• Tel: 858.663.9055
  • SeparatorEmail: info@nsjbio.com
  • Tel: 858.663.9055
  • Email: info@nsjbio.com
Home >> Antibodies >> PCDHB14 Antibody / Protocadherin beta-14

PCDHB14 Antibody / Protocadherin beta-14 (RQ8866)

  Catalog No Formulation Size Price (USD)  
Image RQ8866 0.5mg/ml if reconstituted with 0.2ml sterile DI water 100 ug 449
Bulk quote request
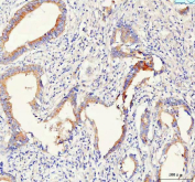
IHC staining of FFPE human ovarian cancer tissue with PCDHB14 antibody. HIER: boil tissue sections in pH8 EDTA for 20 min and allow to cool before testing.
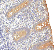
IHC staining of FFPE human appendiceal carcinoid tissue with PCDHB14 antibody. HIER: boil tissue sections in pH8 EDTA for 20 min and allow to cool before testing.
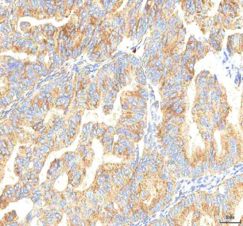
IHC staining of FFPE human colorectal adenocarcinoma tissue with PCDHB14 antibody. HIER: boil tissue sections in pH8 EDTA for 20 min and allow to cool before testing.
Western blot testing of 1) human SH-SY5Y, 2) human SiHa, 3) rat C6, 4) rat PC-12 and 5) mouse ANA-1 cell lysate with PCDHB14 antibody. Predicted molecular weight ~88 kDa but may be observed at higher molecular weights due to glycosylation.
Flow cytometry testing of fixed human SH-SY5Y cells with PCDHB14 antibody at 1ug/million cells (blocked with goat sera); Red=cells alone, Green=isotype control, Blue= PCDHB14 antibody.
Availability 1-2 days
Species Reactivity Human, Mouse, Rat
Format Antigen affinity purified
Host Rabbit
Clonality Polyclonal (rabbit origin)
Isotype Rabbit IgG
Purity Antigen affinity chromatography
Buffer Lyophilized from 1X PBS with 2% Trehalose
UniProt Q9Y5E9
Applications Western Blot : 1-2ug/ml
Immunohistochemistry (FFPE) : 2-5ug/ml
Flow Cytometry : 1-3ug/million cells
ELISA : 0.1-0.5ug/ml
Limitations This PCDHB14 antibody is available for research use only.
Review this product on BioCompare and get a $20 Amazon gift card

Description

Protocadherin beta-14 is a protein that in humans is encoded by the PCDHB14 gene. This gene is a member of the protocadherin beta gene cluster, one of three related gene clusters tandemly linked on chromosome five. The gene clusters demonstrate an unusual genomic organization similar to that of B-cell and T-cell receptor gene clusters. The beta cluster contains 16 genes and 3 pseudogenes, each encoding 6 extracellular cadherin domains and a cytoplasmic tail that deviates from others in the cadherin superfamily. The extracellular domains interact in a homophilic manner to specify differential cell-cell connections. Unlike the alpha and gamma clusters, the transcripts from these genes are made up of only one large exon, not sharing common 3' exons as expected. These neural cadherin-like cell adhesion proteins are integral plasma membrane proteins. Their specific functions are unknown but they most likely play a critical role in the establishment and function of specific cell-cell neural connections.

Application Notes

Optimal dilution of the PCDHB14 antibody should be determined by the researcher.

Immunogen

An E.coli-derived human recombinant protein (amino acids M1-D374) was used as the immunogen for the PCDHB14 antibody.

Storage

After reconstitution, the PCDHB14 antibody can be stored for up to one month at 4oC. For long-term, aliquot and store at -20oC. Avoid repeated freezing and thawing.

Cross
Bulk Quote Request Form
Name*:
Organization*:
Email*:
Phone Number*:
Catalog No.*:
Comments and Specifics(amount, formulation, etc.)*:
Validation code: Captchapackage Image


Can't read the image? click here to refresh.
    *required field

Your bulk quote request has been submitted successfully!

Please contact us if you have any questions.