• Tel: 858.663.9055
  • SeparatorEmail: info@nsjbio.com
  • Tel: 858.663.9055
  • Email: info@nsjbio.com
Home >> Antibodies >> PCYOX1 Antibody / Prenylcysteine oxidase 1

PCYOX1 Antibody / Prenylcysteine oxidase 1 (FY12898)

  Catalog No Formulation Size Price (USD)  
Image FY12898 Adding 0.2 ml of distilled water will yield a concentration of 500 ug/ml 100 ug 439
Bulk quote request
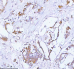
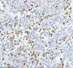
Immunohistochemical staining of PCYOX1 using anti-PCYOX1 antibody. PCYOX1 was detected in a paraffin-embedded section of human breast cancer tissue. Heat mediated antigen retrieval was performed in EDTA buffer (pH 8.0, epitope retrieval solution). The tissue section was blocked with 10% goat serum. The tissue section was then incubated with 2 ug/ml rabbit anti-PCYOX1 antibody overnight at 4oC. Peroxidase Conjugated Goat Anti-rabbit IgG was used as secondary antibody and incubated for 30 minutes at 37oC. The tissue section was developed using an HRP secondary and DAB substrate.
Western blot analysis of PCYOX1 using anti-PCYOX1 antibody. Lane 1: human HepG2 whole cell lysates, Lane 2: human Jurkat whole cell lysates, Lane 3: human SiHa whole cell lysates, Lane 5: human Caco-2 whole cell lysates. After electrophoresis, proteins were transferred to a nitrocellulose membrane at 150 mA for 50-90 minutes. Blocked the membrane with 5% non-fat milk/TBS for 1.5 hour at RT. The membrane was incubated with rabbit anti-PCYOX1 antibody at 0.5 ug/ml overnight at 4oC, then washed with TBS-0.1%Tween 3 times with 5 minutes each and probed with a goat anti-rabbit IgG-HRP secondary antibody at a dilution of 1:5000 for 1.5 hour at RT. The signal was developed using enhanced chemiluminescent. The expected molecular weight of PCYOX1 is ~57 kDa. PCYOX1 western blot across human cell lines shows strong bands in hepatocellular and epithelial lines and a weak band in Jurkat, consistent with lower expression of PCYOX1 in T-cell-derived cells.
Immunohistochemical staining of PCYOX1 using anti-PCYOX1 antibody. PCYOX1 was detected in a paraffin-embedded section of human breast cancer tissue. Heat mediated antigen retrieval was performed in EDTA buffer (pH 8.0, epitope retrieval solution). The tissue section was blocked with 10% goat serum. The tissue section was then incubated with 2 ug/ml rabbit anti-PCYOX1 antibody overnight at 4oC. Peroxidase Conjugated Goat Anti-rabbit IgG was used as secondary antibody and incubated for 30 minutes at 37oC. The tissue section was developed using an HRP secondary and DAB substrate.
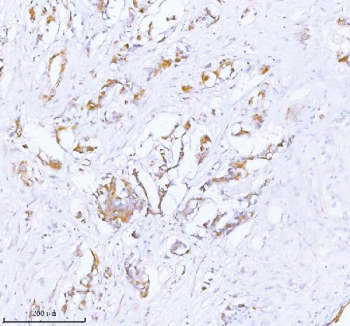
Immunohistochemical staining of PCYOX1 using anti-PCYOX1 antibody. PCYOX1 was detected in a paraffin-embedded section of human testicular seminoma tissue. Heat mediated antigen retrieval was performed in EDTA buffer (pH 8.0, epitope retrieval solution). The tissue section was blocked with 10% goat serum. The tissue section was then incubated with 2 ug/ml rabbit anti-PCYOX1 antibody overnight at 4oC. Peroxidase Conjugated Goat Anti-rabbit IgG was used as secondary antibody and incubated for 30 minutes at 37oC. The tissue section was developed using an HRP secondary and DAB substrate.
Immunohistochemical staining of PCYOX1 using anti-PCYOX1 antibody. PCYOX1 was detected in a paraffin-embedded section of human testicular seminoma tissue. Heat mediated antigen retrieval was performed in EDTA buffer (pH 8.0, epitope retrieval solution). The tissue section was blocked with 10% goat serum. The tissue section was then incubated with 2 ug/ml rabbit anti-PCYOX1 antibody overnight at 4oC. Peroxidase Conjugated Goat Anti-rabbit IgG was used as secondary antibody and incubated for 30 minutes at 37oC. The tissue section was developed using an HRP secondary and DAB substrate.
Flow Cytometry analysis of SiHa cells using anti-PCYOX1 antibody. Overlay histogram showing SiHa cells stained with (Blue line). To facilitate intracellular staining, cells were fixed with 4% paraformaldehyde and permeabilized with permeabilization buffer. The cells were blocked with 10% normal goat serum. And then incubated with rabbit anti-PCYOX1 antibody (1 ug/million cells) for 30 min at 20oC. DyLight 488 conjugated goat anti-rabbit IgG (5-10 ug/million cells) was used as secondary antibody for 30 minutes at 20oC. Isotype control antibody (Green line) was rabbit IgG (1 ug/million cells) used under the same conditions. Unlabelled sample (Red line) was also used as a control.
Availability 1-2 days
Species Reactivity Human
Format Lyophilized
Clonality Polyclonal (rabbit origin)
Isotype Rabbit IgG
Purity Immunogen affinity purified
Buffer Each vial contains 4 mg Trehalose, 0.9 mg NaCl, 0.2 mg Na2HPO4.
UniProt Q9UHG3
Localization Cytoplasm (lysosome)
Applications Western Blot : 0.25-0.5ug/ml
Immunohistochemistry : 2-5ug/ml
Flow Cytometry : 1-3ug/million cells
ELISA : 0.1-0.5ug/ml
Limitations This PCYOX1 antibody is available for research use only.
Review this product on BioCompare and get a $20 Amazon gift card

Description

PCYOX1 antibody detects Prenylcysteine oxidase 1, an enzyme that catalyzes the final step in the degradation of prenylated proteins. Encoded by the PCYOX1 gene on chromosome 2p21, this flavin-dependent oxidase converts prenylcysteine residues-generated from protein turnover-into cysteine sulfinic acid, carbon dioxide, and prenyl aldehydes. PCYOX1 thereby contributes to the detoxification and recycling of lipid-modified proteins and regulates cellular redox balance.

Structurally, PCYOX1 is a 501-amino-acid enzyme of approximately 57 kilodaltons containing a flavin adenine dinucleotide (FAD)-binding domain responsible for oxidative catalysis. It localizes to the endoplasmic reticulum and cytosol, where it associates with membranes to metabolize prenylated cysteine derivatives derived from small GTPases such as Ras and Rho. This activity maintains proper turnover of prenylated signaling proteins and limits accumulation of reactive intermediates that could disrupt cell membranes.

The PCYOX1 antibody is widely used in metabolism, enzymology, and redox biology research to study lipid modification turnover, oxidative regulation, and prenylated protein catabolism. Western blot analysis detects a 57 kilodalton band corresponding to PCYOX1, while immunofluorescence shows cytosolic and reticular staining in metabolically active tissues such as liver and kidney. This antibody provides a reliable tool for assessing enzyme function in lipid processing and oxidative homeostasis.

Functionally, PCYOX1 acts downstream of protein prenylation pathways that modify small GTPases for membrane targeting and signal transduction. By degrading prenylcysteine products, it prevents the accumulation of toxic intermediates and contributes to lipid-derived aldehyde metabolism. PCYOX1 activity is linked to oxidative stress response, with increased expression observed in conditions of lipid peroxidation and metabolic overload. Dysregulation of PCYOX1 expression has been associated with atherosclerosis and metabolic disease, implicating its role in vascular oxidative stress. The PCYOX1 antibody provides a valuable reagent for studying the interplay between protein modification, lipid metabolism, and oxidative signaling. NSJ Bioreagents validates this antibody for its applications, ensuring accurate and reproducible performance for metabolic and enzymatic research.

Application Notes

Optimal dilution of the PCYOX1 antibody should be determined by the researcher.

Immunogen

E.coli-derived human PCYOX1 recombinant protein (Position: R101-D452) was used as the immunogen for the PCYOX1 antibody.

Storage

After reconstitution, the PCYOX1 antibody can be stored for up to one month at 4oC. For long-term, aliquot and store at -20oC. Avoid repeated freezing and thawing.

Cross
Bulk Quote Request Form
Name*:
Organization*:
Email*:
Phone Number*:
Catalog No.*:
Comments and Specifics(amount, formulation, etc.)*:
Validation code: Captchapackage Image


Can't read the image? click here to refresh.
    *required field

Your bulk quote request has been submitted successfully!

Please contact us if you have any questions.