• Tel: 858.663.9055
  • SeparatorEmail: info@nsjbio.com
  • Tel: 858.663.9055
  • Email: info@nsjbio.com
Home >> Antibodies >> PAX8 Antibody / Metastatic Tumor Origin Marker Antibody

PAX8 Antibody / Metastatic Tumor Origin Marker Antibody [clone PAX8/8651R] (V4910)

  Catalog No Formulation Size Price (USD)  
Image V4910-100UG 0.2 mg/ml in 1X PBS with 0.1 mg/ml BSA (US sourced), 0.05% sodium azide 100 ug 559
Image
V4910-20UG 0.2 mg/ml in 1X PBS with 0.1 mg/ml BSA (US sourced), 0.05% sodium azide 20 ug 259
Image
V4910SAF-100UG 1 mg/ml in 1X PBS; BSA free, sodium azide free 100 ug 559
Microvalidated Recrabbitmono
Bulk quote request
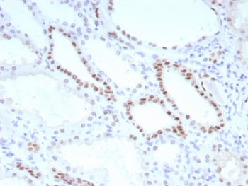
PAX8 Antibody / Metastatic Tumor Origin Marker Antibody immunohistochemistry in human kidney tissue showing nuclear HRP-DAB brown staining in renal tubular epithelial cells. Paired box protein Pax-8 (PAX8) expression is localized to nuclei of tubular epithelial cells forming nephron structures, with strong nuclear positivity and minimal staining in glomerular or stromal compartments. The staining pattern highlights lineage-specific epithelial expression that underlies the utility of PAX8 in metastatic tumor origin identification, where nuclear positivity supports renal origin. Negative cells retain hematoxylin-only nuclear staining, providing clear contrast for interpretation within preserved kidney architecture.
Availability 1-3 business days
Species Reactivity Human
Format Purified
Host Rabbit
Clonality Recombinant Rabbit Monoclonal
Isotype Rabbit IgG, kappa
Clone Name PAX8/8651R
Purity Protein A/G affinity
UniProt Q06710
Localization Nucleus
Applications Immunohistochemistry (FFPE) : 1-2ug/ml for 30 min at RT
Limitations This PAX8 antibody is available for research use only.
Review this product on BioCompare and get a $20 Amazon gift card

Related Products

Description

Paired box protein Pax-8 (PAX8) is a nuclear transcription factor encoded by the PAX8 gene that functions as a lineage-restricted regulator of epithelial identity in thyroid, renal, and Mullerian-derived tissues. Its highly selective expression pattern, combined with its persistence during tumor progression, makes it a critical marker for identifying the origin of metastatic tumors. PAX8 Antibody is uniquely positioned for metastatic tumor analysis, where determining the primary site is essential for classification and downstream decision-making.

PAX8 antibody, also known as Paired box protein Pax-8 antibody or Pax-8 transcription factor antibody, is particularly valuable in metastatic settings because its nuclear expression is often retained even after tumor cells disseminate to distant organs. This PAX8 Antibody is uniquely positioned for detecting lineage-specific transcriptional identity in secondary lesions, enabling distinction between tumors of renal, thyroid, and Mullerian origin and morphologically similar metastases from other tissues.

Functionally, PAX8 maintains transcriptional programs that define epithelial lineage and are frequently preserved in metastatic carcinoma cells. This stability provides a molecular signature that persists despite changes in tumor microenvironment, allowing accurate lineage tracing even when tumors present outside their tissue of origin. As a result, PAX8 serves as a reliable marker for linking metastatic lesions back to their primary source.

In practical applications, nuclear PAX8 positivity in metastatic tumors strongly supports origin from a limited set of tissues, while absence of staining can help exclude these lineages. This makes PAX8 particularly valuable in cases involving metastases to lymph nodes, lung, liver, or peritoneum, where multiple primary tumor types may be considered. The ability to narrow diagnostic possibilities based on a single nuclear marker significantly enhances interpretive efficiency.

The distinct nuclear localization of PAX8 allows clear identification of metastatic tumor cells within heterogeneous tissue environments. Positive staining highlights carcinoma cells while surrounding stromal or host tissue remains negative, enabling precise evaluation even in small or fragmented biopsy samples.

PAX8 Antibody therefore provides a specialized tool for metastatic tumor origin identification, with strong emphasis on lineage retention, nuclear specificity, and interpretive clarity. Its ability to link secondary tumors to their primary tissue source makes it highly valuable for studies of metastasis, tumor dissemination, and lineage tracing in oncology research.

Application Notes

Optimal dilution of the PAX8 Antibody / Metastatic Tumor Origin Marker Antibody should be determined by the researcher.

Immunogen

A recombinant partial protein sequence (within amino acids 150-300) from the human protein was used as the immunogen for the PAX8 Antibody / Metastatic Tumor Origin Marker Antibody.

Storage

Aliquot the PAX8 antibody and store frozen at -20oC or colder. Avoid repeated freeze-thaw cycles.

Alternate Names

PAX8 metastasis marker antibody, Paired box protein Pax-8 metastatic origin antibody, PAX8 metastatic carcinoma marker antibody, Pax-8 metastasis lineage antibody, PAX8 secondary tumor identification antibody

Cross
Bulk Quote Request Form
Name*:
Organization*:
Email*:
Phone Number*:
Catalog No.*:
Comments and Specifics(amount, formulation, etc.)*:
Validation code: Captchapackage Image


Can't read the image? click here to refresh.
    *required field

Your bulk quote request has been submitted successfully!

Please contact us if you have any questions.