• Tel: 858.663.9055
  • SeparatorEmail: info@nsjbio.com
  • Tel: 858.663.9055
  • Email: info@nsjbio.com
Home >> Antibodies >> PAX8 Antibody Clone PAX8/1492 / Paired Box Protein Pax-8 Antibody

PAX8 Antibody Clone PAX8/1492 / Paired Box Protein Pax-8 Antibody [clone PAX8/1492] (V3413)

  Catalog No Formulation Size Price (USD)  
Image V3413-100UG 0.2 mg/ml in 1X PBS with 0.1 mg/ml BSA (US sourced) and 0.05% sodium azide 100 ug 559
Image
V3413-20UG 0.2 mg/ml in 1X PBS with 0.1 mg/ml BSA (US sourced) and 0.05% sodium azide 20 ug 259
Image
V3413SAF-100UG 1 mg/ml in 1X PBS; BSA free, sodium azide free 100 ug 559
Bulk quote request
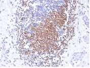
PAX8 Antibody Clone PAX8/1492 / Paired Box Protein Pax-8 Antibody immunohistochemistry in human thyroid carcinoma tissue showing strong nuclear staining consistent with PAX8 expression in tumor epithelial cells. The mouse monoclonal antibody clone PAX8/1492 demonstrates clear nuclear localization, aligning with the role of Paired box protein Pax-8 (PAX8) as a lineage-specific transcription factor in thyroid-derived malignancies. Staining highlights dense tumor cell populations with expected nuclear positivity, supporting its utility as a thyroid lineage marker in carcinoma samples. Required HIER: boil tissue sections in 10mM Tris buffer with 1mM EDTA, pH 9, for 10-20 min followed by cooling at RT for 20 minutes.
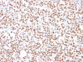
IHC testing of FFPE human urothelial carcinoma with PAX8 antibody (clone PAX8/1492). Required HIER: boil tissue sections in 10mM Tris buffer with 1mM EDTA, pH 9, for 10-20 min followed by cooling at RT for 20 minutes.
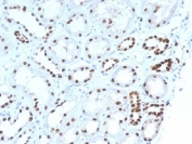
PAX8 Antibody Clone PAX8/1492 / Paired Box Protein Pax-8 Antibody immunohistochemistry in human renal cell carcinoma tissue showing distinct nuclear staining in tumor epithelial cells. The mouse monoclonal antibody clone PAX8/1492 highlights nuclear localization consistent with Paired box protein Pax-8 (PAX8) expression in renal-derived malignancies. Staining is observed in clustered tumor cells with clear nuclear positivity, supporting its role as a renal lineage marker in carcinoma specimens. Required HIER: boil tissue sections in 10mM Tris buffer with 1mM EDTA, pH 9, for 10-20 min followed by cooling at RT for 20 minutes.
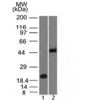
Western blot testing of 1) human partial recombinant protein and 2) human Raji cell lysate with PAX8 antibody (clone PAX8/1492). Predicted molecular weight of isoforms 1-5: 31, 35, 42, 43 and 48 kDa, respectively. PAX8 can also be observed at ~62 kDa.
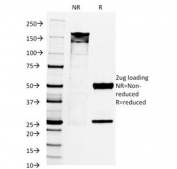
SDS-PAGE Analysis of Purified, BSA-Free PAX8 Antibody (clone PAX8/1492). Confirmation of Integrity and Purity of the Antibody.
Availability 1-3 business days
Species Reactivity Human
Format Purified
Host Mouse
Clonality Monoclonal (mouse origin)
Isotype Mouse IgG2a, kappa
Clone Name PAX8/1492
Purity Protein G affinity chromatography
UniProt Q06710
Localization Nuclear, cytoplasmic
Applications Flow Cytometry : 0.5-1ug/10^6 cells
Immunofluorescence : 1-2ug/ml
Western Blot : 0.5-1ug/ml
Immunohistochemistry (FFPE) : 1-2ug/ml for 30 min at RT
Limitations This PAX8 antibody is available for research use only.
Review this product on BioCompare and get a $20 Amazon gift card

Related Products

Description

Paired box protein Pax-8 (PAX8) is a nuclear transcription factor belonging to the paired box (PAX) family, which plays a central role in organogenesis and lineage specification, particularly in tissues derived from the thyroid, kidney, and Mullerian system. It is predominantly localized to the nucleus, where it regulates gene expression programs critical for epithelial differentiation and maintenance. PAX8 Antibody Clone PAX8/1492 is designed to detect this lineage-defining transcription factor and is particularly relevant in studies focused on epithelial identity, developmental biology, and tumor classification.

PAX8 antibody, also known as Paired box protein Pax-8 antibody or PAX8 transcription factor antibody, recognizes a protein that is essential for thyroid follicular cell development and function. In adult tissues, PAX8 expression is maintained in thyroid epithelial cells, renal tubular epithelial cells, and Mullerian-derived tissues such as fallopian tube and endometrium. This restricted expression pattern makes PAX8 a widely used marker for identifying tumors of thyroid, renal, and gynecologic origin, including papillary thyroid carcinoma, renal cell carcinoma, and ovarian epithelial tumors.

PAX8 Antibody Clone PAX8/1492 is uniquely positioned for studies requiring clone-specific performance characteristics, providing a consistent monoclonal reagent for detecting PAX8 across relevant tissue types. Clone PAX8/1492 antibody enables researchers to evaluate nuclear PAX8 expression with high specificity, supporting applications that require clear discrimination of lineage-specific transcriptional profiles. This is particularly valuable in comparative studies where clone-to-clone variation may influence staining intensity, epitope recognition, or cross-reactivity.

At the molecular level, PAX8 contains a conserved paired box DNA-binding domain that mediates sequence-specific transcriptional regulation. It functions in cooperation with other transcription factors and co-regulators to control genes involved in differentiation, proliferation, and survival. PAX8 has also been implicated in maintaining epithelial cell identity, and its dysregulation can contribute to tumorigenesis through altered transcriptional programs. In cancer, sustained or aberrant PAX8 expression is often associated with lineage fidelity rather than oncogenic mutation, reinforcing its value as a diagnostic marker rather than a driver mutation.

PAX8 Antibody Clone PAX8/1492 provides a reliable tool for detecting PAX8 expression in biological samples where nuclear localization and epithelial lineage specificity are key parameters. Its use supports research into developmental pathways, epithelial differentiation, and tumor classification, particularly in contexts where distinguishing primary tumor origin is critical. As a monoclonal antibody, clone PAX8/1492 offers reproducibility and consistency across experiments, making it well suited for comparative analyses and long-term research workflows.

Application Notes

The stated application concentrations are suggested starting points. Titration of the PAX8 Antibody Clone PAX8/1492 / Paired Box Protein Pax-8 Antibody may be required due to differences in protocols and secondary/substrate sensitivity.

Immunogen

A human recombinant fragment (aa 60-261) was used as the immunogen for the PAX8 Antibody Clone PAX8/1492 / Paired Box Protein Pax-8 Antibody.

Storage

Store the PAX8 antibody at 2-8oC (with azide) or aliquot and store at -20oC or colder (without azide).

Alternate Names

PAX8 monoclonal antibody, Paired box protein Pax-8 antibody, PAX8 nuclear transcription factor antibody, PAX8 clone PAX8/1492 antibody, Thyroid lineage marker PAX8 antibody

Cross
Bulk Quote Request Form
Name*:
Organization*:
Email*:
Phone Number*:
Catalog No.*:
Comments and Specifics(amount, formulation, etc.)*:
Validation code: Captchapackage Image


Can't read the image? click here to refresh.
    *required field

Your bulk quote request has been submitted successfully!

Please contact us if you have any questions.