• Tel: 858.663.9055
  • SeparatorEmail: info@nsjbio.com
  • Tel: 858.663.9055
  • Email: info@nsjbio.com
Home >> Antibodies >> PCDHGA2 Antibody / Protocadherin gamma A2

PCDHGA2 Antibody / Protocadherin gamma A2 (RQ8736)

  Catalog No Formulation Size Price (USD)  
Image RQ8736 0.5mg/ml if reconstituted with 0.2ml sterile DI water 100 ug 449
Bulk quote request
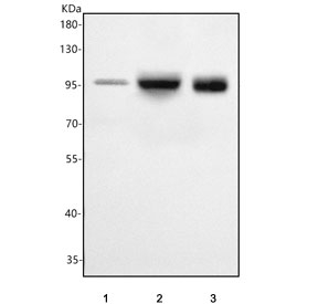
Western blot testing of 1) human MCF7, 2) human A549 and 3) mouse lung tissue lysate with PCDHGA2 antibody. Predicted molecular weight ~101 kDa and ~90 kDa (two isoforms).
Availability 1-3 days
Species Reactivity Human, Mouse
Format Antigen affinity purified
Host Rabbit
Clonality Polyclonal (rabbit origin)
Isotype Rabbit IgG
Purity Antigen affinity chromatography
Buffer Lyophilized from 1X PBS with 2% Trehalose
UniProt Q9Y5H1
Applications Western Blot : 1-2ug/ml
ELISA : 0.1-0.5ug/ml
Limitations This PCDHGA2 antibody is available for research use only.
Review this product on BioCompare and get a $20 Amazon gift card

Description

This gene is a member of the protocadherin gamma gene cluster, one of three related clusters tandemly linked on chromosome five. These gene clusters have an immunoglobulin-like organization, suggesting that a novel mechanism may be involved in their regulation and expression. The gamma gene cluster includes 22 genes divided into 3 subfamilies. Subfamily A contains 12 genes, subfamily B contains 7 genes and 2 pseudogenes, and the more distantly related subfamily C contains 3 genes. The tandem array of 22 large, variable region exons are followed by a constant region, containing 3 exons shared by all genes in the cluster. Each variable region exon encodes the extracellular region, which includes 6 cadherin ectodomains and a transmembrane region. The constant region exons encode the common cytoplasmic region. These neural cadherin-like cell adhesion proteins most likely play a critical role in the establishment and function of specific cell-cell connections in the brain. Alternative splicing has been described for the gamma cluster genes.

Application Notes

Optimal dilution of the PCDHGA2 antibody should be determined by the researcher.

Immunogen

An E.coli-derived human recombinant protein (amino acids R132-D444) was used as the immunogen for the PCDHGA2 antibody.

Storage

After reconstitution, the PCDHGA2 antibody can be stored for up to one month at 4oC. For long-term, aliquot and store at -20oC. Avoid repeated freezing and thawing.

Cross
Bulk Quote Request Form
Name*:
Organization*:
Email*:
Phone Number*:
Catalog No.*:
Comments and Specifics(amount, formulation, etc.)*:
Validation code: Captchapackage Image


Can't read the image? click here to refresh.
    *required field

Your bulk quote request has been submitted successfully!

Please contact us if you have any questions.