgG instead of anti-PCYT2 antibody in K562 whole cell lysate; Lane 3: anti-PCYT2 antibody (2ug) + K562 whole cell lysate (500ug). After electrophoresis, proteins were transferred to a membrane. Then the membrane was incubated with rabbit anti-PCYT2 antibody at a dilution of 0.5 ug/ml and probed with a goat anti-rabbit IgG-HRP secondary antibody. The signal is developed using ECL Plus Western Blotting Substrate. The expected molecular weight of PCYT2 is ~42 kDa.
Availability 1-2 days
Species Reactivity Human, Mouse, Rat
Format Lyophilized
Host Rabbit
Clonality Polyclonal (rabbit origin)
Isotype Rabbit IgG
Purity Immunogen affinity purified
Buffer Each vial contains 4 mg Trehalose, 0.9 mg NaCl, 0.2 mg Na2HPO4.
UniProt Q99447
Localization Nuclear, cytoplasmic
Applications Western Blot : 0.25-0.5ug/ml
Immunocytochemistry/Immunofluorescence : 5ug/ml
Immunoprecipitation : 2-4ug/500ug of lysate
Flow Cytometry : 1-3ug/million cells
ELISA : 0.1-0.5ug/ml
Limitations This PCYT2 antibody is available for research use only.
Review this product on BioCompare and get a $20 Amazon gift card

Description

PCYT2 antibody detects Ethanolamine-phosphate cytidylyltransferase, a key enzyme in the CDP-ethanolamine branch of the Kennedy pathway for phosphatidylethanolamine synthesis. PCYT2 catalyzes the formation of CDP-ethanolamine from CTP and phosphoethanolamine, an essential step in the biosynthesis of membrane phospholipids. The PCYT2 antibody is used in lipid metabolism, neurobiology, and mitochondrial research to study phospholipid homeostasis and membrane biogenesis.

PCYT2 is encoded by the PCYT2 gene located on human chromosome 17q25.3. The protein is approximately 43 kilodaltons and localized predominantly in the endoplasmic reticulum. It functions as a rate-limiting enzyme that determines phosphatidylethanolamine synthesis levels, thereby influencing membrane fluidity, mitochondrial morphology, and cellular signaling. PCYT2 activity is critical for maintaining the structural integrity of cell membranes and organelles, particularly in the nervous system and muscle tissue.

Using the PCYT2 antibody, researchers can identify the 43 kilodalton protein by western blot and immunofluorescence, where it shows perinuclear localization corresponding to the ER network. Genetic and biochemical studies have shown that PCYT2 deficiency results in reduced phosphatidylethanolamine production, leading to mitochondrial dysfunction, abnormal lipid droplet accumulation, and neurodevelopmental impairment. Mutations in PCYT2 cause hereditary spastic paraplegia type 82 and neuromuscular lipid metabolism disorders.

PCYT2 expression is regulated by nutritional and hormonal cues, including insulin and fatty acid levels. It interacts with lipid transfer proteins and participates in the coordination between the Kennedy pathway and mitochondrial phospholipid synthesis. NSJ Bioreagents provides a validated PCYT2 antibody supporting research into membrane biosynthesis, lipid metabolism disorders, and mitochondrial integrity.

Application Notes

Optimal dilution of the PCYT2 antibody should be determined by the researcher.

Immunogen

E.coli-derived human PCYT2 recombinant protein (Position: D32-F389) was used as the immunogen for the PCYT2 antibody.

Storage

After reconstitution, the PCYT2 antibody can be stored for up to one month at 4oC. For long-term, aliquot and store at -20oC. Avoid repeated freezing and thawing.

Cross
Bulk Quote Request Form
Name*:
Organization*:
Email*:
Phone Number*:
Catalog No.*:
Comments and Specifics(amount, formulation, etc.)*:
Validation code: Captchapackage Image


Can't read the image? click here to refresh.
    *required field

Your bulk quote request has been submitted successfully!

Please contact us if you have any questions.