• Tel: 858.663.9055
  • SeparatorEmail: info@nsjbio.com
  • Tel: 858.663.9055
  • Email: info@nsjbio.com
Home >> Antibodies >> PCMT1 Antibody / Protein-L-isoaspartate(D-aspartate) O-methyltransferase

PCMT1 Antibody / Protein-L-isoaspartate(D-aspartate) O-methyltransferase (RQ8686)

  Catalog No Formulation Size Price (USD)  
Image RQ8686 0.5mg/ml if reconstituted with 0.2ml sterile DI water 100 ug 449
Bulk quote request
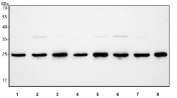
Western blot testing of 1) rat testis, 2) rat brain, 3) rat liver, 4) rat PC-12, 5) mouse testis, 6) mouse brain, 7) mouse liver and 8) mouse NIH 3T3 cell lysate with PCMT1 antibody. Predicted molecular weight ~25 kDa.
Western blot testing of human 1) HeLa, 2) Raji, 3) 293T, 4) HepG2, 5) K562, 6) MCF7, 7) Caco-2 and 8) HEL cell lysate with PCMT1 antibody. Predicted molecular weight ~25 kDa.
Immunofluorescent staining of FFPE human SiHa cells with PCMT1 antibody (green) and DAPI nuclear stain (blue). HIER: steam section in pH6 citrate buffer for 20 min.
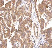
IHC staining of FFPE human thyroid papillary carcinoma tissue with PCMT1 antibody. HIER: boil tissue sections in pH8 EDTA for 20 min and allow to cool before testing.
IHC staining of FFPE human glioblastoma tissue with PCMT1 antibody. HIER: boil tissue sections in pH8 EDTA for 20 min and allow to cool before testing.
IHC staining of FFPE rat brain tissue with PCMT1 antibody. HIER: boil tissue sections in pH8 EDTA for 20 min and allow to cool before testing.
IHC staining of FFPE rat brain tissue with PCMT1 antibody. HIER: boil tissue sections in pH8 EDTA for 20 min and allow to cool before testing.
IHC staining of FFPE rat brain tissue with PCMT1 antibody. HIER: boil tissue sections in pH8 EDTA for 20 min and allow to cool before testing.
Flow cytometry testing of fixed and permeabilized human HepG2 cells with PCMT1 antibody at 1ug/million cells (blocked with goat sera); Red=cells alone, Green=isotype control, Blue= PCMT1 antibody.
Flow cytometry testing of fixed and permeabilized human K562 cells with PCMT1 antibody at 1ug/million cells (blocked with goat sera); Red=cells alone, Green=isotype control, Blue= PCMT1 antibody.
Availability 1-3 days
Species Reactivity Human, Mouse, Rat
Format Antigen affinity purified
Host Rabbit
Clonality Polyclonal (rabbit origin)
Isotype Rabbit IgG
Purity Antigen affinity chromatography
Buffer Lyophilized from 1X PBS with 2% Trehalose
UniProt P22061
Localization Cytoplasm
Applications Western Blot : 1-2ug/ml
Immunohistochemistry (FFPE) : 2-5ug/ml
Immunofluorescence : 5ug/ml
Flow Cytometry : 1-3ug/million cells
ELISA : 0.1-0.5ug/ml
Limitations This PCMT1 antibody is available for research use only.
Review this product on BioCompare and get a $20 Amazon gift card

Related Products

  • Applications : WB
    Reactivity : Human
  • Applications : WB
    Reactivity : Human, Rat
    Pred. Reactivity : Mouse, Bovine, Pig

Description

Protein-L-isoaspartate(D-aspartate) O-methyltransferase is an enzyme that in humans is encoded by the PCMT1 gene. This gene encodes a member of the type II class of protein carboxyl methyltransferase enzymes. The encoded enzyme plays a role in protein repair by recognizing and converting D-aspartyl and L-isoaspartyl residues resulting from spontaneous deamidation back to the normal L-aspartyl form. The encoded protein may play a protective role in the pathogenesis of Alzheimer's disease, and single nucleotide polymorphisms in this gene have been associated with spina bifida and premature ovarian failure. Alternatively spliced transcript variants encoding multiple isoforms have been observed for this gene.

Application Notes

Optimal dilution of the PCMT1 antibody should be determined by the researcher.

Immunogen

An E.coli-derived human recombinant protein (amino acids M1-K227) was used as the immunogen for the PCMT1 antibody.

Storage

After reconstitution, the PCMT1 Antibody can be stored for up to one month at 4oC. For long-term, aliquot and store at -20oC. Avoid repeated freezing and thawing.

Cross
Bulk Quote Request Form
Name*:
Organization*:
Email*:
Phone Number*:
Catalog No.*:
Comments and Specifics(amount, formulation, etc.)*:
Validation code: Captchapackage Image


Can't read the image? click here to refresh.
    *required field

Your bulk quote request has been submitted successfully!

Please contact us if you have any questions.