• Tel: 858.663.9055
  • SeparatorEmail: info@nsjbio.com
  • Tel: 858.663.9055
  • Email: info@nsjbio.com
Home >> Antibodies >> PCSK9 Antibody

PCSK9 Antibody (F50317)

  Catalog No Formulation Size Price (USD)  
Image F50317-0.4ML In 1X PBS, pH 7.4, with 0.09% sodium azide 0.4 ml 439
Image
F50317-0.08ML In 1X PBS, pH 7.4, with 0.09% sodium azide 0.08 ml 205
Bulk quote request
Western blot analysis of lysate from HeLa cell line using PCSK9 antibody. Predicted size: Pro/mature ~74/64 kDa
Western blot analysis of lysate from HepG2, HeLa, SW480 cell line using PCSK9 antibody. Predicted size: Pro/mature ~74/64 kDa
Western blot analysis of lysate from SW480 cell line using PCSK9 antibody. Predicted size: Pro/mature ~74/64 kDa
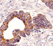
Immunohistochemical analysis of paraffin-embedded human colorectal carcinoma section using PCSK9 antibody
Flow cytometric analysis of HeLa cells using PCSK9 antibody (green) compared to an isotype control of rabbit IgG (blue); Ab was diluted at 1:25 dilution. An Alexa Fluor 488 goat anti-rabbit lgG was used as the secondary Ab.
Flow cytometric analysis of A431 cells using PCSK9 antibody (green) compared to an isotype control of rabbit IgG (blue). Ab was diluted at 1:25 dilution. An Alexa Fluor 488 goat anti-rabbit lgG was used as the secondary Ab.
Availability 1-3 business days
Species Reactivity Human
Format Antigen affinity purified
Host Rabbit
Clonality Polyclonal (rabbit origin)
Isotype Rabbit Ig
Purity Antigen affinity
UniProt Q8NBP7
Applications Flow Cytometry : 1:25
IHC (Paraffin) : 1:25
Western Blot : 1:1000
Limitations This PCSK9 antibody is available for research use only.
Review this product on BioCompare and get a $20 Amazon gift card

Related Products

  • Applications : WB, IHC-P
    Reactivity : Human
  • Applications : IHC, FACS, WB, ELISA
    Reactivity : Human
  • Applications : WB, ELISA
    Reactivity : Human
  • Applications : WB, IHC-P, ELISA (peptide)
    Reactivity : Human
  • Applications : WB (transfected), ELISA (peptide)
    Reactivity : Human
  • Applications : WB (transfected), ELISA (peptide)
    Reactivity : Human
    Pred. Reactivity : Mouse, Rat
  • Applications : WB, IHC-P, Direct ELISA
    Reactivity : Human
  • Applications : WB, Direct ELISA
    Reactivity : Mouse, Rat

Description

PCSK9 is a proprotein convertase belonging to the proteinase K subfamily of the secretory subtilase family. This protein is synthesized as a soluble zymogen that undergoes autocatalytic intramolecular processing in the endoplasmic reticulum. The protein may function as a proprotein convertase. The protein plays a role in cholesterol homeostasis and may have a role in the differentiation of cortical neurons.

Application Notes

Titration of the PCSK9 antibody may be required due to differences in protocols and secondary/substrate sensitivity.

Immunogen

A portion of amino acids 144-173 from the human protein was used as the immunogen for this PCSK9 antibody.

Storage

Aliquot the PCSK9 antibody and store frozen at -20oC or colder. Avoid repeated freeze-thaw cycles.

Cross
Bulk Quote Request Form
Name*:
Organization*:
Email*:
Phone Number*:
Catalog No.*:
Comments and Specifics(amount, formulation, etc.)*:
Validation code: Captchapackage Image


Can't read the image? click here to refresh.
    *required field

Your bulk quote request has been submitted successfully!

Please contact us if you have any questions.